• 文献检索
  • 文档翻译
  • 深度研究
  • 学术资讯
  • Suppr Zotero 插件Zotero 插件
  • 邀请有礼
  • 套餐&价格
  • 历史记录
应用&插件
Suppr Zotero 插件Zotero 插件浏览器插件Mac 客户端Windows 客户端微信小程序
定价
高级版会员购买积分包购买API积分包
服务
文献检索文档翻译深度研究API 文档MCP 服务
关于我们
关于 Suppr公司介绍联系我们用户协议隐私条款
关注我们

Suppr 超能文献

核心技术专利:CN118964589B侵权必究
粤ICP备2023148730 号-1Suppr @ 2026

文献检索

告别复杂PubMed语法,用中文像聊天一样搜索,搜遍4000万医学文献。AI智能推荐,让科研检索更轻松。

立即免费搜索

文件翻译

保留排版,准确专业,支持PDF/Word/PPT等文件格式,支持 12+语言互译。

免费翻译文档

深度研究

AI帮你快速写综述,25分钟生成高质量综述,智能提取关键信息,辅助科研写作。

立即免费体验

孕期诊断为卵巢肿物患者的超声特征及临床结局:单妇科超声中心的经验

Ultrasound Features and Clinical Outcome of Patients with Ovarian Masses Diagnosed during Pregnancy: Experience of Single Gynecological Ultrasound Center.

作者信息

Bruno Matteo, Capanna Giulia, Stanislao Veronica, Ciuffreda Raffaella, Tabacco Sara, Fantasia Ilaria, Di Florio Christian, Stabile Guglielmo, D'Alfonso Angela, Guido Maurizio, Ludovisi Manuela

机构信息

Department of Obstetrics and Gynecology, San Salvatore Hospital, 67100 L'Aquila, Italy.

Department of Clinical Medicine Life Health and Environmental Sciences, University of L'Aquila, 67100 L'Aquila, Italy.

出版信息

Diagnostics (Basel). 2023 Oct 18;13(20):3247. doi: 10.3390/diagnostics13203247.

DOI:10.3390/diagnostics13203247
PMID:37892068
原文链接:https://pmc.ncbi.nlm.nih.gov/articles/PMC10606809/
Abstract

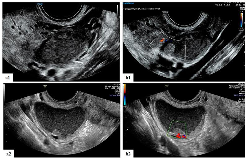
(1) Background: The number of adnexal masses detected during pregnancy has increased due to the use of first-trimester screening and increasingly advanced maternal age. Despite their low risk of malignancy, other risks associated with these masses include torsion, rupture and labor obstruction. Correct diagnosis and management are needed to guarantee both maternal and fetal safety. Adnexal masses may be troublesome to classify during pregnancy due to the increased volume of the uterus and pregnancy-related hormonal changes. Management should be based on ultrasound examination to provide the best treatment. The aim of this study was to describe the ultrasound features of ovarian masses detected during pregnancy and to optimize and personalize their management with the expertise of gynecologists, oncologists and sonographers. (2) Methods: Clinical, ultrasound, histological parameters and type of management (surveillance vs. surgery) were retrospectively retrieved. Patient management, perinatal outcomes and follow-up were also evaluated. (3) Results: according to the literature, these masses are most frequently benign, ultrasound follow-up is the best management, and obstetric outcomes are not considerably influenced by the presence of adnexal masses. (4) Conclusions: the management of patients with ovarian masses detected during pregnancy should be based on ultrasound examination, and a centralization in referral centers for ovarian masses should be considered.

摘要

(1) 背景:由于孕早期筛查的应用以及产妇年龄的不断增大,孕期发现的附件包块数量有所增加。尽管这些包块的恶性风险较低,但与之相关的其他风险包括扭转、破裂和产道梗阻。需要进行正确的诊断和处理,以确保母婴安全。由于孕期子宫体积增大以及与妊娠相关的激素变化,孕期附件包块的分类可能会比较棘手。处理应基于超声检查,以提供最佳治疗。本研究的目的是描述孕期发现的卵巢包块的超声特征,并借助妇科医生、肿瘤学家和超声科医生的专业知识,优化并个性化其处理方式。(2) 方法:回顾性收集临床、超声、组织学参数以及处理类型(监测与手术)。还评估了患者的处理方式、围产期结局及随访情况。(3) 结果:根据文献,这些包块大多为良性,超声随访是最佳处理方式,附件包块的存在对产科结局没有显著影响。(4) 结论:孕期发现卵巢包块患者的处理应基于超声检查,并且应考虑将患者转诊至卵巢包块诊治中心。

https://cdn.ncbi.nlm.nih.gov/pmc/blobs/dbb3/10606809/a907b55344f8/diagnostics-13-03247-g005.jpg
https://cdn.ncbi.nlm.nih.gov/pmc/blobs/dbb3/10606809/5bd0fbb437a7/diagnostics-13-03247-g001.jpg
https://cdn.ncbi.nlm.nih.gov/pmc/blobs/dbb3/10606809/10d403cd9eac/diagnostics-13-03247-g002.jpg
https://cdn.ncbi.nlm.nih.gov/pmc/blobs/dbb3/10606809/008aea260459/diagnostics-13-03247-g003.jpg
https://cdn.ncbi.nlm.nih.gov/pmc/blobs/dbb3/10606809/64d319920afc/diagnostics-13-03247-g004.jpg
https://cdn.ncbi.nlm.nih.gov/pmc/blobs/dbb3/10606809/a907b55344f8/diagnostics-13-03247-g005.jpg
https://cdn.ncbi.nlm.nih.gov/pmc/blobs/dbb3/10606809/5bd0fbb437a7/diagnostics-13-03247-g001.jpg
https://cdn.ncbi.nlm.nih.gov/pmc/blobs/dbb3/10606809/10d403cd9eac/diagnostics-13-03247-g002.jpg
https://cdn.ncbi.nlm.nih.gov/pmc/blobs/dbb3/10606809/008aea260459/diagnostics-13-03247-g003.jpg
https://cdn.ncbi.nlm.nih.gov/pmc/blobs/dbb3/10606809/64d319920afc/diagnostics-13-03247-g004.jpg
https://cdn.ncbi.nlm.nih.gov/pmc/blobs/dbb3/10606809/a907b55344f8/diagnostics-13-03247-g005.jpg

相似文献

1
Ultrasound Features and Clinical Outcome of Patients with Ovarian Masses Diagnosed during Pregnancy: Experience of Single Gynecological Ultrasound Center.孕期诊断为卵巢肿物患者的超声特征及临床结局:单妇科超声中心的经验
Diagnostics (Basel). 2023 Oct 18;13(20):3247. doi: 10.3390/diagnostics13203247.
2
Management of ovarian masses in pregnancy: patient selection for interventional treatment.妊娠合并卵巢肿物的处理:介入治疗的患者选择。
Int J Gynecol Cancer. 2021 Jun;31(6):899-906. doi: 10.1136/ijgc-2020-001996. Epub 2020 Nov 10.
3
Adnexal masses during pregnancy: diagnosis, treatment, and prognosis.妊娠附件包块:诊断、治疗和预后。
Am J Obstet Gynecol. 2023 Jun;228(6):601-612. doi: 10.1016/j.ajog.2022.11.1291. Epub 2022 Nov 19.
4
Adnexal Masses in Pregnancy.妊娠附件包块。
Obstet Gynecol Surv. 2021 Jul;76(7):437-450. doi: 10.1097/OGX.0000000000000909.
5
Prospective external validation of IOTA three-step strategy for characterizing and classifying adnexal masses and retrospective assessment of alternative two-step strategy using simple-rules risk.对 IOTA 三步法特征描述和分类附件包块的前瞻性外部验证,以及使用简单规则风险的替代两步法的回顾性评估。
Ultrasound Obstet Gynecol. 2019 May;53(5):693-700. doi: 10.1002/uog.20163.
6
Predicting the risk of malignancy in adnexal masses based on the Simple Rules from the International Ovarian Tumor Analysis group.基于国际卵巢肿瘤分析小组的简单规则预测附件包块的恶性风险。
Am J Obstet Gynecol. 2016 Apr;214(4):424-437. doi: 10.1016/j.ajog.2016.01.007. Epub 2016 Jan 19.
7
Adnexal masses in pregnancy: perinatal impact.孕期附件包块:围产期影响
Rom J Morphol Embryol. 2018;59(1):153-158.
8
World Federation for Ultrasound in Medicine Review Paper: Incidental Findings during Obstetrical Ultrasound.世界超声医学联合会评论论文:产科超声检查中的偶然发现。
Ultrasound Med Biol. 2022 Jan;48(1):10-19. doi: 10.1016/j.ultrasmedbio.2021.09.010. Epub 2021 Oct 23.
9
Management of adnexal masses in pregnancy: our experience from a tertiary referral perinatal centre in South India.孕期附件包块的管理:我们来自印度南部一家三级围产期转诊中心的经验。
Arch Gynecol Obstet. 2015 Jan;291(1):53-8. doi: 10.1007/s00404-014-3395-1. Epub 2014 Jul 26.
10
Imaging in gynecological disease (20): clinical and ultrasound characteristics of adnexal torsion.妇科疾病影像学(二十):附件扭转的临床和超声特征。
Ultrasound Obstet Gynecol. 2020 Dec;56(6):934-943. doi: 10.1002/uog.21981. Epub 2020 Nov 10.

引用本文的文献

1
Synchronous Ovarian Sertoli-Leydig Cell and Clear Cell Papillary Renal Cell Tumors: A Rare Case Without Mutations in Cancer-Associated Genes.同步性卵巢支持-间质细胞瘤与透明细胞乳头状肾细胞肿瘤:1例罕见的癌症相关基因无突变病例
Curr Oncol. 2025 Jul 30;32(8):429. doi: 10.3390/curroncol32080429.
2
Ovarian Tumors during Pregnancy and Adverse Pregnancy Outcome: A Retrospective Analysis.孕期卵巢肿瘤与不良妊娠结局:一项回顾性分析。
Asian Pac J Cancer Prev. 2025 Apr 1;26(4):1329-1333. doi: 10.31557/APJCP.2025.26.4.1329.
3
Pure Leydig cell tumor of the ovary: a rare presentation of a rare entity in a pregnant patient.

本文引用的文献

1
Sonographic characteristics of ovarian Leydig cell tumor.卵巢莱迪希细胞瘤的超声特征
Ultrasound Obstet Gynecol. 2023 Sep;62(3):441-442. doi: 10.1002/uog.26212.
2
Adnexal masses during pregnancy: diagnosis, treatment, and prognosis.妊娠附件包块:诊断、治疗和预后。
Am J Obstet Gynecol. 2023 Jun;228(6):601-612. doi: 10.1016/j.ajog.2022.11.1291. Epub 2022 Nov 19.
3
Laparoscopic surgery for fallopian tube torsion due to benign tumour in the third trimester of pregnancy: a case report and literature review.妊娠晚期因良性肿瘤导致输卵管扭转的腹腔镜手术:一例报告及文献复习
卵巢纯性莱迪希细胞瘤:一名孕妇中一种罕见实体瘤的罕见表现。
Future Sci OA. 2024 Dec 31;10(1):2424144. doi: 10.1080/20565623.2024.2424144. Epub 2024 Nov 21.
J Obstet Gynaecol. 2022 Oct;42(7):2566-2572. doi: 10.1080/01443615.2022.2107421. Epub 2022 Aug 5.
4
Ultrasonographic evaluation of ovarian mass for predicting malignancy in pregnant women.超声评估孕妇卵巢肿块以预测恶性肿瘤。
Gynecol Oncol. 2021 Nov;163(2):385-391. doi: 10.1016/j.ygyno.2021.09.007. Epub 2021 Sep 21.
5
Sonographic Assessment of Complex Ultrasound Morphology Adnexal Tumors in Pregnant Women with the Use of IOTA Simple Rules Risk and ADNEX Scoring Systems.应用IOTA简单规则风险和ADNEX评分系统对孕妇附件区复杂超声形态学肿瘤进行超声评估
Diagnostics (Basel). 2021 Feb 28;11(3):414. doi: 10.3390/diagnostics11030414.
6
Management of ovarian masses in pregnancy: patient selection for interventional treatment.妊娠合并卵巢肿物的处理:介入治疗的患者选择。
Int J Gynecol Cancer. 2021 Jun;31(6):899-906. doi: 10.1136/ijgc-2020-001996. Epub 2020 Nov 10.
7
Clinical characteristics, treatment and outcomes of adnexal torsion in pregnant women: a retrospective study.妊娠期附件扭转的临床特征、治疗方法及转归:一项回顾性研究。
BMC Pregnancy Childbirth. 2020 Aug 24;20(1):483. doi: 10.1186/s12884-020-03173-7.
8
Adnexal masses in pregnancy: an updated review on diagnosis and treatment.妊娠附件包块:诊断与治疗的最新综述。
Tumori. 2021 Feb;107(1):12-16. doi: 10.1177/0300891620909144. Epub 2020 Mar 17.
9
Ultrasound features and clinical outcome of patients with malignant ovarian masses diagnosed during pregnancy: experience of a gynecological oncology ultrasound center.孕期诊断为卵巢恶性肿块患者的超声特征及临床结局:妇科肿瘤超声中心的经验
Int J Gynecol Cancer. 2019 Sep;29(7):1182-1194. doi: 10.1136/ijgc-2019-000373. Epub 2019 Jul 19.
10
Risk of complications in patients with conservatively managed ovarian tumours (IOTA5): a 2-year interim analysis of a multicentre, prospective, cohort study.保守治疗的卵巢肿瘤患者的并发症风险(IOTA5):一项多中心、前瞻性队列研究的 2 年中期分析。
Lancet Oncol. 2019 Mar;20(3):448-458. doi: 10.1016/S1470-2045(18)30837-4. Epub 2019 Feb 5.