Suppr超能文献

使用术前三维虚拟规划和三维打印的患者特异性导板,以促进单阶段颅骨闭合楔形截骨术和胫骨平台平整截骨术,用于解决犬的胫骨近端畸形、胫骨平台角度过大以及颅交叉韧带功能不全问题。

Use of Preoperative 3D Virtual Planning and 3D-Printed Patient-Specific Guides to Facilitate a Single-Stage Cranial Closing Wedge Ostectomy and Tibial Plateau Leveling Osteotomy Procedure to Address Proximal Tibial Deformity, an Excessive Tibial Plateau Angle, and Cranial Cruciate Ligament Insufficiency in a Dog.

作者信息

De Armond Christina C, Lewis Daniel D, Townsend Sarah

机构信息

Department of Small Animal Clinical Sciences, College of Veterinary Medicine, University of Florida, Gainesville, FL 32610, USA.

出版信息

Case Rep Vet Med. 2023 Nov 23;2023:3368794. doi: 10.1155/2023/3368794. eCollection 2023.

Abstract

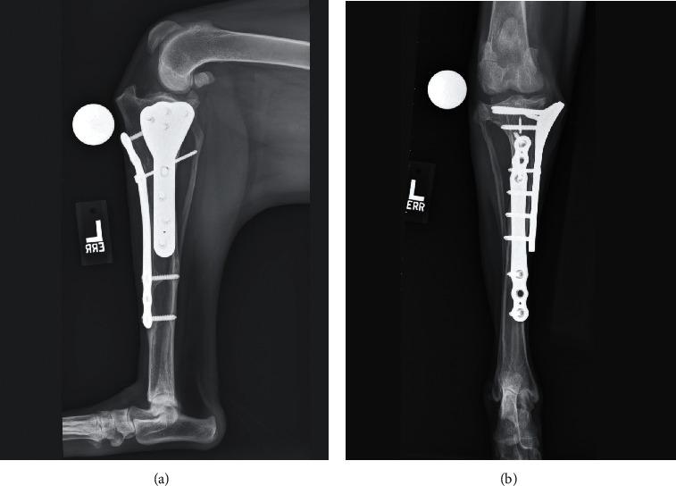
A 9-month-old mixed-breed dog was presented for bilateral proximal tibial deformity resulting in an excessive tibial plateau angle and cranial cruciate ligament insufficiency. Initial surgical management of the right pelvic limb was done by performing a cranial closing wedge ostectomy. Inadequate leveling of the plateau resulted in a postliminal meniscal tear which was addressed during a revision tibial plateau leveling osteotomy. The left pelvic limb was managed in a single-session surgery using three-dimensional (3D) virtual surgical planning and custom 3D-printed surgical guides to perform a combined cranial closing wedge ostectomy and tibial plateau leveling osteotomy. Postoperative 3D analysis of the left tibia revealed the accuracy of the surgical result within 2° of the virtual surgical plan. The dog developed a transient grade II/IV left medial patellar luxation following surgery but ultimately attained a full functional recovery and was actively engaged in competitive agility work 46 months following surgery on the left pelvic limb.

摘要

一只9个月大的混血犬因双侧胫骨近端畸形导致胫骨平台角过大和颅侧交叉韧带功能不全前来就诊。右后肢最初的手术治疗是通过进行颅侧闭合楔形截骨术。由于平台平整不足导致术后半月板撕裂,在翻修胫骨平台平整截骨术时进行了处理。左后肢采用单阶段手术,使用三维(3D)虚拟手术规划和定制的3D打印手术导板,进行联合颅侧闭合楔形截骨术和胫骨平台平整截骨术。术后对左胫骨的3D分析显示,手术结果的准确性在虚拟手术计划的2°范围内。这只狗术后出现了短暂的左侧髌骨二级/四级脱位,但最终完全恢复了功能,在左后肢手术后46个月积极参加了竞技敏捷运动。

https://cdn.ncbi.nlm.nih.gov/pmc/blobs/b9ba/10689072/07ebe7a7b9ae/CRIVEM2023-3368794.001.jpg

文献AI研究员

20分钟写一篇综述,助力文献阅读效率提升50倍。

立即体验

用中文搜PubMed

大模型驱动的PubMed中文搜索引擎

马上搜索

文档翻译

学术文献翻译模型,支持多种主流文档格式。

立即体验