Suppr超能文献

系统性红斑狼疮急性发作伴广泛胃肠道受累:一例病例报告及文献复习

Acute flare of systemic lupus erythematosus with extensive gastrointestinal involvement: A case report and review of literature.

作者信息

Huang Hua, Li Ping, Zhang Dan, Zhang Ming-Xuan, Yu Kai

机构信息

Department of Rheumatology and Immunology, General Hospital of Northern Theater Command, Shenyang 110000, Liaoning Province, China.

Department of Nutrition, General Hospital of Northern Theater Command, Shenyang 110000, Liaoning Province, China.

出版信息

World J Gastrointest Surg. 2023 Sep 27;15(9):2074-2082. doi: 10.4240/wjgs.v15.i9.2074.

Abstract

BACKGROUND

Lupus mesenteric vasculitis (LMV) is a serious condition that may occur as an acute manifestation of gastrointestinal (GI) involvement and is not easily diagnosed by physicians. Delayed diagnosis and treatment of LMV may lead to rapid disease progression and can be life threatening.

CASE SUMMARY

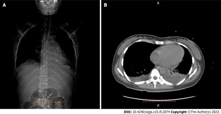
A previously healthy 27-year-old woman presented with abdominal pain following a history of fatigue and consumption of cold water. Laboratory investigations, physical examinations, and enhanced abdominal computed tomography (CT) suggested systemic lupus erythematosus complicated by LMV. She received treatments, such as GI decompression, somatostatin, glucocorticoids, and immunosuppressants, and was evaluated using color ultrasonography. Twenty days later, the patient reported no stomach discomfort and was able to consume semi-liquid food. Laboratory investigations showed that inflammatory factors decreased to normal levels and complement levels increased slightly. One year after discharged, she recovered with methylprednisolone being tapered to 4 mg per day, mycophenolate mofetil to 0.75 g bid, and hydroxychloroquine to 0.2 g bid; however, only C3 complement level was slightly below the normal level.

CONCLUSION

Early diagnosis of LMV is essential for successful treatment; this depends on a combination of clinical manifestations, laboratory investigations, and imaging findings. Enhanced CT is preferred, but ultrasonography can be used for prompt screening and follow-up.

摘要

背景

狼疮性肠系膜血管炎(LMV)是一种严重疾病,可能作为胃肠道(GI)受累的急性表现出现,且医生不易诊断。LMV的诊断和治疗延迟可能导致疾病快速进展,甚至危及生命。

病例摘要

一名27岁既往健康的女性,在出现疲劳和饮用冷水史后出现腹痛。实验室检查、体格检查及腹部增强计算机断层扫描(CT)提示系统性红斑狼疮合并LMV。她接受了胃肠减压、生长抑素、糖皮质激素及免疫抑制剂等治疗,并接受了彩色超声检查。20天后,患者自述无胃部不适,能够进食半流质食物。实验室检查显示炎症因子降至正常水平,补体水平略有升高。出院一年后,她恢复良好,甲泼尼龙减至每日4mg,霉酚酸酯减至每日两次,每次0.75g,羟氯喹减至每日两次,每次0.2g;然而,仅C3补体水平略低于正常水平。

结论

LMV的早期诊断对成功治疗至关重要;这取决于临床表现、实验室检查及影像学检查结果的综合判断。首选增强CT,但超声检查可用于快速筛查及随访。

https://cdn.ncbi.nlm.nih.gov/pmc/blobs/be76/10600777/9134aaeb585c/WJGS-15-2074-g001.jpg

文献AI研究员

20分钟写一篇综述,助力文献阅读效率提升50倍。

立即体验

用中文搜PubMed

大模型驱动的PubMed中文搜索引擎

马上搜索

文档翻译

学术文献翻译模型,支持多种主流文档格式。

立即体验