Suppr超能文献

儿童髁突骨折未被发现导致的颞下颌关节强直

Temporomandibular Joint Ankylosis as a Sequel of an Overlooked Condylar Fracture in a Child.

作者信息

Gharbi Manel, Kammoun Rym, Chaabani Imen, Ben Alaya Touhami

机构信息

Department of Radiology, University Dental Clinic, University of Monastir, Monastir, Tunisia.

Unit of Bioactive Natural Substances and Biotechnology, Faculty of Dental Medicine of Monastir, University of Monastir, Monastir, Tunisia.

出版信息

Case Rep Dent. 2024 Jan 5;2024:5101486. doi: 10.1155/2024/5101486. eCollection 2024.

Abstract

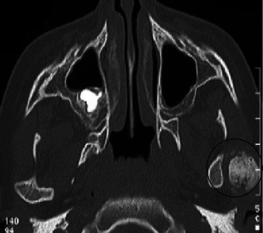
Temporomandibular joint ankylosis is an important entity that dentists and maxillofacial surgeons should know about. It clinically manifests through a permanent limitation of mandibular movements coupled with mouth opening inferior to 3 cm. This serious pathology can have serious functional repercussions, such as mastication problems, speech troubles, eating disorders, and jaw growth hindrance, in addition to the psychological difficulties in coping with such a condition in daily life. Herein, we present a radiological and chronological illustration of the evolution of temporomandibular joint ankylosis following an overlooked traumatic fracture of the mandibular condyle. The present case report involves an 8-year-old patient referred for a gradually evolving mouth opening limitation following a car accident. Tomodensitometry was helpful as it revealed an osseous block between the left temporomandibular joint surfaces, showing an ankylosis. Posttraumatic cerebral computed tomography scan was performed. It revealed an undetected fracture of the left condyle. The aim of this paper was to show how a traumatic ankylosis could have been avoided if enough attention was paid to the interpretation of immediate posttraumatic computed tomography scans. A thorough dental examination must be carried out once vital emergency is over. Early diagnosis of temporomandibular joint trauma is a crucial factor in preventing complications, such as ankylosis and its consequent oral dysfunctions. The dentist must automatically suspect condylar fracture when a child presents a history of head trauma, especially a mandibular trauma. This case should be a reminder that although temporomandibular joints are very often left out in patients' vital emergency first examination, temporomandibular joints/they are still a highly important structure which omission, and thus, dysfunction, if lesions are present, can lead to nonnegligible medico-legal consequences/that temporomandibular joints should be taken into account during patients' vital emergency first examination because if they are neglected, in the presence of lesions, they cause dysfunction, thus leading to nonnegligible medico-legal consequences.

摘要

颞下颌关节强直是牙医和颌面外科医生应该了解的一种重要病症。其临床症状表现为下颌运动永久性受限,伴张口度小于3厘米。这种严重的病理状况会产生严重的功能影响,如咀嚼问题、言语障碍、进食紊乱以及颌骨生长受阻,此外还会给日常生活中应对这种状况带来心理困扰。在此,我们展示了一例因下颌髁突创伤性骨折被忽视后颞下颌关节强直演变过程的影像学及时间顺序说明。本病例报告涉及一名8岁患者,因车祸后逐渐出现张口受限前来就诊。计算机断层扫描有助于诊断,因为它显示左侧颞下颌关节面之间存在骨块,提示关节强直。同时进行了创伤后脑计算机断层扫描,结果显示左侧髁突有一处未被发现的骨折。本文旨在表明,如果在创伤后立即进行的计算机断层扫描解读中给予足够重视,创伤性关节强直是可以避免的。一旦度过重要的紧急情况,必须进行全面的牙科检查。颞下颌关节创伤的早期诊断是预防诸如关节强直及其导致的口腔功能障碍等并发症的关键因素。当儿童有头部外伤史,尤其是下颌外伤史时,牙医必须自动怀疑有髁突骨折。这个病例应提醒人们,尽管在患者重要紧急情况的初次检查中颞下颌关节常常被遗漏,但颞下颌关节仍然是一个非常重要的结构,若存在病变而被遗漏,进而导致功能障碍,可能会引发不可忽视的医疗法律后果,即在患者重要紧急情况的初次检查中应考虑颞下颌关节,因为如果忽视它们,在存在病变时会导致功能障碍,从而引发不可忽视的医疗法律后果。

https://cdn.ncbi.nlm.nih.gov/pmc/blobs/cf92/10787048/995e72dc7e45/CRID2024-5101486.001.jpg

文献AI研究员

20分钟写一篇综述,助力文献阅读效率提升50倍。

立即体验

用中文搜PubMed

大模型驱动的PubMed中文搜索引擎

马上搜索

文档翻译

学术文献翻译模型,支持多种主流文档格式。

立即体验