Suppr超能文献

胎盘植入的意外显著演变:病例报告与文献综述

Unexpected Dramatic Evolution of Placenta Increta: Case Report and Literature Review.

作者信息

Tîrnovanu Mihaela Camelia, Tîrnovanu Vlad Gabriel, Toma Bogdan, Toma Loredana, Țarcă Elena, Stătescu Laura, Tîrnovanu Ștefan Dragoș, Ungureanu Carmen, Trandafirescu Mioara Florentina, Bernic Jana, Cojocaru Elena

机构信息

Department of Mother and Child Medicine, "Grigore. T. Popa" University of Medicine and Pharmacy, 700115 Iasi, Romania.

"Cuza Voda" Obstetrics-Gynecology Clinic Hospital, 700038 Iasi, Romania.

出版信息

J Pers Med. 2023 Oct 31;13(11):1563. doi: 10.3390/jpm13111563.

Abstract

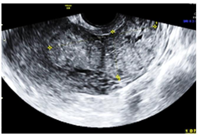
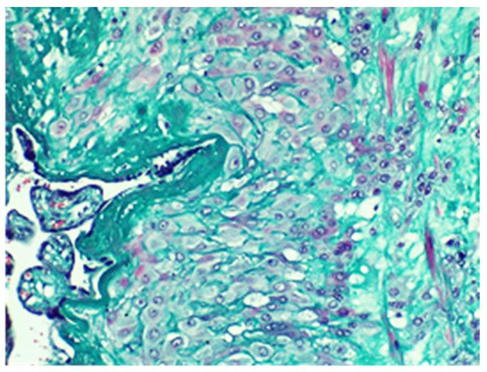
Placental morbid adherence is a known risk factor for postpartum hemorrhage. The incidence of abnormal placental attachment has been increasing over the past few decades, mainly due to rising rates of cesarean deliveries, advanced maternal age, and the use of assisted reproductive technologies. Cesarean section is a significant risk factor for placenta increta, as it disrupts the normal architecture of the uterine wall, making it more difficult for the placenta to detach after delivery. We present the case of a woman who underwent a cesarean section at 28 weeks due to anterior placenta previa, accompanied by hemorrhage and rupture of membranes. Following the delivery, she experienced normal postoperative bleeding and was discharged home after five days. However, six weeks later, she presented with heavy bleeding, leading to the decision to perform a total hysterectomy. The levels of HCG were found to be low. The pathological examination of the specimens confirmed a diagnosis of placenta increta, as it revealed notable placental proliferation, necrotic villi, and placental invasion near the uterine serosa. Notably, we did not find any similar cases documented in the literature. Patients experiencing prolonged vaginal bleeding after childbirth and diagnosed with placenta accreta should be closely monitored through ultrasound examinations; abnormal proliferation of the placenta can occur, and prompt detection is crucial for appropriate management.

摘要

胎盘植入是产后出血的已知危险因素。在过去几十年中,异常胎盘附着的发生率一直在上升,主要是由于剖宫产率上升、产妇年龄增大以及辅助生殖技术的使用。剖宫产是胎盘植入的一个重要危险因素,因为它破坏了子宫壁的正常结构,使得胎盘在分娩后更难剥离。我们报告一例因前置胎盘于孕28周行剖宫产的妇女病例,术中伴有出血和胎膜破裂。分娩后,她术后出血正常,五天后出院。然而,六周后,她出现大量出血,遂决定行全子宫切除术。发现血HCG水平较低。标本的病理检查证实为胎盘植入,因为它显示出明显的胎盘增生、坏死绒毛以及子宫浆膜附近的胎盘侵入。值得注意的是,我们在文献中未发现任何类似病例的记载。产后出现长时间阴道出血且诊断为胎盘植入的患者应通过超声检查密切监测;胎盘可能会出现异常增生,及时发现对于恰当的处理至关重要。

https://cdn.ncbi.nlm.nih.gov/pmc/blobs/ced3/10671948/1f7b116c32c6/jpm-13-01563-g001.jpg

文献AI研究员

20分钟写一篇综述,助力文献阅读效率提升50倍。

立即体验

用中文搜PubMed

大模型驱动的PubMed中文搜索引擎

马上搜索

文档翻译

学术文献翻译模型,支持多种主流文档格式。

立即体验