Suppr超能文献

经食管超声心动图引导下使用径向力独立生物瓣膜经颈静脉经导管三尖瓣置换术的分步操作

Step-by-step transesophageal echocardiographic guidance for transjugular transcatheter tricuspid valve replacement with a radial force-independent bioprosthesis.

作者信息

Liu Yu, Li Wei, Zhou Daxin, Zhang Yuan, Pan Wenzhi, Chen Shasha, Shi Jing, Chen Haiyan, Kong Dehong, Ge Zhenyi, Guo Kefang, Shu Xianhong, Pan Cuizhen, Ge Junbo

机构信息

Shanghai Institute of Medical Imaging, Shanghai, China.

Department of Echocardiography, Zhongshan Hospital, Fudan University, Shanghai, China.

出版信息

Quant Imaging Med Surg. 2024 Jan 3;14(1):1061-1069. doi: 10.21037/qims-23-218. Epub 2024 Jan 2.

Abstract

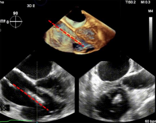
The prohibitive risk of isolated tricuspid valve (TV) surgery encouraged rapid development of a transcatheter solution for tricuspid regurgitation (TR). The favorable results of these devices informed recent guidelines to recommend considering transcatheter treatment of symptomatic secondary severe TR in inoperable patients. Transcatheter TV repair systems usually reduce TR through leaflet approximation and direct annuloplasty. Orthotopic transcatheter TV replacement (TTVR) devices generally rely on radial force and tricuspid leaflet engagement for implantation and stability. The LuX-Valve is a novel radial force-independent orthotopic TTVR device that is operated through the trans-atrial approach. Its radial force-independency is achieved through an interventricular septal anchor tab (septal insertion) and two leaflet graspers (leaflet engagement). Such a unique design makes the intraprocedural imaging different from that of other currently available TTVR systems. The latest generation of this device, the LuX-Valve Plus, comes with a newly designed delivery system through the transjugular approach, which makes the intraprocedural monitoring and adjustment of the device even more complex for successful implantation. However, its unique imaging needs for intra-procedural guidance and post-operative evaluation have not been described before. Therefore, we aimed to elaborate the key steps of transesophageal echocardiography (TEE) to guide this novel procedure. Herein, the primary 2-dimensional (2D) and 3-dimensional (3D) echocardiographic work planes are proposed and the critical steps are emphasized for better communication between imagers and interventionists. The suitability of 2D and 3D echocardiography to guide this procedure is also discussed to increase the flexibility of choice during the implantation.

摘要

单纯三尖瓣手术的高风险促使经导管治疗三尖瓣反流(TR)的方法迅速发展。这些装置取得的良好效果为近期的指南提供了依据,指南建议考虑对无法进行手术的有症状继发性重度TR患者进行经导管治疗。经导管三尖瓣修复系统通常通过瓣叶贴合和直接瓣环成形术来减少TR。原位经导管三尖瓣置换(TTVR)装置一般依靠径向力和三尖瓣瓣叶接合来实现植入和稳定。LuX-Valve是一种新型的不依赖径向力的原位TTVR装置,通过经心房途径操作。其不依赖径向力是通过一个室间隔锚定片(间隔插入)和两个瓣叶抓取器(瓣叶接合)来实现的。这种独特的设计使得术中成像与目前其他可用的TTVR系统不同。该装置的最新一代产品LuX-Valve Plus配备了一种新设计的经颈静脉途径输送系统,这使得术中对装置的监测和调整对于成功植入来说更加复杂。然而,其在术中引导和术后评估方面独特的成像需求此前尚未有描述。因此,我们旨在详细阐述经食管超声心动图(TEE)引导这一新型手术的关键步骤。在此,我们提出了主要的二维(2D)和三维(3D)超声心动图工作平面,并强调了关键步骤,以便成像人员和介入医生之间能更好地沟通。还讨论了二维和三维超声心动图引导该手术的适用性,以增加植入过程中选择的灵活性。

https://cdn.ncbi.nlm.nih.gov/pmc/blobs/7c47/10784097/81544de5c4bc/qims-14-01-1061-f1.jpg

文献AI研究员

20分钟写一篇综述,助力文献阅读效率提升50倍。

立即体验

用中文搜PubMed

大模型驱动的PubMed中文搜索引擎

马上搜索

文档翻译

学术文献翻译模型,支持多种主流文档格式。

立即体验