Suppr超能文献

新生儿睾丸扭转合并鞘膜积液:一例强调早期识别与处理必要性的病例报告

Neonatal Testicular Torsion with Hydrocele: A Case Report Underscoring the Need for Early Recognition and Management.

作者信息

Omran Kareem, Ali Sameh Ali, Ahmad Ehsan, Matta Hilal, Al Tamr Wissam Jamal

机构信息

Department of Public Health and Primary Care, University of Cambridge, Cambridge CB2 1TN, UK.

NMC Royal Hospital, Sharjah, UAE.

出版信息

Case Rep Surg. 2023 Dec 11;2023:9979543. doi: 10.1155/2023/9979543. eCollection 2023.

Abstract

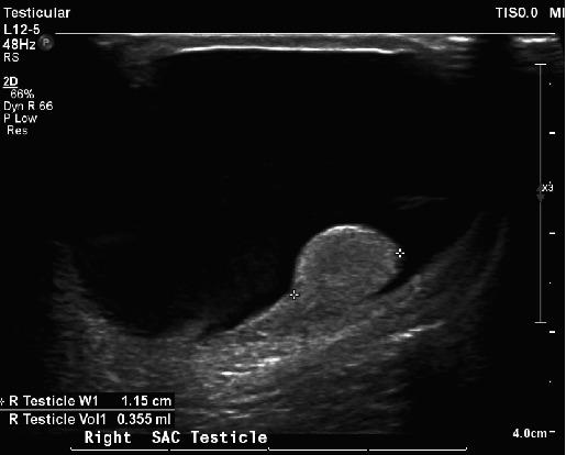
Neonatal testicular torsion (NTT) is a rare but significant condition occurring within the first 30-day postbirth, leading to vascular compromise and potential testicular loss. This paper presents a case of NTT detected incidentally in a neonate with bilateral hydrocele, emphasizing the challenge of early diagnosis and management complexities. The infant underwent surgical intervention involving detorsion and bilateral orchiopexy but eventually required right orchiectomy due to necrosis. The paper highlights the prevalence of NTT in conjunction with hydrocele and stresses the importance of parent education and vigilant follow-up. Various diagnostic methods, primarily ultrasonography, and a range of management strategies are discussed, considering factors such as salvage potential, risk to the contralateral testicle, and surgical intervention's risks and benefits. The paper argues for individualized management, taking into account specific neonate conditions and parental preferences, underlining the essential role of informed and empathetic consultation. The case reinforces the urgent need for increased awareness, early detection, and carefully considered therapeutic approaches to prevent devastating outcomes like infertility and the necessity for lifelong hormone supplementation.

摘要

新生儿睾丸扭转(NTT)是一种罕见但严重的病症,发生在出生后的前30天内,会导致血管受损并可能导致睾丸丧失。本文介绍了一例在患有双侧鞘膜积液的新生儿中偶然发现的NTT病例,强调了早期诊断的挑战和管理的复杂性。该婴儿接受了包括扭转复位和双侧睾丸固定术的手术干预,但最终由于坏死而需要进行右侧睾丸切除术。本文强调了NTT合并鞘膜积液的患病率,并强调了家长教育和密切随访的重要性。讨论了各种诊断方法,主要是超声检查,以及一系列管理策略,同时考虑了挽救潜力、对侧睾丸的风险以及手术干预的风险和益处等因素。本文主张个体化管理,考虑到特定新生儿的情况和家长的偏好,强调了知情且富有同情心的咨询的重要作用。该病例强化了提高认识、早期发现以及谨慎考虑治疗方法以预防诸如不育等灾难性后果的迫切需求,以及终身激素补充的必要性。

https://cdn.ncbi.nlm.nih.gov/pmc/blobs/2412/10728354/0719331076c0/CRIS2023-9979543.001.jpg

文献AI研究员

20分钟写一篇综述,助力文献阅读效率提升50倍。

立即体验

用中文搜PubMed

大模型驱动的PubMed中文搜索引擎

马上搜索

文档翻译

学术文献翻译模型,支持多种主流文档格式。

立即体验