• 文献检索
  • 文档翻译
  • 深度研究
  • 学术资讯
  • Suppr Zotero 插件Zotero 插件
  • 邀请有礼
  • 套餐&价格
  • 历史记录
应用&插件
Suppr Zotero 插件Zotero 插件浏览器插件Mac 客户端Windows 客户端微信小程序
定价
高级版会员购买积分包购买API积分包
服务
文献检索文档翻译深度研究API 文档MCP 服务
关于我们
关于 Suppr公司介绍联系我们用户协议隐私条款
关注我们

Suppr 超能文献

核心技术专利:CN118964589B侵权必究
粤ICP备2023148730 号-1Suppr @ 2026

文献检索

告别复杂PubMed语法,用中文像聊天一样搜索,搜遍4000万医学文献。AI智能推荐,让科研检索更轻松。

立即免费搜索

文件翻译

保留排版,准确专业,支持PDF/Word/PPT等文件格式,支持 12+语言互译。

免费翻译文档

深度研究

AI帮你快速写综述,25分钟生成高质量综述,智能提取关键信息,辅助科研写作。

立即免费体验

经径向支气管内超声引导下支气管镜冷冻活检诊断为肺黏液腺癌,表现为系统性硬化症患者的间质性肺疾病

Mucinous Adenocarcinoma of the Lung Diagnosed by Radial Endobronchial Ultrasound-guided Bronchoscopic Cryobiopsy and Presenting as Interstitial Lung Disease in a Patient with Systemic Sclerosis.

作者信息

Lin Yan-Ting, Lin Chiung-Hung, Wang Shao-Chung, Huang Yun-Ju, Wu Ren-Chin, Lee Chung-Shu, Chang Chih-Hao

机构信息

Department of Internal Medicine, Chang Gung Memorial Hospital, School of Medicine, Chang Gung University, Taipei, Taiwan.

Department of Thoracic Medicine, Chang Gung Memorial Hospital, School of Medicine, Chang Gung University, Taipei, Taiwan.

出版信息

J Med Ultrasound. 2022 Oct 7;31(4):314-317. doi: 10.4103/jmu.jmu_56_22. eCollection 2023 Oct-Dec.

DOI:10.4103/jmu.jmu_56_22
PMID:38264591
原文链接:https://pmc.ncbi.nlm.nih.gov/articles/PMC10802878/
Abstract

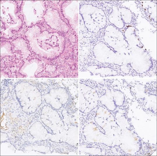
We report a patient with systemic sclerosis who was diagnosed with advanced-stage mucinous adenocarcinoma of the lungs. The clinical presentation, imaging findings, pathological results, and molecular diagnoses are presented. A 64-year-old woman with systemic sclerosis was administered prednisolone and hydroxychloroquine sulfate to control her disease. High-resolution computed tomography (HRCT) revealed an interstitial pattern in both lungs during annual imaging. Connective tissue disease-associated interstitial lung disease (CTD-ILD) was diagnosed using blood tests, pulmonary function tests, and imaging findings. One year later, the patient underwent follow-up chest HRCT, which showed progressive lung disease. The patient underwent endobronchial ultrasound (EBUS)-guided transbronchial lung cryobiopsy and computed tomography-guided biopsy for a pathological diagnosis. The pathology reports of bilateral lungs disclosed mucinous adenocarcinoma. After tumor staging and mutation testing, the patient received chemotherapy with pemetrexed and cisplatin. The bilateral lung lesions subsided after four cycles of first-line chemotherapy. Patients with CTD and lung involvement may be diagnosed with CTD-ILD. Although histopathological results are not mandatory for ILD diagnosis, EBUS-guided transbronchial lung biopsy or lung cryobiopsy should be considered when ILD has atypical or unexplained features.

摘要

我们报告了一名系统性硬化症患者,其被诊断为晚期肺黏液腺癌。本文呈现了该患者的临床表现、影像学检查结果、病理结果及分子诊断情况。一名64岁患有系统性硬化症的女性接受泼尼松龙和硫酸羟氯喹治疗以控制病情。年度影像学检查时,高分辨率计算机断层扫描(HRCT)显示双肺呈间质性改变。通过血液检查、肺功能检查及影像学检查结果诊断为结缔组织病相关性间质性肺病(CTD-ILD)。一年后,患者接受胸部HRCT随访,结果显示肺部疾病进展。患者接受了支气管内超声(EBUS)引导下经支气管肺冷冻活检及计算机断层扫描引导下活检以明确病理诊断。双侧肺脏的病理报告显示为黏液腺癌。在进行肿瘤分期及突变检测后,患者接受培美曲塞和顺铂化疗。一线化疗四个周期后,双侧肺部病变消退。患有CTD且有肺部受累的患者可能被诊断为CTD-ILD。虽然ILD诊断并非必须有组织病理学结果,但当ILD具有非典型或无法解释的特征时,应考虑进行EBUS引导下经支气管肺活检或肺冷冻活检。

https://cdn.ncbi.nlm.nih.gov/pmc/blobs/fca1/10802878/d4db860740bb/JMU-31-314-g004.jpg
https://cdn.ncbi.nlm.nih.gov/pmc/blobs/fca1/10802878/4fc965dcac01/JMU-31-314-g001.jpg
https://cdn.ncbi.nlm.nih.gov/pmc/blobs/fca1/10802878/d0538ac0c17c/JMU-31-314-g002.jpg
https://cdn.ncbi.nlm.nih.gov/pmc/blobs/fca1/10802878/aeb2df3c51ff/JMU-31-314-g003.jpg
https://cdn.ncbi.nlm.nih.gov/pmc/blobs/fca1/10802878/d4db860740bb/JMU-31-314-g004.jpg
https://cdn.ncbi.nlm.nih.gov/pmc/blobs/fca1/10802878/4fc965dcac01/JMU-31-314-g001.jpg
https://cdn.ncbi.nlm.nih.gov/pmc/blobs/fca1/10802878/d0538ac0c17c/JMU-31-314-g002.jpg
https://cdn.ncbi.nlm.nih.gov/pmc/blobs/fca1/10802878/aeb2df3c51ff/JMU-31-314-g003.jpg
https://cdn.ncbi.nlm.nih.gov/pmc/blobs/fca1/10802878/d4db860740bb/JMU-31-314-g004.jpg

相似文献

1
Mucinous Adenocarcinoma of the Lung Diagnosed by Radial Endobronchial Ultrasound-guided Bronchoscopic Cryobiopsy and Presenting as Interstitial Lung Disease in a Patient with Systemic Sclerosis.经径向支气管内超声引导下支气管镜冷冻活检诊断为肺黏液腺癌,表现为系统性硬化症患者的间质性肺疾病
J Med Ultrasound. 2022 Oct 7;31(4):314-317. doi: 10.4103/jmu.jmu_56_22. eCollection 2023 Oct-Dec.
2
The efficacy and safety of radial endobronchial ultrasound-guided transbronchial lung cryobiopsy in the diagnosis of lung disease.径向支气管内超声引导下经支气管肺冷冻活检在肺部疾病诊断中的有效性和安全性。
J Thorac Dis. 2023 Dec 30;15(12):6570-6578. doi: 10.21037/jtd-23-1005. Epub 2023 Dec 6.
3
Diagnosis of diffuse parenchymal lung diseases using transbronchial cryobiopsy guided by endobronchial ultrasound compared to clinicoradiological diagnosis.与临床放射学诊断相比,使用支气管内超声引导下的经支气管冷冻活检诊断弥漫性实质性肺疾病。
Quant Imaging Med Surg. 2022 Feb;12(2):1139-1148. doi: 10.21037/qims-21-255.
4
The value of virtual bronchoscopic navigation and radial endobronchial ultrasound-guided transbronchial lung cryobiopsies for pulmonary lymphangitic carcinomatosis.虚拟支气管镜导航和径向支气管内超声引导下经支气管肺冷冻活检对肺淋巴管癌病的价值
J Thorac Dis. 2020 Dec;12(12):7666-7674. doi: 10.21037/jtd-2020-abpd-002.
5
Adenocarcinoma originating in the anterior mediastinum diagnosed by endobronchial ultrasound-guided transbronchial cryobiopsy: a case report.经支气管超声引导经支气管冷冻活检诊断的前纵隔起源腺癌:病例报告。
BMC Pulm Med. 2024 Apr 16;24(1):181. doi: 10.1186/s12890-024-02998-8.
6
Efficacy of Radial Endobronchial Ultrasound (R-EBUS) guided transbronchial cryobiopsy for peripheral pulmonary lesions (PPL...s): A systematic review and meta-analysis.径向支气管内超声(R-EBUS)引导下经支气管冷冻活检对周围型肺病变(PPL...s)的疗效:一项系统评价和荟萃分析。
Pulmonology. 2023 Jan-Feb;29(1):50-64. doi: 10.1016/j.pulmoe.2020.12.006. Epub 2021 Jan 10.
7
Early experience of endobronchial ultrasound-guided transbronchial nodal cryobiopsy: a case series from Sabah, Malaysia.经支气管超声引导下经支气管淋巴结冷冻活检的早期经验:来自马来西亚沙巴的一个病例系列。
Ther Adv Respir Dis. 2024 Jan-Dec;18:17534666241231122. doi: 10.1177/17534666241231122.
8
Can transbronchial lung cryobiopsy benefit adaptive treatment strategies in connective tissue disease-associated interstitial lung disease?经支气管肺冷冻活检能否有益于结缔组织病相关间质性肺疾病的适应性治疗策略?
BMC Pulm Med. 2023 Apr 18;23(1):126. doi: 10.1186/s12890-023-02429-0.
9
Transbronchial lung cryobiopsy for connective tissue disease-related interstitial lung disease and interstitial pneumonia with autoimmune features: a single center retrospective case series.经支气管肺冷冻活检术在结缔组织病相关间质性肺疾病和具有自身免疫特征的间质性肺炎中的应用:一项单中心回顾性病例系列研究。
Clin Rheumatol. 2021 Sep;40(9):3765-3772. doi: 10.1007/s10067-021-05671-1. Epub 2021 Mar 3.
10
Interstitial lung diseases in Saudi Arabia: A single-center study.沙特阿拉伯的间质性肺疾病:一项单中心研究。
Ann Thorac Med. 2013 Jan;8(1):33-7. doi: 10.4103/1817-1737.105717.

本文引用的文献

1
A Pilot Study of Transbronchial Biopsy Using Endobronchial Ultrasonography with a Guide Sheath in the Diagnosis of Peripheral Pulmonary Lesions in Patients with Interstitial Lung Disease.一项关于在间质性肺疾病患者中使用带引导鞘的支气管内超声引导经支气管活检诊断周围型肺部病变的初步研究。
Diagnostics (Basel). 2021 Dec 4;11(12):2269. doi: 10.3390/diagnostics11122269.
2
Connective tissue disease-related interstitial lung disease (CTD-ILD) and interstitial lung abnormality (ILA): Evolving concept of CT findings, pathology and management.结缔组织病相关间质性肺疾病(CTD-ILD)和间质性肺异常(ILA):CT表现、病理学及管理的概念演变
Eur J Radiol Open. 2020 Dec 16;8:100311. doi: 10.1016/j.ejro.2020.100311. eCollection 2021.
3
Baseline Characteristics and Progression of a Spectrum of Interstitial Lung Abnormalities and Disease in Rheumatoid Arthritis.
类风湿关节炎中一系列肺间质异常和疾病的基线特征和进展。
Chest. 2020 Oct;158(4):1546-1554. doi: 10.1016/j.chest.2020.04.061. Epub 2020 May 16.
4
Lung cryobiopsy and interstitial lung disease: What is its role in the era of multidisciplinary meetings and antifibrotics?肺冷冻活检与间质性肺疾病:在多学科会议和抗纤维化治疗时代,它有何作用?
Respirology. 2020 Sep;25(9):987-996. doi: 10.1111/resp.13822. Epub 2020 Apr 19.
5
Connective tissue disease-associated interstitial lung disease.结缔组织病相关间质性肺疾病。
Pulmonology. 2022 Mar-Apr;28(2):113-118. doi: 10.1016/j.pulmoe.2020.01.004. Epub 2020 Feb 7.
6
Diagnostic accuracy of transbronchial lung cryobiopsy for interstitial lung disease diagnosis (COLDICE): a prospective, comparative study.经支气管肺冷冻活检术诊断间质性肺疾病的诊断准确性(COLDICE):一项前瞻性、对比研究。
Lancet Respir Med. 2020 Feb;8(2):171-181. doi: 10.1016/S2213-2600(19)30342-X. Epub 2019 Sep 29.
7
Bleeding risk of transbronchial cryobiopsy compared to transbronchial forceps biopsy in interstitial lung disease - a prospective, randomized, multicentre cross-over trial.经支气管冷冻活检与经支气管咬检在间质性肺疾病中的出血风险比较:一项前瞻性、随机、多中心交叉试验。
Respir Res. 2019 Jul 5;20(1):140. doi: 10.1186/s12931-019-1091-1.
8
Diagnosis of Idiopathic Pulmonary Fibrosis. An Official ATS/ERS/JRS/ALAT Clinical Practice Guideline.特发性肺纤维化诊断。美国胸科学会/欧洲呼吸学会/日本呼吸学会/拉丁美洲胸科学会临床实践指南。
Am J Respir Crit Care Med. 2018 Sep 1;198(5):e44-e68. doi: 10.1164/rccm.201807-1255ST.
9
Safety of performing transbronchial lung cryobiopsy on hospitalized patients with interstitial lung disease.经支气管肺冷冻活检术在住院间质性肺疾病患者中的安全性。
Respir Med. 2018 Jul;140:71-76. doi: 10.1016/j.rmed.2018.05.019. Epub 2018 May 25.
10
Transbronchial Lung Cryobiopsy in the Diagnosis of Interstitial Lung Disease: A Retrospective Single-center Experience.经支气管肺冷冻活检在间质性肺疾病诊断中的应用:一项回顾性单中心经验
J Bronchology Interv Pulmonol. 2019 Jan;26(1):15-21. doi: 10.1097/LBR.0000000000000514.