• 文献检索
  • 文档翻译
  • 深度研究
  • 学术资讯
  • Suppr Zotero 插件Zotero 插件
  • 邀请有礼
  • 套餐&价格
  • 历史记录
应用&插件
Suppr Zotero 插件Zotero 插件浏览器插件Mac 客户端Windows 客户端微信小程序
定价
高级版会员购买积分包购买API积分包
服务
文献检索文档翻译深度研究API 文档MCP 服务
关于我们
关于 Suppr公司介绍联系我们用户协议隐私条款
关注我们

Suppr 超能文献

核心技术专利:CN118964589B侵权必究
粤ICP备2023148730 号-1Suppr @ 2026

文献检索

告别复杂PubMed语法,用中文像聊天一样搜索,搜遍4000万医学文献。AI智能推荐,让科研检索更轻松。

立即免费搜索

文件翻译

保留排版,准确专业,支持PDF/Word/PPT等文件格式,支持 12+语言互译。

免费翻译文档

深度研究

AI帮你快速写综述,25分钟生成高质量综述,智能提取关键信息,辅助科研写作。

立即免费体验

高剂量质子束治疗不可切除的气管和支气管腺样囊性癌的长期随访:两例报告。

Long-term follow-up of unresectable adenoid cystic carcinoma of the trachea and bronchus treated with high-dose proton beam therapy: A report of two cases.

机构信息

Department of Radiation Oncology, Faculty of Medicine, University of Tsukuba, Ibaraki, Japan.

Department of Radiology, School of Medicine, International University of Health and Welfare, Chiba, Japan.

出版信息

Thorac Cancer. 2024 Jan;15(2):201-205. doi: 10.1111/1759-7714.15158. Epub 2023 Nov 20.

DOI:10.1111/1759-7714.15158
PMID:37984929
原文链接:https://pmc.ncbi.nlm.nih.gov/articles/PMC10788470/
Abstract

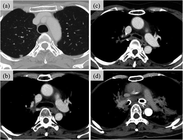
Adenoid cystic carcinoma (ACC) of the trachea is a rare disease that is slow growing and has a risk of distant metastasis. The standard treatment for ACC of the trachea is surgery, but this tumor is often unresectable. In definitive radiotherapy using photons for unresectable ACC of the trachea, it is sometimes difficult to deliver a sufficient dose to the target without exceeding the tolerable dose to the surrounding normal tissues. Here, we report two cases of ACC of the trachea that received a high dose (74 Gy [relative biological effectiveness]) of proton beam therapy and achieved long-term survival.

摘要

气管腺样囊性癌(ACC)是一种罕见的疾病,生长缓慢,有远处转移的风险。气管 ACC 的标准治疗方法是手术,但这种肿瘤往往无法切除。在使用光子进行无法切除的气管 ACC 的确定性放疗中,有时很难在不超过周围正常组织可耐受剂量的情况下将足够的剂量递送到靶区。在这里,我们报告了两例接受高剂量(74Gy[相对生物效应])质子束治疗的气管 ACC 病例,均实现了长期生存。

https://cdn.ncbi.nlm.nih.gov/pmc/blobs/1a14/10788470/9b1449a13f97/TCA-15-201-g005.jpg
https://cdn.ncbi.nlm.nih.gov/pmc/blobs/1a14/10788470/e944aa01364d/TCA-15-201-g001.jpg
https://cdn.ncbi.nlm.nih.gov/pmc/blobs/1a14/10788470/1322be791a52/TCA-15-201-g003.jpg
https://cdn.ncbi.nlm.nih.gov/pmc/blobs/1a14/10788470/34662360fe73/TCA-15-201-g004.jpg
https://cdn.ncbi.nlm.nih.gov/pmc/blobs/1a14/10788470/9b1449a13f97/TCA-15-201-g005.jpg
https://cdn.ncbi.nlm.nih.gov/pmc/blobs/1a14/10788470/e944aa01364d/TCA-15-201-g001.jpg
https://cdn.ncbi.nlm.nih.gov/pmc/blobs/1a14/10788470/1322be791a52/TCA-15-201-g003.jpg
https://cdn.ncbi.nlm.nih.gov/pmc/blobs/1a14/10788470/34662360fe73/TCA-15-201-g004.jpg
https://cdn.ncbi.nlm.nih.gov/pmc/blobs/1a14/10788470/9b1449a13f97/TCA-15-201-g005.jpg

相似文献

1
Long-term follow-up of unresectable adenoid cystic carcinoma of the trachea and bronchus treated with high-dose proton beam therapy: A report of two cases.高剂量质子束治疗不可切除的气管和支气管腺样囊性癌的长期随访:两例报告。
Thorac Cancer. 2024 Jan;15(2):201-205. doi: 10.1111/1759-7714.15158. Epub 2023 Nov 20.
2
Post-operative radiotherapy in adenoid cystic carcinoma of salivary glands versus surgery alone: what is the evidence about survival and local control? A systematic review and meta-analysis.术后放疗与单纯手术治疗唾液腺腺样囊性癌的疗效比较:关于生存和局部控制的证据有哪些?系统评价和荟萃分析。
Eur Arch Otorhinolaryngol. 2024 Feb;281(2):563-571. doi: 10.1007/s00405-023-08252-x. Epub 2023 Oct 5.
3
Definitive proton radiation therapy and concurrent cisplatin for unresectable head and neck adenoid cystic carcinoma: A series of 9 cases and a critical review of the literature.确定性质子放射治疗联合顺铂治疗不可切除的头颈部腺样囊性癌:9例病例系列及文献综述
Head Neck. 2016 Apr;38 Suppl 1:E1472-80. doi: 10.1002/hed.24262. Epub 2015 Nov 11.
4
External beam radiotherapy for unresectable hepatocellular carcinoma.不可切除肝细胞癌的外照射放疗
Cochrane Database Syst Rev. 2017 Mar 7;3(3):CD011314. doi: 10.1002/14651858.CD011314.pub2.
5
Distinct patterns of osteoradionecrosis after photon-based radiotherapy and carbon ion radiotherapy for unresectable adenoid cystic carcinoma of the head and neck: case series from two institutions.基于光子的放射治疗和碳离子放射治疗后不可切除的头颈部腺样囊性癌的骨放射性坏死的不同模式:来自两个机构的病例系列
Acta Oncol. 2025 Jan 15;64:63-68. doi: 10.2340/1651-226X.2025.42209.
6
Treatment Outcomes and Patterns of Disease Recurrence of Patients with Carcinoma of the Buccal Mucosa.颊黏膜癌患者的治疗结果与疾病复发模式
Indian J Otolaryngol Head Neck Surg. 2024 Dec;76(6):5209-5220. doi: 10.1007/s12070-024-04948-6. Epub 2024 Aug 30.
7
Ensemble RBE Modeling in Proton Therapy: A Meta-Synthesis Framework for Dose Assessment in the Brainstem and Spinal Cord.质子治疗中的集成相对生物效应建模:脑干和脊髓剂量评估的元综合框架
Cancer Control. 2025 Jan-Dec;32:10732748251355396. doi: 10.1177/10732748251355396. Epub 2025 Jul 1.
8
Comparison of Two Modern Survival Prediction Tools, SORG-MLA and METSSS, in Patients With Symptomatic Long-bone Metastases Who Underwent Local Treatment With Surgery Followed by Radiotherapy and With Radiotherapy Alone.两种现代生存预测工具 SORG-MLA 和 METSSS 在接受手术联合放疗和单纯放疗治疗有症状长骨转移患者中的比较。
Clin Orthop Relat Res. 2024 Dec 1;482(12):2193-2208. doi: 10.1097/CORR.0000000000003185. Epub 2024 Jul 23.
9
Clinicopathological characteristics of patients with primary tracheal tumors: Analysis of eighty-nine cases.原发性气管肿瘤患者的临床病理特征:89例分析
Thorac Cancer. 2024 Apr;15(11):878-883. doi: 10.1111/1759-7714.15231. Epub 2024 Mar 1.
10
Systemic pharmacological treatments for chronic plaque psoriasis: a network meta-analysis.系统性药理学治疗慢性斑块状银屑病:网络荟萃分析。
Cochrane Database Syst Rev. 2021 Apr 19;4(4):CD011535. doi: 10.1002/14651858.CD011535.pub4.

本文引用的文献

1
Radiation Therapy for Primary Adenoid Cystic Carcinoma of the Trachea: Photons, Protons, or Carbon.气管原发性腺样囊性癌的放射治疗:光子、质子还是碳离子
Int J Part Ther. 2023 Jan 12;9(4):302-305. doi: 10.14338/IJPT-22-00036.1. eCollection 2023 Spring.
2
Treatment of Recurrent or Metastatic Adenoid Cystic Carcinoma.复发性或转移性腺样囊性癌的治疗。
Curr Oncol Rep. 2022 May;24(5):621-631. doi: 10.1007/s11912-022-01233-z. Epub 2022 Feb 25.
3
Long-term outcomes of high-dose (74 GyE) proton beam therapy with concurrent chemotherapy for stage III nonsmall-cell lung cancer.
高剂量(74GyE)质子束放疗联合化疗治疗 III 期非小细胞肺癌的长期疗效。
Thorac Cancer. 2021 May;12(9):1320-1327. doi: 10.1111/1759-7714.13896. Epub 2021 Mar 6.
4
Role of concurrent chemoradiation on locally advanced unresectable adenoid cystic carcinoma.同期放化疗在局部晚期不可切除腺样囊性癌中的作用。
Korean J Intern Med. 2021 Jan;36(1):175-181. doi: 10.3904/kjim.2019.104. Epub 2020 Mar 30.
5
Proton Beam Therapy for Bronchogenic Adenoid Cystic Carcinoma: Dosimetry, Toxicities, and Outcomes.质子束治疗支气管腺样囊性癌:剂量测定、毒性反应及治疗结果
Int J Part Ther. 2018 Spring;4(4):1-9. doi: 10.14338/IJPT-17-00014.1. Epub 2018 Jul 26.
6
Primary adenoid cystic carcinoma of the trachea: clinical outcome of 38 patients after interdisciplinary treatment in a single institution.气管原发性腺样囊性癌:单中心多学科治疗 38 例患者的临床结局。
Radiat Oncol. 2019 Jul 4;14(1):117. doi: 10.1186/s13014-019-1323-z.
7
A 10-year clinical outcome of radiotherapy as an adjuvant or definitive treatment for primary tracheal adenoid cystic carcinoma.原发性气管腺样囊性癌放疗作为辅助或根治性治疗的 10 年临床结果。
Radiat Oncol. 2017 Dec 4;12(1):196. doi: 10.1186/s13014-017-0933-6.
8
Fibrotic airway stenosis following radiotherapy in patients with adenoid cystic carcinoma.腺样囊性癌患者放疗后纤维化气道狭窄
Respirology. 2014 Aug;19(6):914-20. doi: 10.1111/resp.12336. Epub 2014 Jun 17.
9
Definitive radiotherapy for unresected adenoid cystic carcinoma of the trachea.气管未切除腺样囊性癌的根治性放疗。
Chest. 2012 May;141(5):1323-1326. doi: 10.1378/chest.11-0925.
10
Adenoid cystic carcinoma.腺样囊性癌。
Arch Pathol Lab Med. 2011 Apr;135(4):511-5. doi: 10.5858/2009-0527-RS.1.