Onishi Yasuyuki, Ohno Tsuyoshi, Shimizu Hironori, Shimada Kotaro, Isoda Hiroyoshi, Ishii Takamichi, Takai Atsushi, Nakamoto Yuji
Diagnostic Imaging and Nuclear Medicine, Kyoto University, Kyoto, JPN.
Surgery, Kyoto University, Kyoto, JPN.
Cureus. 2023 Dec 15;15(12):e50563. doi: 10.7759/cureus.50563. eCollection 2023 Dec.
The natural history of a large hepatic hemangioma is important in determining the treatment strategy. Although several studies have assessed the natural history of hepatic hemangiomas, no study has focused on hepatic hemangiomas measuring >10 cm. The aim of this study was to assess the natural history of hepatic hemangiomas measuring >10 cm by evaluating imaging findings and clinical course.
Computed tomography (CT) and magnetic resonance imaging (MRI) reports at Kyoto University Hospital, Kyoto, Japan, between January 2001 and March 2023 were retrospectively searched to find adult patients with hepatic hemangiomas >10 cm. Patients who were followed up without treatment for over six months were included. The maximum diameter of the hepatic hemangioma was compared between the baseline and the final CT or MRI. The clinical course of the patients was evaluated.
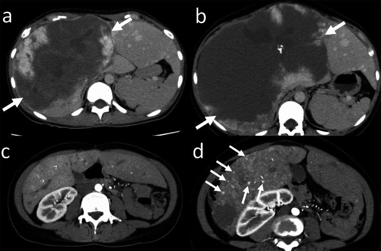
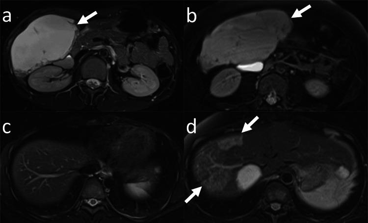
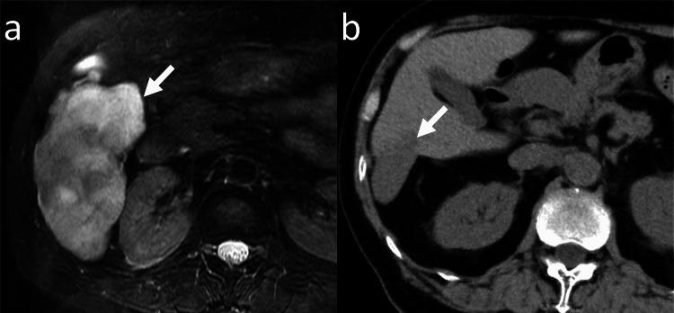
Twenty-two patients (17 women, five men; median age, 51 years) were identified. The median diameter of hepatic hemangiomas in the baseline study was 114 mm. Two patients had abdominal distention at the time of the baseline imaging, whereas the others were asymptomatic. After follow-up without treatment (the median; 95.5 months), enlargement, no change, shrinkage of hepatic hemangioma was observed in six, 11, and five patients, respectively. The median growth rate of hepatic hemangiomas was 2.5 mm/year. Two patients underwent liver resection for hepatic hemangioma, while the others were followed up without treatment. In four patients, symptoms appeared or worsened. Two patients died: one patient died from prostate cancer progression; the cause of death for the other was not confirmed.
Hepatic hemangiomas show a slow growth rate during follow-up, and shrinkage is occasionally observed. Some patients experience new symptoms or aggravation of symptoms; however, deaths associated with hepatic hemangiomas are uncommon.
大型肝血管瘤的自然病程对于确定治疗策略至关重要。尽管有多项研究评估了肝血管瘤的自然病程,但尚无研究聚焦于直径大于10 cm的肝血管瘤。本研究的目的是通过评估影像学表现和临床病程来评估直径大于10 cm的肝血管瘤的自然病程。
回顾性检索2001年1月至2023年3月期间日本京都大学医院的计算机断层扫描(CT)和磁共振成像(MRI)报告,以寻找患有直径大于10 cm肝血管瘤的成年患者。纳入未接受治疗且随访超过6个月的患者。比较基线时与最终CT或MRI检查时肝血管瘤的最大直径。评估患者的临床病程。
共确定了22例患者(17例女性,5例男性;中位年龄51岁)。基线研究中肝血管瘤的中位直径为114 mm。两名患者在基线影像学检查时出现腹胀,其余患者无症状。在未经治疗的随访(中位时间;95.5个月)后,分别有6例、11例和5例患者的肝血管瘤出现增大、无变化、缩小。肝血管瘤的中位生长速度为2.5 mm/年。两名患者因肝血管瘤接受了肝切除术,其余患者未接受治疗进行随访。4例患者出现症状或症状加重。两名患者死亡:一名患者死于前列腺癌进展;另一名患者的死因未得到证实。
肝血管瘤在随访期间生长缓慢,偶尔可见缩小。一些患者会出现新症状或症状加重;然而,与肝血管瘤相关的死亡并不常见。