Suppr超能文献

腹膜透析相关的迟发性肠穿孔:1例穿孔后维持透析的病例报告

Delayed intestinal perforation associated with peritoneal dialysis: A case report of maintaining dialysis after perforation.

作者信息

Zhou Ru, Luo Minhong, Tang Hairong, Yang Tiecheng, Ma Hualin, Wang Zhen, Zhang Xinzhou, Guo Baochun

机构信息

Department of Nephrology, Shenzhen Peoples Hospital, The Second Clinical Medical College Jinan University; The First Affiliated Hospital, Southern University of Science and Technology Shenzhen China.

Department of Nephrology The Eighth Affiliated Hospital of Sun Yat-sen University Shenzhen China.

出版信息

Clin Case Rep. 2024 Jan 5;12(1):e8390. doi: 10.1002/ccr3.8390. eCollection 2024 Jan.

Abstract

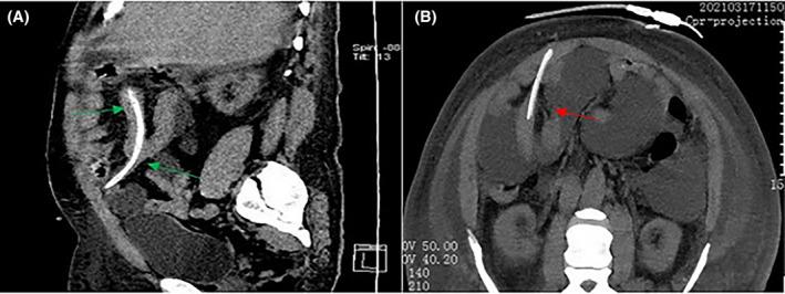
Delayed intestinal perforation has various manifestations. For peritonitis with delayed treatment and multi-bacterial peritonitis, we should be alert to the occurrence of this rare complication. Abdominal CT examination and imaging results judgment based on clinical conditions are particularly important for diagnosis. Delayed intestinal perforation of peritoneal dialysis catheter is a rare but serious complication. We reported a 49-year-old patient who had been hospitalized twice within 3 months due to poor drainage of the peritoneal dialysis catheter. During the first hospitalization, peritoneal dialysis-related peritonitis was diagnosed, and a variety of bacterial infections were cultivated. However, at that time, the actual peritoneal dialysis catheter-related intestinal perforation was missed, and he was discharged after anti-infection treatment until a clinical cure was met. After more than 2 months of normal peritoneal dialysis after returning home, the patient again had poor drainage of the peritoneal dialysis catheter, accompanied by the outflow of yellowish-brown sediment. It was found that the peritoneal dialysis catheter had evidence of intestinal perforation. After the removal of the catheter and intestinal repair, he recovered and was discharged from the hospital and received long-term hemodialysis treatment. In the case of delayed intestinal perforation, peritoneal dialysis was maintained normally for more than 2 months, which was an unprecedented situation in previous case reports. In addition, we should be alert to the occurrence of this rare complication, especially when we find the occurrence of polybacterial Peritonitis. Abdominal CT examination and imaging results judgment based on clinical conditions are particularly important for diagnosis.

摘要

迟发性肠穿孔有多种表现。对于治疗延迟的腹膜炎和多菌性腹膜炎,我们应警惕这种罕见并发症的发生。腹部CT检查以及基于临床情况的影像学结果判断对诊断尤为重要。腹膜透析导管相关的迟发性肠穿孔是一种罕见但严重的并发症。我们报告了一名49岁患者,其因腹膜透析导管引流不畅在3个月内两次住院。第一次住院期间,诊断为腹膜透析相关性腹膜炎,培养出多种细菌感染。然而,当时实际存在的腹膜透析导管相关肠穿孔被漏诊,经抗感染治疗直至临床治愈后出院。回家正常腹膜透析2个多月后,患者再次出现腹膜透析导管引流不畅,伴有黄褐色浑浊物流出。发现腹膜透析导管存在肠穿孔迹象。拔除导管并进行肠修复后,患者康复出院,接受长期血液透析治疗。在迟发性肠穿孔的情况下,腹膜透析正常维持了2个多月,这在以往病例报道中是前所未有的情况。此外,我们应警惕这种罕见并发症的发生,尤其是当发现多菌性腹膜炎发生时。腹部CT检查以及基于临床情况的影像学结果判断对诊断尤为重要。

https://cdn.ncbi.nlm.nih.gov/pmc/blobs/2dd4/10769894/46b6caa7a9aa/CCR3-12-e8390-g002.jpg

相似文献

1
Delayed intestinal perforation associated with peritoneal dialysis: A case report of maintaining dialysis after perforation.
Clin Case Rep. 2024 Jan 5;12(1):e8390. doi: 10.1002/ccr3.8390. eCollection 2024 Jan.
2
Intestinal perforation by a peritoneal dialysis catheter in which fungal peritonitis led to diagnosis: a rare case report.
CEN Case Rep. 2018 Nov;7(2):208-210. doi: 10.1007/s13730-018-0328-z. Epub 2018 Apr 2.
4
Intestinal fistula accompanied by recurrent peritonitis associated with peritoneal dialysis: a case report.
BMC Gastroenterol. 2020 May 24;20(1):157. doi: 10.1186/s12876-020-01303-1.
6
Bowel perforation by a peritoneal dialysis catheter: report of two cases.
BMC Nephrol. 2017 Oct 16;18(1):312. doi: 10.1186/s12882-017-0737-9.
7
Confirmation of intestinal and bladder perforations in a peritoneal dialysis patient using SPECT/CT: a case report and review of literature.
Front Med (Lausanne). 2024 Jan 8;10:1327295. doi: 10.3389/fmed.2023.1327295. eCollection 2023.
8
Jejunal perforation during peritoneal dialysis catheter placement: A case report.
Ann Med Surg (Lond). 2020 Jul 18;57:66-69. doi: 10.1016/j.amsu.2020.07.012. eCollection 2020 Sep.
10
Peritoneal Dialysis Catheter Removal Post-Transplant - A Rare Case of Delayed Bowel Perforation.
Perit Dial Int. 2017 Nov-Dec;37(6):650-651. doi: 10.3747/pdi.2016.00226.

本文引用的文献

1
Delayed Erosion of Peritoneal Dialysis Catheter Tip into the Small Bowel.
Cureus. 2020 Oct 5;12(10):e10806. doi: 10.7759/cureus.10806.
2
Bowel perforation by a peritoneal dialysis catheter: report of two cases.
BMC Nephrol. 2017 Oct 16;18(1):312. doi: 10.1186/s12882-017-0737-9.
3
Erosion of a Tenckhoff catheter to the sigmoid colon: an uncommon delayed complication.
CEN Case Rep. 2017 Nov;6(2):129-131. doi: 10.1007/s13730-017-0258-1. Epub 2017 Apr 26.
5
Polymicrobial peritonitis in a peritoneal dialysis patient.
Kidney Int. 2015 Dec;88(6):1455. doi: 10.1038/ki.2015.79.
6
Peritoneal-Pleural Leaks Demonstrated by CT Peritoneography.
Case Rep Nephrol Dial. 2015 Jun 20;5(2):135-9. doi: 10.1159/000430806. eCollection 2015 May-Aug.
7
Peritoneal dialysis catheter placement technique and complications.
NDT Plus. 2008 Oct;1(Suppl 4):iv23-iv28. doi: 10.1093/ndtplus/sfn120.
9
Delayed bowel perforation in a peritoneal dialysis patient: a case report and literature review.
Perit Dial Int. 2014 Jun;34(4):460-6. doi: 10.3747/pdi.2012.00345.
10
Endoscopic management of delayed perforation of the rectum caused by a peritoneal dialysis catheter.
Surg Laparosc Endosc Percutan Tech. 2011 Feb;21(1):e44-7. doi: 10.1097/SLE.0b013e3182093fb4.

文献AI研究员

20分钟写一篇综述,助力文献阅读效率提升50倍。

立即体验

用中文搜PubMed

大模型驱动的PubMed中文搜索引擎

马上搜索

文档翻译

学术文献翻译模型,支持多种主流文档格式。

立即体验