School of Life Science, Anhui Agricultural University, Hefei, Anhui 230036, P.R. China.
J Microbiol Biotechnol. 2023 Dec 28;33(12):1681-1691. doi: 10.4014/jmb.2305.05011. Epub 2023 Aug 28.
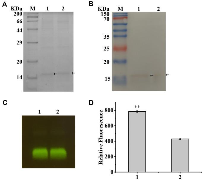
Flavin mononucleotide-binding proteins or domains emit cyan-green fluorescence under aerobic and anaerobic conditions, but relatively low fluorescence and less thermostability limit their application as reporters. In this work, we incorporated the codon-optimized fluorescent protein from with two different linkers independently into the redox-responsive split intein construct, overexpressed the precursors in hyperoxic SHuffle T7 strain, and cyclized the target proteins in vitro in the presence of the reducing agent. Compared with the purified linear protein, the cyclic protein with the short linker displayed enhanced fluorescence. In contrast, cyclized protein with incorporation of the long linker including the myc-tag and human rhinovirus 3C protease cleavable sequence emitted slightly increased fluorescence compared with the protein linearized with the protease cleavage. The cyclic protein with the short linker also exhibited increased thermal stability and exopeptidase resistance. Moreover, induction of the target proteins in an oxygen-deficient culture rendered fluorescent BL21 (DE3) cells brighter than those overexpressing the linear construct. Thus, the cyclic reporter can hopefully be used in certain thermophilic anaerobes.
黄素单核苷酸结合蛋白或结构域在需氧和厌氧条件下发出蓝绿色荧光,但相对较低的荧光和较差的热稳定性限制了它们作为报告蛋白的应用。在这项工作中,我们将经过密码子优化的荧光蛋白与两个不同的接头分别插入到氧化还原响应的分裂内含肽构建体中,在超氧 SHuffle T7 菌株中过表达前体,并在还原剂存在下体外环化目标蛋白。与纯化的线性蛋白相比,带有短接头的环状蛋白显示出增强的荧光。相比之下,与用蛋白酶切割线性化的蛋白相比,带有包括 myc 标签和人鼻病毒 3C 蛋白酶可切割序列的长接头的环状蛋白的荧光发射略有增加。带有短接头的环状蛋白还表现出增强的热稳定性和外肽酶抗性。此外,在缺氧培养物中诱导目标蛋白的表达使荧光 BL21(DE3)细胞比过表达线性构建体的细胞更亮。因此,环状报告蛋白有望在某些嗜热厌氧菌中使用。