• 文献检索
  • 文档翻译
  • 深度研究
  • 学术资讯
  • Suppr Zotero 插件Zotero 插件
  • 邀请有礼
  • 套餐&价格
  • 历史记录
应用&插件
Suppr Zotero 插件Zotero 插件浏览器插件Mac 客户端Windows 客户端微信小程序
定价
高级版会员购买积分包购买API积分包
服务
文献检索文档翻译深度研究API 文档MCP 服务
关于我们
关于 Suppr公司介绍联系我们用户协议隐私条款
关注我们

Suppr 超能文献

核心技术专利:CN118964589B侵权必究
粤ICP备2023148730 号-1Suppr @ 2026

文献检索

告别复杂PubMed语法,用中文像聊天一样搜索,搜遍4000万医学文献。AI智能推荐,让科研检索更轻松。

立即免费搜索

文件翻译

保留排版,准确专业,支持PDF/Word/PPT等文件格式,支持 12+语言互译。

免费翻译文档

深度研究

AI帮你快速写综述,25分钟生成高质量综述,智能提取关键信息,辅助科研写作。

立即免费体验

神经内镜手术治疗合并脑疝的高血压脑出血:与开颅手术对比的回顾性研究

Neuroendoscopy surgery for hypertensive intracerebral hemorrhage with concurrent brain herniation: a retrospective study of comparison with craniotomy.

作者信息

Zhan Yuan, Zou Xiaojun, Wu Jiebin, Fu Liang, Huang Wei, Lin Junming, Luo Fei, Wang Wenhao

机构信息

Department of Neurosurgery, The 909th Hospital, School of Medicine, Xiamen University, Zhangzhou, China.

出版信息

Front Neurol. 2023 Sep 29;14:1238283. doi: 10.3389/fneur.2023.1238283. eCollection 2023.

DOI:10.3389/fneur.2023.1238283
PMID:37840932
原文链接:https://pmc.ncbi.nlm.nih.gov/articles/PMC10576608/
Abstract

BACKGROUND

Hypertensive intracerebral hemorrhage combined with cerebral hernia (HIH-CH) is a serious condition. Neuroendoscopy can effectively remove intracranial hematoma, but there is no relevant research support for its utility in patients with HIH-CH. The purpose of this study is to investigate the efficacy and safety of neuroendoscopy in patients with HIH-CH.

METHODS

Patients with HIH-CH who received craniotomy or neuroendoscopy treatment were included. The patients were divided into craniotomy (CHE) group and neuroendoscopy (NEHE) group. Clinical data and follow-up outcome of the two groups were collected. The primary outcome was hematoma clearance.

RESULTS

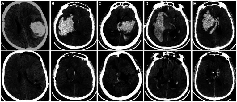
The hematoma clearance rate (%) of patients in NEHE group was 97.65 (92.75, 100.00), and that of patients in CHE group was 95.00 (90.00, 100.00), > 0.05. The operation time and intraoperative bleeding volume of patients in NEHE group were significantly less than those in CHE group ( < 0.05). There was no significant difference in the volume of residual hematoma and the incidence of rebleeding between the two groups ( > 0.05). The length of stay in ICU in NEHE group was significantly shorter than that in CHE group ( < 0.05).

CONCLUSION

Neuroendoscopy can safely and effectively remove the intracranial hematoma in patients with hypertensive intracerebral hemorrhage and cerebral hernia, significantly shorten the operation time, reduce the amount of intraoperative hemorrhage, shorten the ICU stay.

摘要

背景

高血压性脑出血合并脑疝(HIH-CH)是一种严重的病症。神经内镜能够有效清除颅内血肿,但对于其在HIH-CH患者中的应用尚无相关研究支持。本研究的目的是探讨神经内镜在HIH-CH患者中的疗效和安全性。

方法

纳入接受开颅手术或神经内镜治疗的HIH-CH患者。将患者分为开颅手术(CHE)组和神经内镜(NEHE)组。收集两组的临床资料和随访结果。主要结局指标是血肿清除情况。

结果

NEHE组患者的血肿清除率(%)为97.65(92.75,100.00),CHE组患者的血肿清除率为95.00(90.00,100.00),>0.05。NEHE组患者的手术时间和术中出血量显著少于CHE组(<0.05)。两组之间的残余血肿量和再出血发生率无显著差异(>0.05)。NEHE组在重症监护病房(ICU)的住院时间显著短于CHE组(<0.05)。

结论

神经内镜能够安全有效地清除高血压性脑出血合并脑疝患者的颅内血肿,显著缩短手术时间,减少术中出血量,缩短在ICU的住院时间。

https://cdn.ncbi.nlm.nih.gov/pmc/blobs/6968/10576608/c14d11d63981/fneur-14-1238283-g002.jpg
https://cdn.ncbi.nlm.nih.gov/pmc/blobs/6968/10576608/5ebd22f39e1e/fneur-14-1238283-g001.jpg
https://cdn.ncbi.nlm.nih.gov/pmc/blobs/6968/10576608/c14d11d63981/fneur-14-1238283-g002.jpg
https://cdn.ncbi.nlm.nih.gov/pmc/blobs/6968/10576608/5ebd22f39e1e/fneur-14-1238283-g001.jpg
https://cdn.ncbi.nlm.nih.gov/pmc/blobs/6968/10576608/c14d11d63981/fneur-14-1238283-g002.jpg

相似文献

1
Neuroendoscopy surgery for hypertensive intracerebral hemorrhage with concurrent brain herniation: a retrospective study of comparison with craniotomy.神经内镜手术治疗合并脑疝的高血压脑出血:与开颅手术对比的回顾性研究
Front Neurol. 2023 Sep 29;14:1238283. doi: 10.3389/fneur.2023.1238283. eCollection 2023.
2
[Efficacy and safety of intraoperative ultrasound-assisted neuroendoscopy in the treatment of hypertensive intracerebral hemorrhage via transsylvian approach].术中超声辅助神经内镜经侧裂入路治疗高血压脑出血的疗效与安全性
Zhonghua Yi Xue Za Zhi. 2021 Mar 9;101(9):620-623. doi: 10.3760/cma.j.cn112137-20200607-01792.
3
A Retrospective Cohort Study of Neuroendoscopic Surgery versus Traditional Craniotomy on Surgical Success Rate, Postoperative Complications, and Prognosis in Patients with Acute Intracerebral Hemorrhage.一项回顾性队列研究,比较神经内镜手术与传统开颅手术治疗急性脑出血的手术成功率、术后并发症和预后。
Comput Intell Neurosci. 2022 Aug 5;2022:2650795. doi: 10.1155/2022/2650795. eCollection 2022.
4
Neuronavigation-assisted neuroendoscopy versus conventional craniotomy for hypertensive cerebellar hemorrhage: A comparative analysis of efficacy and outcomes.神经导航辅助神经内镜与传统开颅术治疗高血压性小脑出血:疗效和结局的对比分析。
Clin Neurol Neurosurg. 2023 Oct;233:107960. doi: 10.1016/j.clineuro.2023.107960. Epub 2023 Sep 4.
5
Comparison of the Efficacy of Subosseous Window Neuro-Endoscopy and Minimally Invasive Craniotomy in the Treatment of Basal Ganglia Hypertensive Intracerebral Hemorrhage.骨窗神经内镜与微创开颅术治疗基底节区高血压性脑出血的疗效比较。
J Craniofac Surg. 2023;34(8):e724-e728. doi: 10.1097/SCS.0000000000009461. Epub 2023 Jun 5.
6
Comparison of keyhole endoscopy and craniotomy for the treatment of patients with hypertensive cerebral hemorrhage.锁孔内镜手术与开颅手术治疗高血压脑出血患者的比较
Medicine (Baltimore). 2019 Jan;98(2):e14123. doi: 10.1097/MD.0000000000014123.
7
Neuroendoscopic-assisted versus mini-open craniotomy for hypertensive intracerebral hemorrhage: a retrospective analysis.神经内镜辅助与小骨窗开颅术治疗高血压性脑出血的回顾性分析。
BMC Surg. 2022 May 14;22(1):188. doi: 10.1186/s12893-022-01642-8.
8
Efficacy of Neuroendoscopy Surgery Combined With Postoperative Lokomat Rehabilitation Training in Patients With Hypertensive Intracerebral Hemorrhage.神经内镜手术联合术后Lokomat康复训练对高血压性脑出血患者的疗效
J Craniofac Surg. 2025 Sep 1;36(6):1936-1941. doi: 10.1097/SCS.0000000000010358. Epub 2024 Aug 12.
9
Neuroendoscopic Surgery versus Craniotomy for Supratentorial Hypertensive Intracerebral Hemorrhage: A Systematic Review and Meta-Analysis.神经内镜手术与开颅手术治疗幕上高血压性脑出血的疗效比较:一项系统评价和荟萃分析。
World Neurosurg. 2020 Feb;134:477-488. doi: 10.1016/j.wneu.2019.10.115. Epub 2019 Nov 15.
10
Efficacy of neuroendoscopic and small-bone-window craniotomy microsurgery for hypertensive cerebral hemorrhage: a meta-analysis of Chinese RCT studies.神经内镜与小骨窗开颅显微手术治疗高血压脑出血的疗效:中国随机对照试验研究的Meta分析
Front Neurol. 2024 Aug 30;15:1434928. doi: 10.3389/fneur.2024.1434928. eCollection 2024.

引用本文的文献

1
Comparative analysis of the efficacy of neuro-endoscopy versus conventional surgery in the treatment of hypertensive intracerebral hemorrhage.神经内镜与传统手术治疗高血压性脑出血疗效的对比分析
Neurosurg Rev. 2025 Jul 12;48(1):563. doi: 10.1007/s10143-025-03720-w.
2
Role of disturbance coefficient in monitoring and treatment of cerebral edema in patients with cerebral hemorrhage.干扰系数在脑出血患者脑水肿监测与治疗中的作用
World J Clin Cases. 2025 May 16;13(14):102534. doi: 10.12998/wjcc.v13.i14.102534.
3
Endoscopic Hematoma Evacuation Under Local Anesthesia for Acute Intracerebral Hemorrhage in Older Patients: A Case Series.

本文引用的文献

1
A review of invasive intracranial pressure monitoring following surgery for hypertensive cerebral hemorrhage.高血压脑出血术后有创颅内压监测的综述
Front Neurol. 2023 Jul 4;14:1108722. doi: 10.3389/fneur.2023.1108722. eCollection 2023.
2
Longitudinal evidence on treatment discontinuation, adherence, and loss of hypertension control in four middle-income countries.四项中低收入国家治疗中断、依从性和高血压控制丢失的纵向证据。
Sci Transl Med. 2022 Jul 6;14(652):eabi9522. doi: 10.1126/scitranslmed.abi9522.
3
Comparison of Craniotomy and Stereotactic Aspiration Plus Thrombolysis in Isolated Capsulo-Ganglionic Hematoma: A Retrospective Analyses.
老年患者急性脑出血局部麻醉下内镜血肿清除术:病例系列
Cureus. 2025 Mar 9;17(3):e80307. doi: 10.7759/cureus.80307. eCollection 2025 Mar.
4
Effect of intermittent oro-esophageal tube feeding combined with continuous nursing intervention on patients with intracerebral hemorrhage after surgery.间歇性经口-食管管饲联合连续性护理干预对脑出血术后患者的影响
Am J Transl Res. 2025 Feb 15;17(2):1065-1075. doi: 10.62347/OJVV8646. eCollection 2025.
5
Prognostic factors in acute hypertensive intracerebral hemorrhage: impact of minimally invasive puncture and drainage.急性高血压性脑出血的预后因素:微创穿刺引流的影响
Am J Transl Res. 2024 Oct 15;16(10):5371-5384. doi: 10.62347/PQPP5715. eCollection 2024.
孤立性囊-神经节血肿开颅与定向抽吸加溶栓治疗的比较:回顾性分析。
Neurol India. 2022 Mar-Apr;70(2):535-542. doi: 10.4103/0028-3886.344635.
4
3D-Slicer Software-Assisted Neuroendoscopic Surgery in the Treatment of Hypertensive Cerebral Hemorrhage.3D-Slicer 软件辅助神经内镜手术治疗高血压性脑出血。
Comput Math Methods Med. 2022 Feb 18;2022:7156598. doi: 10.1155/2022/7156598. eCollection 2022.
5
Minimally Invasive Endoscopic Intracerebral Hemorrhage Evacuation.微创内镜脑出血清除术。
J Vis Exp. 2021 Oct 15(176). doi: 10.3791/58217.
6
Management of Intracerebral Hemorrhage: Update and Future Therapies.脑出血的管理:更新与未来治疗策略。
Curr Neurol Neurosci Rep. 2021 Oct 2;21(10):57. doi: 10.1007/s11910-021-01144-9.
7
Global, regional, and national burden of stroke and its risk factors, 1990-2019: a systematic analysis for the Global Burden of Disease Study 2019.1990—2019年全球、区域和国家的卒中负担及其风险因素:全球疾病负担研究2019的系统分析
Lancet Neurol. 2021 Oct;20(10):795-820. doi: 10.1016/S1474-4422(21)00252-0. Epub 2021 Sep 3.
8
Intracerebral Hemorrhage: Advances in Emergency Care.脑出血:急救护理新进展。
Neurol Clin. 2021 May;39(2):405-418. doi: 10.1016/j.ncl.2021.02.002. Epub 2021 Mar 31.
9
Brain Herniation and Intracranial Hypertension.脑疝和颅内高压。
Neurol Clin. 2021 May;39(2):293-318. doi: 10.1016/j.ncl.2021.02.005. Epub 2021 Mar 31.
10
Decompressive Craniectomy in Spontaneous Intracerebral Hemorrhage: A Comparison with Standard Craniotomy Using Propensity-Matched Analysis.自发性脑出血的减压性颅骨切除术:使用倾向评分匹配分析与标准开颅手术的比较
World Neurosurg. 2020 Dec;144:e622-e630. doi: 10.1016/j.wneu.2020.09.016. Epub 2020 Sep 8.