Department of Neurology, The First Affiliated Hospital, Sun Yat-sen University, Guangdong Provincial Key Laboratory of Diagnosis and Treatment of Major Neurological Diseases, National Key Clinical Department and Key Discipline of Neurology, Guangzhou, China.
Key Laboratory of Neurogenetics and Channelopathies of Guangdong Province and The Ministry of Education of China, Institute of Neuroscience and The Second Affiliated Hospital of Guangzhou Medical University, Guangzhou, Guangdong, China.
Front Immunol. 2023 Dec 1;14:1256089. doi: 10.3389/fimmu.2023.1256089. eCollection 2023.
To explore the clinical manifestations of glutamic acid decarboxylase 65 (GAD65) antibody-positive patients with extraocular symptoms and the possible mechanism.
Assays for the presence of GAD65 antibodies were performed on patients' serum and cerebral spinal fluid (CSF). The brain and ocular structures involved in eye movement were assessed via magnetic resonance imaging (MRI). Tests such as electromyography (EMG), particularly repetitive nerve stimulation (RNS), and neostigmine tests were utilized for differential diagnosis. Additionally, the interaction of GAD65 antibodies with muscle tissue was confirmed using immunofluorescence techniques.
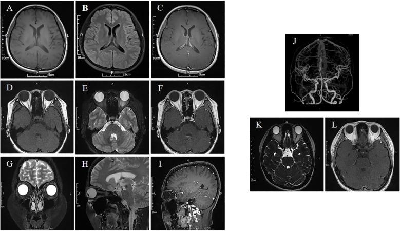
Each patient exhibited symptoms akin to extraocular myasthenia gravis (MG), with two individuals reporting diplopia and two experiencing ptosis. GAD65 antibodies were detected in either the serum or CSF, which were shown to bind with monkey cerebellum slides and mouse muscle slides. Neuroimaging of the brain and extraocular muscles via MRI showed no abnormalities, and all patients tested negative for the neostigmine test, RNS EMG, and the presence of MG antibodies. However, thyroid-related antibodies were found to be abnormal in four of the patients.
Our results showed that GAD65 antibodies are not only associated with encephalitis, cerebellum ataxia or stiff-person syndrome caused by the decrease of GABAergic transmission but also diplopia and ptosis. Therefore, we should pay more attention to extraocular muscle paralysis patients without pathogenic antibodies directed against the components of neuromuscular junctions.
探讨谷氨酸脱羧酶 65(GAD65)抗体阳性伴眼外症状患者的临床表现及可能的发病机制。
对患者血清和脑脊液(CSF)进行谷氨酸脱羧酶 65 抗体检测。采用磁共振成像(MRI)评估与眼球运动相关的脑和眼结构。通过肌电图(EMG),特别是重复神经刺激(RNS)和新斯的明试验进行鉴别诊断。此外,采用免疫荧光技术确认 GAD65 抗体与肌肉组织的相互作用。
每位患者均表现出类似于眼外肌重症肌无力(MG)的症状,其中 2 例患者出现复视,2 例患者出现上睑下垂。血清或 CSF 中检测到 GAD65 抗体,与猴小脑载玻片和鼠肌肉载玻片结合。MRI 脑和眼外肌神经影像学检查未见异常,所有患者新斯的明试验、RNS-EMG 和 MG 抗体检测均为阴性。然而,4 例患者的甲状腺相关抗体异常。
我们的研究结果表明,GAD65 抗体不仅与 GABA 能传递减少引起的脑炎、小脑共济失调或僵人综合征有关,还与复视和上睑下垂有关。因此,我们应更加关注无神经肌肉接头成分致病性抗体的眼外肌麻痹患者。