Lee Oswald Zhao Jian, Omar Noorjehan, Tay Joshua K, Lee Victor Kwan Min
Department of Pathology, National University Hospital, National University Health System, Singapore 119074, Singapore.
Department of Pathology, Hospital Serdang, Kajang 43000, Malaysia.
Cancers (Basel). 2023 Nov 24;15(23):5563. doi: 10.3390/cancers15235563.
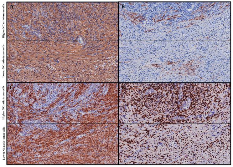
The Epstein-Barr virus (EBV) is associated with various tumor types, including nasopharyngeal carcinoma and lymphoproliferative disorders. While much is known about EBV-related epithelial and lymphoid tumors, there is a paucity of knowledge concerning EBV-associated mesenchymal tumors. This review aims to provide a comprehensive overview of EBV-associated mesenchymal tumors, encompassing their clinical features, pathological characteristics, pathophysiology, prognostic factors, and current treatment approaches. Through an extensive literature search using the PubMed database, we were able to identify three distinct EBV-associated mesenchymal tumors: EBV-associated smooth muscle tumors, inflammatory pseudotumor-like follicular dendritic cell sarcomas, and EBV-associated osteosarcomas. Although this review extensively explored the different aspects of these mesenchymal tumors, our comprehension of the underlying pathophysiology in this context is still incomplete. Therefore, we hope that this review paper will not only serve as a valuable repository of information but also serve as a catalyst for prospective in vitro and in vivo research studies to bridge the existing knowledge gap surrounding pathophysiology, ultimately making an important contribution to shaping future therapeutic approaches.
爱泼斯坦-巴尔病毒(EBV)与多种肿瘤类型相关,包括鼻咽癌和淋巴增殖性疾病。虽然关于EBV相关的上皮性和淋巴样肿瘤已有很多了解,但对于EBV相关的间充质肿瘤却知之甚少。本综述旨在全面概述EBV相关的间充质肿瘤,包括其临床特征、病理特征、病理生理学、预后因素和当前的治疗方法。通过使用PubMed数据库进行广泛的文献检索,我们确定了三种不同的EBV相关间充质肿瘤:EBV相关平滑肌瘤、炎性假瘤样滤泡树突状细胞肉瘤和EBV相关骨肉瘤。尽管本综述广泛探讨了这些间充质肿瘤的不同方面,但我们对这种情况下潜在病理生理学的理解仍然不完整。因此,我们希望这篇综述文章不仅能成为有价值的信息库,还能成为前瞻性体外和体内研究的催化剂,以弥合围绕病理生理学的现有知识差距,最终为塑造未来治疗方法做出重要贡献。