Suppr超能文献

一例罕见的新生羔羊细颈囊尾蚴感染病例:产前传播的证据。

A rare case of Cysticercus tenuicollis infection in a neonate lamb: Evidence of prenatal transmission.

机构信息

Department of Clinical Sciences, Karaj Branch, Islamic Azad University, Karaj, Iran.

Department of Animal and Poultry Health and Nutrition, Faculty of Veterinary Medicine, University of Tehran, Tehran, Iran.

出版信息

Vet Med Sci. 2024 Jan;10(1):e1341. doi: 10.1002/vms3.1341. Epub 2023 Dec 20.

Abstract

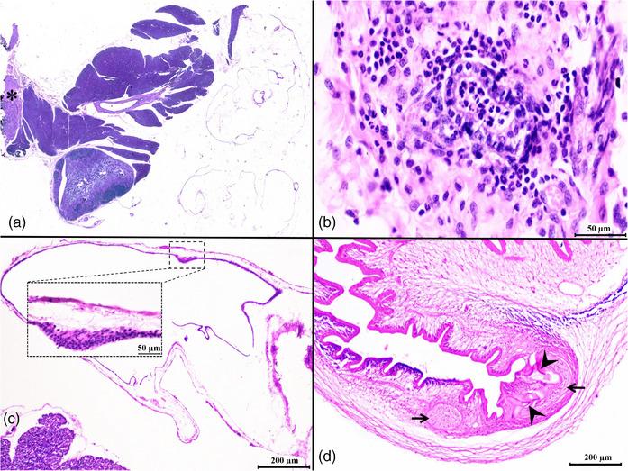
Cysticercosis develops in lambs following a Cysticercus tenuicollis infestation, which is the larval stage of Taenia hydatigena. A 7-day-old lamb was examined for depression, anorexia, fever (40.5°C), congested mucus membranes, reluctance to move, and a hunched back. Upon necropsy, congestion was noted in the intestines and brain, and the heart had a loose consistency. Soft and pulpy kidneys were evident coupled with watery intestinal contents. Epsilon toxin (Clostridium perfringens type D toxin) was detected using enzyme-linked immunosorbent assay. A transparent cystic structure was incidentally found attached to the pancreas, within which a scolex was well demonstrated upon histopathology. Chronic active peritonitis was diagnosed at the cyst attachment site. C. tenuicollis was confirmed by polymerase chain reaction and genome sequencing. This report describes prenatal transmission of C. tenuicollis in the present lamb, although this condition is quite rare.

摘要

细颈囊尾蚴蚴虫感染会导致羔羊发生囊尾蚴病,该蚴虫是细粒棘球绦虫的幼虫阶段。一只 7 日龄羔羊出现抑郁、食欲不振、发热(40.5°C)、黏膜充血、行动迟缓、弓背等症状。剖检时,发现肠道和大脑充血,心脏质地松软。肾脏柔软、呈糊状,伴有水样肠内容物。酶联免疫吸附试验检测到ε毒素(产气荚膜梭菌 D 型毒素)。偶然发现一个透明的囊状结构附着在胰腺上,组织病理学检查显示其中有一个明显的头节。在囊附着部位诊断为慢性活动性腹膜炎。聚合酶链反应和基因组测序证实存在细颈囊尾蚴。本报告描述了这只羔羊存在细颈囊尾蚴的产前传播,尽管这种情况非常罕见。

https://cdn.ncbi.nlm.nih.gov/pmc/blobs/7061/10766016/f9534db17957/VMS3-10-e1341-g004.jpg

文献AI研究员

20分钟写一篇综述,助力文献阅读效率提升50倍。

立即体验

用中文搜PubMed

大模型驱动的PubMed中文搜索引擎

马上搜索

文档翻译

学术文献翻译模型,支持多种主流文档格式。

立即体验