Suppr超能文献

遗传性胸主动脉疾病

Hereditary Thoracic Aortic Diseases.

作者信息

Spaziani Gaia, Surace Francesca Chiara, Girolami Francesca, Bianco Francesco, Bucciarelli Valentina, Bonanni Francesca, Bennati Elena, Arcieri Luigi, Favilli Silvia

机构信息

Pediatric and Transition Cardiology, Meyer Children's Hospital IRCCS, 50139 Florence, Italy.

Cardiovascular Sciences Department, AOU "Ospedali Riuniti", 60126 Ancona, Italy.

出版信息

Diagnostics (Basel). 2024 Jan 4;14(1):112. doi: 10.3390/diagnostics14010112.

Abstract

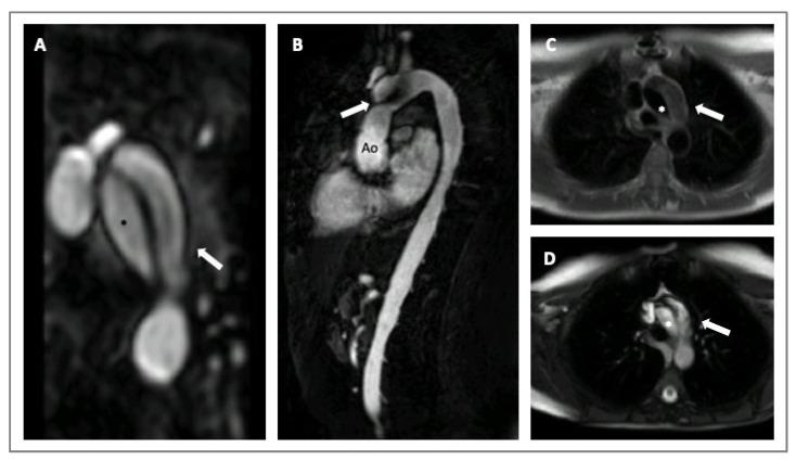
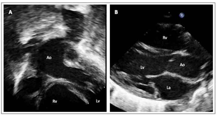
Advances in both imaging techniques and genetics have led to the recognition of a wide variety of aortic anomalies that can be grouped under the term 'hereditary thoracic aortic diseases'. The present review aims to summarize this very heterogeneous population's clinical, genetic, and imaging characteristics and to discuss the implications of the diagnosis for clinical counselling (on sports activity or pregnancy), medical therapies and surgical management.

摘要

成像技术和遗传学的进展已使人们认识到多种主动脉异常,这些异常可归类于“遗传性胸主动脉疾病”这一术语之下。本综述旨在总结这一非常异质性群体的临床、遗传和影像学特征,并讨论诊断对临床咨询(关于体育活动或妊娠)、药物治疗和手术管理的意义。

https://cdn.ncbi.nlm.nih.gov/pmc/blobs/2ffc/10795846/21366b82f3a6/diagnostics-14-00112-g001.jpg

文献AI研究员

20分钟写一篇综述,助力文献阅读效率提升50倍。

立即体验

用中文搜PubMed

大模型驱动的PubMed中文搜索引擎

马上搜索

文档翻译

学术文献翻译模型,支持多种主流文档格式。

立即体验