Suppr超能文献

人源大肠杆菌菌株中氨苄青霉素抗性转移至一种肠毒素质粒上。

Transposition of ampicillin resistance to an enterotoxin plasmid in an Escherichia coli strain of human origin.

作者信息

McConnell M M, Willshaw G A, Smith H R, Scotland S M, Rowe B

出版信息

J Bacteriol. 1979 Aug;139(2):346-55. doi: 10.1128/jb.139.2.346-355.1979.

Abstract

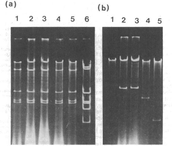
We examined a strain of Escherichia coli, serotype O159.H34, of human origin which produced heat-stable and heat-labile enterotoxins, was resistant to ampicillin, and produced colicin. By conjugation and transformation experiments plasmids coding for enterotoxin production (Ent), enterotoxin production and ampicillin resistance (Ap-Ent), ampicillin resistance (Ap), and colicin production were isolated. Both the Ent and Ap-Ent plasmids were autotransferring and belonged to the F-incompatibility complex. However, the Apr Ent+ transconjugants showed differences in their levels of resistance and in their abilities to propagate F-specific phages and to transfer resistance. The results suggested there was transposition from the small Ap plasmid to the Ent plasmid. The Ap-Ent plasmids were larger than the enterotoxin factor and when treated with restriction endonuclease BamHI showed an additional fragment not present in the enterotoxin plasmid. The insertion of ampicillin resistance probably occurred at different sites on the enterotoxin plasmid, resulting in the observed variation in phenotype.

摘要

我们检测了一株源自人类的大肠杆菌O159.H34血清型菌株,该菌株产生耐热和不耐热肠毒素,对氨苄青霉素耐药,并产生大肠杆菌素。通过接合和转化实验,分离出了编码肠毒素产生(Ent)、肠毒素产生和氨苄青霉素耐药(Ap-Ent)、氨苄青霉素耐药(Ap)以及大肠杆菌素产生的质粒。Ent和Ap-Ent质粒均为自我转移型,属于F不相容复合体。然而,Apr Ent+转接合子在耐药水平、繁殖F特异性噬菌体的能力以及转移耐药性方面存在差异。结果表明存在从小Ap质粒到Ent质粒的转座。Ap-Ent质粒比肠毒素因子大,用限制性内切酶BamHI处理时,显示出肠毒素质粒中不存在的一个额外片段。氨苄青霉素耐药性的插入可能发生在肠毒素质粒的不同位点,导致观察到的表型变异。

https://cdn.ncbi.nlm.nih.gov/pmc/blobs/e9ee/216875/0b67ba5d469f/jbacter00279-0031-a.jpg

文献检索

告别复杂PubMed语法,用中文像聊天一样搜索,搜遍4000万医学文献。AI智能推荐,让科研检索更轻松。

立即免费搜索

文件翻译

保留排版,准确专业,支持PDF/Word/PPT等文件格式,支持 12+语言互译。

免费翻译文档

深度研究

AI帮你快速写综述,25分钟生成高质量综述,智能提取关键信息,辅助科研写作。

立即免费体验