Suppr超能文献

左门静脉高压致胃肠道出血患者的静脉曲张栓塞及门静脉支架置入术:病例报告

Varicose vein embolization and portal vein stenting in a patient with sinistral portal hypertension-induced gastrointestinal hemorrhage: a case report.

作者信息

Li Xi, Li Wenbo, Wu Yu, Liu Yuan

机构信息

Department of Interventional Oncology, Hospital of Chengdu University of Traditional Chinese Medicine, Chengdu, People's Republic of China.

出版信息

Ann Med Surg (Lond). 2023 Nov 7;86(1):485-488. doi: 10.1097/MS9.0000000000001460. eCollection 2024 Jan.

Abstract

INTRODUCTION AND IMPORTANCE

Massive gastrointestinal hemorrhage is a severe hemorrhage that occurs in the gastrointestinal tract and is a life-threatening condition. Sinistral portal hypertension is a common etiology for massive gastrointestinal hemorrhage, whose occurrence might be derived from pathological changes induced by obstruction and/or increased blood flow to the portal vein system. However, there is a rare study reporting pancreatic disease-induced sinistral portal hypertension.

CASE PRESENTATION

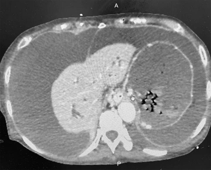
An 80-year-old female pancreatic cancer patient was admitted to our hospital on 22 January 2022 due to a massive gastrointestinal hemorrhage with shock after receiving radio-chemotherapy. Abdominal enhanced computerized tomography showed that the patient presented with pancreatic cancer-causing sinistral portal hypertension with massive collateral circulation, intrahepatic bile duct dilation, and the formation of massive ascites. Subsequent portography interventional procedure revealed the esophageal and gastric varix. Then, the varicose vein was embolized, and the stent was implanted at the lumen of the superior mesenteric vein accessing the portal vein. The patient recovered from pancreatic cancer-causing sinistral portal hypertension, and a normal direction of blood flow was observed in the superior mesenteric vein with a decreasing amount of ascites. In addition, a transfusion was also carried out, and the massive gastrointestinal hemorrhage was alleviated.

CLINICAL DISCUSSION AND CONCLUSION

This study emphasizes the successful treatment of massive gastrointestinal hemorrhage induced by pancreatic cancer-causing sinistral portal hypertension by varicose vein embolization and portal vein stenting, which could be considered an alternative opinion for these patients.

摘要

引言与重要性

大量胃肠道出血是发生在胃肠道的严重出血,是一种危及生命的状况。左侧门静脉高压是大量胃肠道出血的常见病因,其发生可能源于门静脉系统阻塞和/或血流增加所引起的病理变化。然而,鲜有研究报道胰腺疾病引起的左侧门静脉高压。

病例介绍

一名80岁女性胰腺癌患者于2022年1月22日因接受放化疗后出现大量胃肠道出血并休克而入住我院。腹部增强计算机断层扫描显示,该患者患有胰腺癌导致的左侧门静脉高压,伴有大量侧支循环、肝内胆管扩张和大量腹水形成。随后的门静脉造影介入手术显示食管和胃静脉曲张。然后,对曲张静脉进行栓塞,并在肠系膜上静脉进入门静脉的管腔内植入支架。患者从胰腺癌所致的左侧门静脉高压中康复,肠系膜上静脉血流方向正常,腹水减少。此外,还进行了输血,大量胃肠道出血得到缓解。

临床讨论与结论

本研究强调通过曲张静脉栓塞和门静脉支架置入术成功治疗胰腺癌所致左侧门静脉高压引起的大量胃肠道出血,这可为这些患者提供一种替代方案。

https://cdn.ncbi.nlm.nih.gov/pmc/blobs/853b/10783337/0ca49dc8dd17/ms9-86-485-g001.jpg

文献AI研究员

20分钟写一篇综述,助力文献阅读效率提升50倍。

立即体验

用中文搜PubMed

大模型驱动的PubMed中文搜索引擎

马上搜索

文档翻译

学术文献翻译模型,支持多种主流文档格式。

立即体验