Suppr超能文献

迷走神经刺激可减少心肌梗死后的室性心律失常并减轻不良神经源性心脏重塑。

Vagal Nerve Stimulation Reduces Ventricular Arrhythmias and Mitigates Adverse Neural Cardiac Remodeling Post-Myocardial Infarction.

作者信息

Hadaya Joseph, Dajani Al-Hassan, Cha Steven, Hanna Peter, Challita Ronald, Hoover Donald B, Ajijola Olujimi A, Shivkumar Kalyanam, Ardell Jeffrey L

机构信息

UCLA Cardiac Arrhythmia Center and Neurocardiology Research Program of Excellence, David Geffen School of Medicine at UCLA, Los Angeles, California, USA.

Molecular, Cellular, and Integrative Physiology Program, University of California, Los Angeles, Los Angeles, California, USA.

出版信息

JACC Basic Transl Sci. 2023 Jun 7;8(9):1100-1118. doi: 10.1016/j.jacbts.2023.03.025. eCollection 2023 Sep.

Abstract

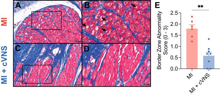
This study sought to evaluate the impact of chronic vagal nerve stimulation (cVNS) on cardiac and extracardiac neural structure/function after myocardial infarction (MI). Groups were control, MI, and MI + cVNS; cVNS was started 2 days post-MI. Terminal experiments were performed 6 weeks post-MI. MI impaired left ventricular mechanical function, evoked anisotropic electrical conduction, increased susceptibility to ventricular tachycardia and fibrillation, and altered neuronal and glial phenotypes in the stellate and dorsal root ganglia, including glial activation. cVNS improved cardiac mechanical function and reduced ventricular tachycardia/ventricular fibrillation post-MI, partly by stabilizing activation/repolarization in the border zone. MI-associated extracardiac neural remodeling, particularly glial activation, was mitigated with cVNS.

摘要

本研究旨在评估慢性迷走神经刺激(cVNS)对心肌梗死(MI)后心脏及心脏外神经结构/功能的影响。分为对照组、MI组和MI + cVNS组;cVNS在MI后2天开始。在MI后6周进行终末实验。MI损害左心室机械功能,诱发各向异性电传导,增加室性心动过速和颤动的易感性,并改变星状神经节和背根神经节中的神经元和神经胶质细胞表型,包括神经胶质细胞激活。cVNS改善了MI后的心脏机械功能并减少了室性心动过速/室性颤动,部分原因是稳定了边缘区的激活/复极化。cVNS减轻了与MI相关的心脏外神经重塑,特别是神经胶质细胞激活。

https://cdn.ncbi.nlm.nih.gov/pmc/blobs/224a/10543930/0d4a1d9915c2/fx1.jpg

文献检索

告别复杂PubMed语法,用中文像聊天一样搜索,搜遍4000万医学文献。AI智能推荐,让科研检索更轻松。

立即免费搜索

文件翻译

保留排版,准确专业,支持PDF/Word/PPT等文件格式,支持 12+语言互译。

免费翻译文档

深度研究

AI帮你快速写综述,25分钟生成高质量综述,智能提取关键信息,辅助科研写作。

立即免费体验