Suppr超能文献

牙周囊肿的当前观点:文献综述

Current Perspectives on Paradental Cyst: A Literature Review.

作者信息

Li Pei, Zhao Yifan, You Yuehua, Lin Ling, Yu Dongsheng, Zhao Wei

机构信息

Guangdong Provincial Key Laboratory of Stomatology, Guanghua School of Stomatology, Hospital of Stomatology, Sun Yat-sen University, Guangzhou 510055, China.

School of Stomatology, Department of Medicine, Changsha Medical University, Changsha 410219, China.

出版信息

Dent J (Basel). 2023 Dec 5;11(12):281. doi: 10.3390/dj11120281.

Abstract

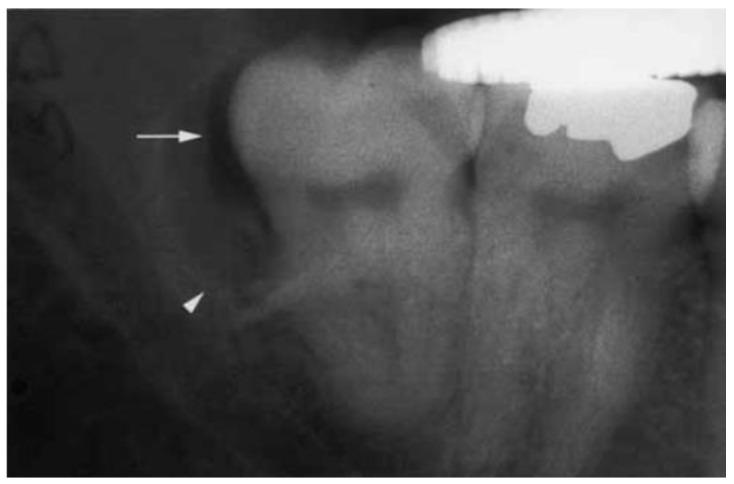
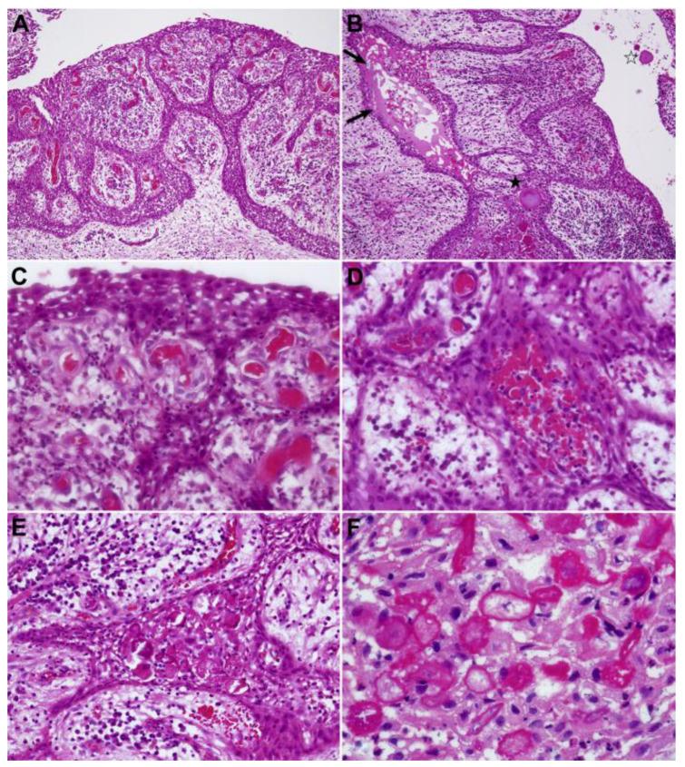
Paradental cyst (PC) is an uncommon type of odontogenic cyst of inflammatory origin, which develops near the cervical margin of the outside of the root of a vital tooth. The category of paradental cyst includes the buccal bifurcation cyst, which is found in the buccal area adjacent to the mandibular first or second molars in children. A conclusive diagnosis of a PC needs to correlate the surgical, radiographic, and histologic findings. When strict diagnosis is neglected, they can be easily misdiagnosed and mistreated. PCs associated with mandibular first and second molars and those associated with the mandibular third molar may have slightly different clinical manifestations but have almost completely different treatment principles due to the distinction in location. For the third molars, removal of both the tooth and the cyst is preferred. However, when the first or second molars are affected, it may be advisable to perform enucleation of the lesion while preserving the associated tooth. There are also more conservative methods to retain vital permanent teeth within the mandibular arch. Additionally, the cyst wall primarily consisted of granulation tissue firmly attached to the periodontal ligament space. The exact origin of these cysts was a subject of ongoing debate, but they were believed to primarily arise from either the reduced enamel epithelium or the inflammatory proliferation of junctional/sulcular epithelium, which originate from the superficial mucosa during tooth eruption. The aim of the present review was to update information on clinical manifestations, diagnosis and treatment strategies of cysts and discuss their pathogenic mechanisms. Raising familiarity with the distinctive features is beneficial for accurately diagnosing these lesions and effectively caring for the patients.

摘要

牙周囊肿(PC)是一种罕见的炎症性牙源性囊肿,发生于活髓牙根外侧的颈缘附近。牙周囊肿类别包括颊侧分叉囊肿,见于儿童下颌第一或第二磨牙颊侧区域。牙周囊肿的确切诊断需要综合手术、影像学和组织学检查结果。若忽视严格诊断,易造成误诊和误治。与下颌第一、第二磨牙相关的牙周囊肿和与下颌第三磨牙相关的牙周囊肿临床表现可能略有不同,但因位置不同治疗原则几乎完全不同。对于第三磨牙,首选同时拔除牙齿和囊肿。然而,当第一或第二磨牙受累时,保留患牙同时摘除病变可能更为可取。还有更保守的方法在下颌牙弓内保留活的恒牙。此外,囊肿壁主要由紧密附着于牙周膜间隙的肉芽组织构成。这些囊肿的确切起源一直存在争议,但一般认为主要源于釉质上皮剩余或结合上皮/龈沟上皮的炎症性增生,这些上皮在牙齿萌出时源于表层黏膜。本综述旨在更新有关囊肿临床表现、诊断和治疗策略的信息,并探讨其发病机制。提高对这些独特特征的认识有助于准确诊断这些病变并有效治疗患者。

https://cdn.ncbi.nlm.nih.gov/pmc/blobs/3bbd/10742593/ffd54a7b649b/dentistry-11-00281-g001.jpg

文献AI研究员

20分钟写一篇综述,助力文献阅读效率提升50倍。

立即体验

用中文搜PubMed

大模型驱动的PubMed中文搜索引擎

马上搜索

文档翻译

学术文献翻译模型,支持多种主流文档格式。

立即体验