Suppr超能文献

前交叉韧带重建后膝关节残留不稳定时旋转和前向移位是否持续存在?(术后 MRI 中冠状外侧副韧带征象、胫骨旋转和移位测量的评估)。

Does Rotation and Anterior Translation Persist as Residual Instability in the Knee after Anterior Cruciate Ligament Reconstruction? (Evaluation of Coronal Lateral Collateral Ligament Sign, Tibial Rotation, and Translation Measurements in Postoperative MRI).

机构信息

Department of Orthopaedics and Traumatology, Samsun Education and Research Hospital, 55090 Samsun, Turkey.

Medical Faculty, Department of Orthopaedics and Traumatology, Samsun University, 55090 Samsun, Turkey.

出版信息

Medicina (Kaunas). 2023 Oct 31;59(11):1930. doi: 10.3390/medicina59111930.

Abstract

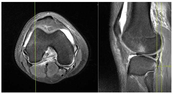
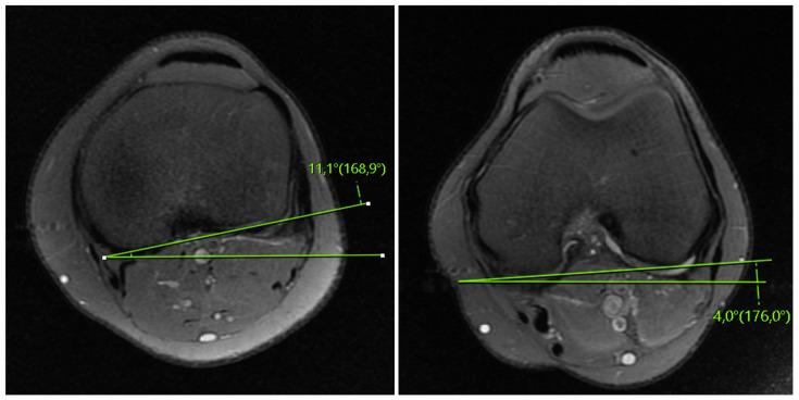
The aim of this study was to evaluate the presence of residual instability in the knee after ACL reconstruction through the analysis of MRI findings. This study included patients who underwent isolated ACL reconstruction between December 2019 and December 2021, and had preoperative and postoperative MRI, clinical scores, and postoperative isokinetic measurements. The anterior tibial translation (ATT) distance, coronal lateral collateral ligament (LCL) sign, and femorotibial rotation (FTR) angle were compared preoperatively and postoperatively. The correlation between the changes in preoperative-postoperative measurements and postoperative measurements with clinical scores and isokinetic measurements was examined. The clinical outcomes were compared based on the presence of a postoperative coronal LCL sign. Inclusion criteria were set as follows: the time between the ACL rupture and surgery being 6 months, availability of preoperative and postoperative clinical scores, and objective determination of muscle strength using isokinetic dynamometer device measurements. Patients with a history of previous knee surgery, additional ligament injuries other than the ACL, evidence of osteoarthritis on direct radiographs, cartilage injuries lower limb deformities, and contralateral knee injuries were excluded from this study. This study included 32 patients. After ACL reconstruction, there were no significant changes in the ATT distance (preoperatively: 6.5 ± 3.9 mm, postoperatively: 5.7 ± 3.2 mm) and FTR angle (preoperatively: 5.4° ± 2.9, postoperatively: 5.2° ± 3.5) compared to the preoperative measurements ( > 0.05). The clinical measurements were compared based on the presence of a postoperative coronal LCL sign (observed in 17 patients, not observed in 15 patients), and no significant differences were found for all parameters ( > 0.05). There were no observed correlations between postoperative FTR angle, postoperative ATT distance, FTR angle change, and ATT distance change values with postoperative clinical scores ( > 0.05). Significant correlations were observed between the high strength ratios generated at an angular velocity of 60° and a parameters FTR angle and ATT distance (-values: 0.028, 0.019, and r-values: -0.389, -0.413, respectively). Despite undergoing ACL reconstruction, no significant changes were observed in the indirect MRI findings (ATT distance, coronal LCL sign, and FTR angle). These results suggest that postoperative residual tibiofemoral rotation and tibial anterior translation may persist; however, they do not seem to have a direct impact on clinical scores. Furthermore, the increase in tibial translation and rotation could potentially negatively affect the flexion torque compared to the extension torque in movements requiring high torque at low angular velocities.

摘要

本研究旨在通过 MRI 检查结果分析评估 ACL 重建后膝关节的残余不稳定情况。本研究纳入了 2019 年 12 月至 2021 年 12 月期间接受单纯 ACL 重建的患者,且患者术前、术后均行 MRI、临床评分和术后等速测量。比较术前和术后胫骨前移(ATT)距离、冠状外侧副韧带(LCL)征和股骨胫骨旋转(FTR)角度。检查术前-术后测量值与术后临床评分和等速测量值之间的变化相关性。根据术后冠状 LCL 征的存在比较临床结果。纳入标准如下:ACL 破裂至手术的时间为 6 个月,术前、术后临床评分可用,使用等速测力计设备测量客观确定肌肉力量。排除既往膝关节手术史、除 ACL 以外的其他韧带损伤、直接 X 线片上骨关节炎证据、软骨损伤、下肢畸形和对侧膝关节损伤的患者。本研究共纳入 32 例患者。ACL 重建后,ATT 距离(术前:6.5 ± 3.9mm,术后:5.7 ± 3.2mm)和 FTR 角度(术前:5.4°±2.9°,术后:5.2°±3.5°)与术前测量值相比无显著变化(>0.05)。根据术后冠状 LCL 征的存在比较临床测量值(观察到 17 例,未观察到 15 例),所有参数均无显著差异(>0.05)。术后 FTR 角度、术后 ATT 距离、FTR 角度变化和 ATT 距离变化值与术后临床评分之间无观察到相关性(>0.05)。在角速度为 60°时产生的高力量比与 FTR 角度和 ATT 距离参数呈显著相关性(-值:0.028、0.019,r 值:-0.389、-0.413)。尽管进行了 ACL 重建,但间接 MRI 检查结果(ATT 距离、冠状 LCL 征和 FTR 角度)未见明显变化。这些结果表明,术后胫骨股骨旋转和胫骨前移可能持续存在,但它们似乎对临床评分没有直接影响。此外,与伸展扭矩相比,在需要低角速度高扭矩的运动中,胫骨平移和旋转的增加可能对屈曲扭矩产生负面影响。

https://cdn.ncbi.nlm.nih.gov/pmc/blobs/04eb/10672908/e2864b86fc66/medicina-59-01930-g001.jpg

文献AI研究员

20分钟写一篇综述,助力文献阅读效率提升50倍。

立即体验

用中文搜PubMed

大模型驱动的PubMed中文搜索引擎

马上搜索

文档翻译

学术文献翻译模型,支持多种主流文档格式。

立即体验