Suppr超能文献

卵巢纤维肉瘤:诊断挑战与治疗选择,一例报告

Ovarian fibrosarcoma: Diagnostic challenges and treatment options, a case report.

作者信息

Mraihi Fathi, Basly Jihene, Slama Feryal, Azouz Eya, Ayari Asma, Chelli Dalenda

机构信息

D Department at the Maternal Center of Tunis, Tunis, Tunisia.

D Department at the Maternal Center of Tunis, Tunis, Tunisia.

出版信息

Int J Surg Case Rep. 2023 Nov;112:108938. doi: 10.1016/j.ijscr.2023.108938. Epub 2023 Oct 10.

Abstract

INTRODUCTION

Ovarian fibrosarcoma is a rare cancer. In the literature, there have been very few occurrences of fibrosarcoma with ascites. The presence of ascites complicates the diagnosis further, and is associated with a poor prognosis and has been linked to chemoresistance and metastasis. We present this case of an ovarian fibrosarcoma with ascites to provide a comprehensive overview of the clinical presentation, diagnostic evaluation and management of this pathology, which remains a challenge given the rarity of this entity.

PRESENTATION OF CASE

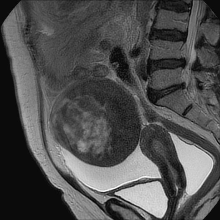
We report the case of a 60-year-old woman who was referred to our unit, because of abdominal bloating, sporadic pelvic pain and abdominal distension. Ultrasound showed a heterogeneous mass over the right adnexa with ascites. Serum tumour markers were within normal limits. During surgery, a total abdominal hysterectomy plus bilateral adnexectomy was performed. The final histopathological findings showed a well-differentiated fibrosarcoma. The patient was followed up regularly and no recurrence was seen 2 years after surgery.

DISCUSSION

Ovarian fibrosarcomas are uncommon cancers with no known risk factors. Diagnosis can be difficult, especially in the presence of ascites, and other diagnostic options should be considered. Pathological and immunohistochemistry investigations are required for a clear diagnosis. Early metastases and resistance to adjuvant chemotherapy characterize the prognosis of ovarian fibrosarcoma with ascites.

CONCLUSIONS

Ovarian fibrosarcoma with ascites is a rare and challenging ovarian disease, highlighting the need for postoperative pathology to make a clear diagnosis, complete cytoreductive surgery and individual consideration of adjuvant radiochemotherapy should be included in the management.

摘要

引言

卵巢纤维肉瘤是一种罕见的癌症。在文献中,伴有腹水的纤维肉瘤病例极少。腹水的存在使诊断进一步复杂化,与预后不良相关,并与化疗耐药和转移有关。我们呈现这例伴有腹水的卵巢纤维肉瘤病例,以全面概述这种病理情况的临床表现、诊断评估和管理,鉴于该实体的罕见性,这仍然是一项挑战。

病例介绍

我们报告一例60岁女性病例,该患者因腹胀、散发性盆腔疼痛和腹部膨隆被转诊至我院。超声检查显示右侧附件区有一不均质肿块伴腹水。血清肿瘤标志物在正常范围内。手术中,进行了全腹子宫切除术加双侧附件切除术。最终组织病理学检查结果显示为高分化纤维肉瘤。患者接受定期随访,术后2年未见复发。

讨论

卵巢纤维肉瘤是罕见的癌症,尚无已知的危险因素。诊断可能困难,尤其是在有腹水的情况下,应考虑其他诊断方法。明确诊断需要进行病理和免疫组织化学检查。早期转移和对辅助化疗的耐药是伴有腹水的卵巢纤维肉瘤预后的特征。

结论

伴有腹水的卵巢纤维肉瘤是一种罕见且具有挑战性的卵巢疾病,强调需要术后病理以明确诊断,管理中应包括完整的肿瘤细胞减灭术和对辅助放化疗的个体化考虑。

https://cdn.ncbi.nlm.nih.gov/pmc/blobs/2b16/10667754/2fe6dac3ba1b/gr1.jpg

文献检索

告别复杂PubMed语法,用中文像聊天一样搜索,搜遍4000万医学文献。AI智能推荐,让科研检索更轻松。

立即免费搜索

文件翻译

保留排版,准确专业,支持PDF/Word/PPT等文件格式,支持 12+语言互译。

免费翻译文档

深度研究

AI帮你快速写综述,25分钟生成高质量综述,智能提取关键信息,辅助科研写作。

立即免费体验