Suppr超能文献

关节牺牲性手术治疗类风湿性前足畸形后患者的术前期望与临床结果

Preoperative patient's expectations and clinical outcomes after rheumatoid forefoot deformity reconstruction by joint sacrificing surgery.

作者信息

Kim Sung-Jae, Gil Young-Woon, Sung Il-Hoon

机构信息

Department of Orthopedic Surgery, Dongtan Sacred Heart Hospital, Hallym University College of Medicine, Hwaseong, Korea.

Department of Orthopedic Surgery, Hanyang University College of Medicine, Seoul, Korea.

出版信息

J Rheum Dis. 2024 Jan 1;31(1):33-40. doi: 10.4078/jrd.2023.0044. Epub 2023 Nov 27.

Abstract

OBJECTIVE

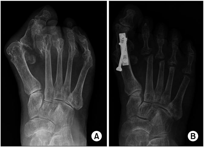
To study the clinical and radiologic factors related with overall patient satisfaction of joint scarifying reconstruction on severe rheumatoid forefoot deformity (RFD).

METHODS

Forty cases of RFD were retrospectively enrolled. A questionnaire on the factors for patient's expectations and satisfactions of the greater and lesser toes was administered, including repression of relapse in deformity (D), pain reduction (P), improvement in shoe wearing (S), barefoot activity (B), and appearance (A). Overall satisfaction were assessed using the 5-digit-scale. Hallux valgus angle, 1, 2 intermetatarsal angle, and other radiologic parameters were measured. Pearson's correlation and multiple linear regression analyses were used to evaluate the relationships between these factors and overall satisfaction.

RESULTS

Overall satisfaction was 4.0±0.82. Postoperative radiologic parameters were corrected in adequate range. Visual analog scale (VAS) was reduced from 7.2±2.1 to 2.2±1.8. For the greater toe, patient's expectations (D, P, S, B, and A) were 4.2, 4.1, 3.0, 2.5, 2.7 and satisfactions were 4.2, 4.0, 3.4, 3.5, 3.3, respectively. For the lesser toes, patient's expectations (D, P, S, B, and A) were 3.9, 4.1, 3.4, 3.0, 2.8, and satisfactions were 3.4, 4.0, 3.4, 3.6, 2.9, respectively. Satisfactions with P and B, and reduction amounts of VAS were significantly correlated with overall satisfaction.

CONCLUSION

Although forefoot reconstruction with a joint sacrificing procedure is non-physiological, it could be a good surgical option for severe RFD. Each patient's expectations and satisfactions with this procedure could vary. Thus, it seems important to inform patients preoperatively that expectation could be fulfilled well or less.

摘要

目的

研究与严重类风湿性前足畸形(RFD)关节切除重建患者总体满意度相关的临床和放射学因素。

方法

回顾性纳入40例RFD患者。发放一份关于患者对拇趾和小趾的期望及满意度因素的问卷,包括畸形复发抑制(D)、疼痛减轻(P)、穿鞋改善(S)、赤足活动(B)和外观(A)。采用5分制评估总体满意度。测量拇外翻角、第1、2跖骨间角及其他放射学参数。采用Pearson相关性分析和多元线性回归分析评估这些因素与总体满意度之间的关系。

结果

总体满意度为4.0±0.82。术后放射学参数在适当范围内得到矫正。视觉模拟评分(VAS)从7.2±2.1降至2.2±1.8。对于拇趾,患者的期望(D、P、S、B和A)分别为4.2、4.1、3.0、2.5、2.7,满意度分别为4.2、4.0、3.4、3.5、3.3。对于小趾,患者的期望(D、P、S、B和A)分别为3.9、4.1、3.4、3.0、2.8,满意度分别为3.4、4.0、3.4、3.6、2.9。对P和B的满意度以及VAS降低量与总体满意度显著相关。

结论

尽管关节切除手术进行前足重建不符合生理,但对于严重RFD可能是一种较好的手术选择。每位患者对该手术的期望和满意度可能不同。因此,术前告知患者期望可能得到较好或较差的满足似乎很重要。

https://cdn.ncbi.nlm.nih.gov/pmc/blobs/f261/10730808/0697d0b7ef36/jrd-31-1-33-f1.jpg

文献检索

告别复杂PubMed语法,用中文像聊天一样搜索,搜遍4000万医学文献。AI智能推荐,让科研检索更轻松。

立即免费搜索

文件翻译

保留排版,准确专业,支持PDF/Word/PPT等文件格式,支持 12+语言互译。

免费翻译文档

深度研究

AI帮你快速写综述,25分钟生成高质量综述,智能提取关键信息,辅助科研写作。

立即免费体验