Suppr超能文献

额颞叶痴呆相关的脑白质和海马灰质神经退行性变。

Neurodegeneration of White and Gray Matter in the Hippocampus with FXTAS.

机构信息

Institute for Pediatric Regenerative Medicine, Shriners Hospitals for Children, Sacramento, CA 95817, USA.

Department of Pathology and Laboratory Medicine, UC Davis School of Medicine, Sacramento, CA 95817, USA.

出版信息

Int J Mol Sci. 2023 Dec 8;24(24):17266. doi: 10.3390/ijms242417266.

Abstract

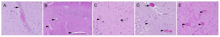
Fragile X-associated tremor/ataxia syndrome (FXTAS) is a neurodegenerative disorder that affects older premutation carriers (55-200 CGG repeats) of the fragile X gene. Despite the high prevalence of the FXTAS disorder, neuropathology studies of individuals affected by FXTAS are limited. We performed hematoxylin and eosin (H&E) staining in the hippocampus of 26 FXTAS cases and analyzed the tissue microscopically. The major neuropathological characteristics were white matter disease, intranuclear inclusions in neurons and astrocytes, and neuron loss. Astrocytes contained more and larger inclusions than neurons. There was a negative correlation between age of death and CGG repeat length in cases over the age of 60. The number of astroglial inclusions (CA3 and dentate gyrus) and the number of CA3 neuronal inclusions increased with elevated CGG repeat length. In the two cases with a CGG repeat size less than 65, FXTAS intranuclear inclusions were not present in the hippocampus, while in the two cases with less than 70 (65-70) CGG repeat expansion, neurons and astrocytes with inclusions were occasionally identified in the CA1 sub-region. These findings add hippocampus neuropathology to the previously reported changes in other areas of the brain in FXTAS patients, with implications for understanding FXTAS pathogenesis.

摘要

脆性 X 相关震颤/共济失调综合征(FXTAS)是一种神经退行性疾病,影响脆性 X 基因的大龄前突变携带者(55-200 CGG 重复)。尽管 FXTAS 疾病的患病率很高,但受 FXTAS 影响的个体的神经病理学研究有限。我们对 26 例 FXTAS 病例的海马体进行了苏木精和伊红(H&E)染色,并进行了组织学分析。主要的神经病理学特征是白质疾病、神经元和星形胶质细胞内的核内包涵体以及神经元丢失。星形胶质细胞中的包涵体比神经元多且大。在 60 岁以上的病例中,死亡年龄与 CGG 重复长度呈负相关。随着 CGG 重复长度的增加,星形胶质细胞包涵体(CA3 和齿状回)的数量和 CA3 神经元包涵体的数量增加。在两个 CGG 重复大小小于 65 的病例中,海马体中没有发现 FXTAS 核内包涵体,而在两个 CGG 重复扩展小于 70(65-70)的病例中,偶尔在 CA1 亚区中鉴定出含有包涵体的神经元和星形胶质细胞。这些发现将海马体神经病理学添加到先前报道的 FXTAS 患者大脑其他区域的变化中,这对理解 FXTAS 的发病机制具有重要意义。

https://cdn.ncbi.nlm.nih.gov/pmc/blobs/4c3c/10743470/454ea4ba477c/ijms-24-17266-g001.jpg

文献AI研究员

20分钟写一篇综述,助力文献阅读效率提升50倍。

立即体验

用中文搜PubMed

大模型驱动的PubMed中文搜索引擎

马上搜索

文档翻译

学术文献翻译模型,支持多种主流文档格式。

立即体验