Suppr超能文献

在 4°C 下用磷酸盐缓冲盐水处理公猪精子会诱导 32kDa 酪氨酸磷酸化蛋白(p32)增加。

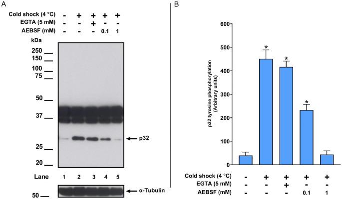
Processing of boar spermatozoa with phosphate-buffered saline at 4˚C induces an increase in 32 kDa tyrosine-phosphorylated protein (p32).

机构信息

Departamento de Bioquímica y Biología Molecular y Genética, Grupo de investigación Señalización Intracelular y Tecnología de la Reproducción (SINTREP), Facultad de Veterinaria, Instituto de Investigación INBIO G+C, Universidad de Extremadura, Av. de las Ciencias, s/n, Cáceres, 10004, Spain.

Centro de Investigaciones Científicas y Tecnológicas de Extremadura (CICYTEX), Badajoz, Spain.

出版信息

Vet Res Commun. 2024 Apr;48(2):1189-1193. doi: 10.1007/s11259-023-10247-2. Epub 2023 Oct 27.

Abstract

We aimed to investigate the impact of processing boar spermatozoa with phosphate-buffered saline (PBS) at 4 ˚C on acrosomal integrity and increase in 32 kDa tyrosine-phosphorylated protein (p32). Following cooled PBS washing, we observed a significant increase in p32 levels and in the proportion of dead spermatozoa with compromised acrosomal integrity compared to sperm washing using PBS at room temperature. Interestingly, this increase in p32 was effectively inhibited when cooled PBS was supplemented with 1 mM AEBSF, a serine protease inhibitor. Our findings suggest that the increase of p32 in response to cooled PBS washing in boar spermatozoa is associated with enhanced protease activity in dead spermatozoa.

摘要

我们旨在研究在 4°C 下用磷酸盐缓冲盐水(PBS)处理公猪精子对顶体完整性和 32kDa 酪氨酸磷酸化蛋白(p32)增加的影响。与在室温下用 PBS 洗涤精子相比,经过冷却 PBS 洗涤后,我们观察到 p32 水平显著增加,且顶体完整性受损的死精子比例也增加。有趣的是,当在冷却 PBS 中添加丝氨酸蛋白酶抑制剂 1 mM AEBSF 时,p32 的增加被有效抑制。我们的研究结果表明,在公猪精子中,冷 PBS 洗涤会导致 p32 增加,这与死精子中蛋白酶活性的增强有关。

https://cdn.ncbi.nlm.nih.gov/pmc/blobs/8fd7/10998791/31bfb2adc9f5/11259_2023_10247_Fig1_HTML.jpg

文献AI研究员

20分钟写一篇综述,助力文献阅读效率提升50倍。

立即体验

用中文搜PubMed

大模型驱动的PubMed中文搜索引擎

马上搜索

文档翻译

学术文献翻译模型,支持多种主流文档格式。

立即体验