Suppr超能文献

输卵管结扎材料的组织病理学和癌前变化。

Histopathologic and Preneoplastic Changes in Tubal Ligation Materials.

机构信息

Clinic of Pathology, Konya City Hospital, University of Health Sciences Turkey, Konya 42020, Turkey.

Clinic of Obstetrics and Gynecology, Konya City Hospital, University of Health Sciences Turkey, Konya 42020, Turkey.

出版信息

Medicina (Kaunas). 2023 Dec 4;59(12):2117. doi: 10.3390/medicina59122117.

Abstract

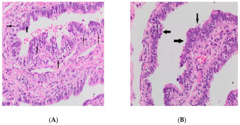
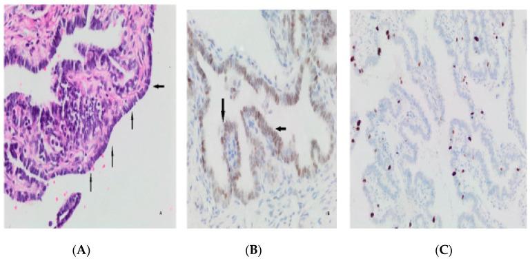
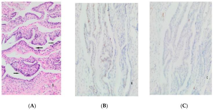
To investigate histopathological changes and serous carcinoma precursors such as secretory cell outgrowths (SCOUTs) and p53 signature in the bilateral tubal ligation (BTL) materials used during cesarean section (S/C). : In total, 138 patients underwent S/C and tubal sterilization (TS) between October 2020 and May 2021 at Konya City Hospital. Patients' data were obtained from the hospital's system. All data and findings were investigated and statistically evaluated. The mean age was 34.62 years (22-44), the mean gravity was 4.89 (2-15) and the mean parity was 3.46 (1-10). In total, 5.79% SCOUT, 7.24% atypia and 9.42% p53 signatures were observed. Significant correlations were shown between the epithelial cell lineage and age between Ki-67, SCOUT, and gravity; between the Ki-67 results and gravity and parity; and between the p53 score and age. : TS is a common, safe, and effective method worldwide. Today, BTL is increasing along with increasing S/C ratios. In addition to the reduced risk of ovarian cancers with ligation alone, precursor lesions such as hyperplasia, SCOUT, p53 signature, and STIL/Serous tubal intraepithelial carcinoma (STIC) are encountered in the ampulla materials obtained. Considering the low rates of re-anastomosis, tubal excision may be recommended instead of ligation in women of relatively higher gravity and age.

摘要

研究剖检组织学变化以及浆液性癌前体,如分泌细胞外生(SCOUT)和 p53 特征,这些前体存在于剖宫产时使用的双侧输卵管结扎(BTL)材料中。:2020 年 10 月至 2021 年 5 月,共有 138 名患者在科尼亚市医院接受剖宫产和输卵管绝育术(TS)。从医院系统中获取患者数据。所有数据和发现均进行了调查和统计评估。患者的平均年龄为 34.62 岁(22-44 岁),平均体重为 4.89(2-15),平均产次为 3.46(1-10)。总共观察到 5.79%的 SCOUT、7.24%的不典型增生和 9.42%的 p53 特征。上皮细胞谱系与 Ki-67、SCOUT 和体重之间存在显著相关性;Ki-67 结果与体重和产次之间存在相关性;p53 评分与年龄之间存在相关性。:TS 是一种全球范围内常见、安全且有效的方法。如今,随着剖宫产率的增加,BTL 也在增加。除了单独结扎可降低卵巢癌风险外,在获得的输卵管壶腹部材料中还会遇到增生、SCOUT、p53 特征和 STIL/浆液性输卵管上皮内癌(STIC)等前体病变。考虑到再吻合率较低,对于体重和年龄较高的女性,建议切除输卵管而不是结扎。

https://cdn.ncbi.nlm.nih.gov/pmc/blobs/4e54/10744772/118a6518216e/medicina-59-02117-g001.jpg

文献AI研究员

20分钟写一篇综述,助力文献阅读效率提升50倍。

立即体验

用中文搜PubMed

大模型驱动的PubMed中文搜索引擎

马上搜索

文档翻译

学术文献翻译模型,支持多种主流文档格式。

立即体验