Suppr超能文献

累及翼内肌和咬肌的罕见肌内黏液瘤:病例报告

Rare Intramuscular Myxoma Involving the Pterygoid and Masseteric Muscles: A Case Report.

作者信息

Alharthi Faisal S, Alasmari Khaled A, Alruwaili Sultan H, Basuhail Suhail M, Hamad Tareq A

机构信息

Otolaryngology, King Fahad Specialist Hospital, Tabuk, SAU.

General Practice, University of Tabuk, Tabuk, SAU.

出版信息

Cureus. 2023 Dec 1;15(12):e49772. doi: 10.7759/cureus.49772. eCollection 2023 Dec.

Abstract

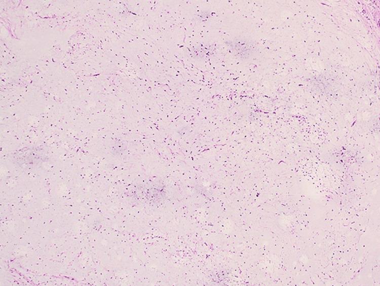
Myxomas, characterized by abundant mucoid stroma and spindle cells, represent a subset of benign soft tissue tumors. Intramuscular myxomas in the maxillofacial region are rare, posing diagnostic challenges. We present the case of a 58-year-old male who reported limited jaw movement. Physical examination revealed asymmetry, restricted mouth opening, and left lateral jaw movement. Imaging confirmed a well-defined myxomatous mass. Core needle biopsy confirmed an intramuscular myxoma involving the pterygoid and masseteric muscles. A multidisciplinary team opted for surveillance due to its benign nature. Follow-up at six months showed stable findings, supporting the decision for non-surgical management. This case highlights the diagnostic and management challenges of rare intramuscular myxomas in the maxillofacial region. A comprehensive diagnostic work-up, including clinical, radiological, and histopathological data, is crucial. Non-surgical management, guided by a benign nature, underscores the importance of judicious and multidisciplinary approaches. Regular follow-up contributes to understanding the natural history of intramuscular myxomas, emphasizing the need for vigilant monitoring in soft tissue tumor management.

摘要

黏液瘤以丰富的黏液样基质和梭形细胞为特征,是良性软组织肿瘤的一个子集。颌面部的肌内黏液瘤罕见,带来诊断挑战。我们报告一例58岁男性,其主诉下颌运动受限。体格检查发现不对称、张口受限以及左侧下颌运动受限。影像学检查证实有一个边界清晰的黏液瘤样肿块。粗针活检证实为累及翼内肌和咬肌的肌内黏液瘤。由于其良性性质,多学科团队选择进行监测。六个月后的随访结果显示病情稳定,支持非手术治疗的决定。该病例凸显了颌面部罕见肌内黏液瘤的诊断和治疗挑战。全面的诊断检查,包括临床、放射学和组织病理学数据,至关重要。基于良性性质的非手术治疗强调了审慎和多学科方法的重要性。定期随访有助于了解肌内黏液瘤的自然病程,强调在软组织肿瘤管理中进行密切监测的必要性。

https://cdn.ncbi.nlm.nih.gov/pmc/blobs/43b5/10758272/86cd5d0d8108/cureus-0015-00000049772-i01.jpg

文献AI研究员

20分钟写一篇综述,助力文献阅读效率提升50倍。

立即体验

用中文搜PubMed

大模型驱动的PubMed中文搜索引擎

马上搜索

文档翻译

学术文献翻译模型,支持多种主流文档格式。

立即体验