• 文献检索
  • 文档翻译
  • 深度研究
  • 学术资讯
  • Suppr Zotero 插件Zotero 插件
  • 邀请有礼
  • 套餐&价格
  • 历史记录
应用&插件
Suppr Zotero 插件Zotero 插件浏览器插件Mac 客户端Windows 客户端微信小程序
定价
高级版会员购买积分包购买API积分包
服务
文献检索文档翻译深度研究API 文档MCP 服务
关于我们
关于 Suppr公司介绍联系我们用户协议隐私条款
关注我们

Suppr 超能文献

核心技术专利:CN118964589B侵权必究
粤ICP备2023148730 号-1Suppr @ 2026

文献检索

告别复杂PubMed语法,用中文像聊天一样搜索,搜遍4000万医学文献。AI智能推荐,让科研检索更轻松。

立即免费搜索

文件翻译

保留排版,准确专业,支持PDF/Word/PPT等文件格式,支持 12+语言互译。

免费翻译文档

深度研究

AI帮你快速写综述,25分钟生成高质量综述,智能提取关键信息,辅助科研写作。

立即免费体验

PET/CT在单相原发性骶骨滑膜肉瘤中的应用价值:一例报告并文献复习

Application value of PET/CT in monophasic primary sacral synovial sarcoma: a case report and review of literature.

作者信息

Shao Mingyan, Xu Rong, Qi Wanling, Luo Zhehuang, Liao Fengxiang, Fan Sisi

机构信息

Department of Nuclear Medicine, Jiangxi Provincial People's Hospital, The First Affiliated Hospital of Nanchang Medical College, Nanchang, Jiangxi, China.

Department of Pathology, Jiangxi Provincial People's Hospital, The First Affiliated Hospital of Nanchang Medical College, Nanchang, Jiangxi, China.

出版信息

Front Oncol. 2024 Jan 9;13:1309123. doi: 10.3389/fonc.2023.1309123. eCollection 2023.

DOI:10.3389/fonc.2023.1309123
PMID:38264744
原文链接:https://pmc.ncbi.nlm.nih.gov/articles/PMC10803445/
Abstract

BACKGROUND

Synovial sarcoma is a malignant tumor of mesenchymal origin with a high degree of malignancy and easy metastasis. It mostly occurs in distal extremities or adjacent joints, and it is most common in deep knee joint. Primary sacral synovial sarcoma (PSSS) is extremely rare. The PET/CT imaging findings of a case of monophasic PSSS were reported. The clinical, imaging, and pathological data were summarized, and the literature was reviewed.

CASE DESCRIPTION

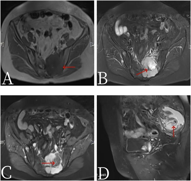
A 67-year-old female patient presented with sacrococcygeal pain without obvious causes on 16 September 2022, with occasional pain at night, as well as aggravated pain during hip flexion and long-distance walking, which could be slightly relieved with rest, without special treatment. For further treatment before 1 month to Jiangxi Provincial People's Hospital, after admission, laboratory tests were negative. Non-contrast CT scan showed expansive bone destruction in the S1-3 vertebrae with soft tissue density of about 58 mm × 46 mm × 52 mm. The boundary was clear, necrosis was visible within the vertebrae, and the boundary between the mass and the anterior sacral blood vessels and rectum was unclear. Non-contrast MRI scan showed mixed signals in lumbosacral masses, with equal signals in T1 and uneven and slightly higher signals in T2. Cystic degeneration and necrosis were visible, with multiple compartments in the lumbosacral masses. MRI enhancement showed uneven enhancement of lumbosacral mass with multiple compartments and no enhanced cystic lesion. The left sacral alar bone is destroyed, as shown by large flaky uneven strengthening. PET/CT showed that S1-3 vertebral body and left sacral alar bone were destroyed and soft tissue shadow formed, invading the sacral canal and the left foramina of S1-3. FDG metabolism was significantly increased, and malignant tumor was diagnosed by PET/CT. Pathological examination: The pathological diagnosis was monophasic PSSS. After systemic chemotherapy and local radiotherapy, no significant signs of recurrence and metastasis were found on CT so far. Follow-up treatment was continued.

CONCLUSION

The incidence of PSSS is very low, its clinical and imaging manifestations lack characteristics, and the final diagnosis still needs pathology. PET/CT imaging has a certain value in the diagnosis of PSSS and has great application value in the preoperative staging, postoperative efficacy evaluation, and follow-up.

摘要

背景

滑膜肉瘤是一种间叶源性恶性肿瘤,恶性程度高,易发生转移。多发生于四肢远端或邻近关节,以膝关节深部最为常见。原发性骶骨滑膜肉瘤(PSSS)极为罕见。本文报道1例单相型PSSS的PET/CT影像表现,总结其临床、影像及病理资料并复习相关文献。

病例描述

2022年9月16日,一名67岁女性患者无明显诱因出现骶尾部疼痛,夜间偶有疼痛,髋关节屈曲及长途行走时疼痛加重,休息后可稍缓解,未进行特殊治疗。1个月前到江西省人民医院进一步诊治,入院后实验室检查均为阴性。非增强CT扫描显示S1-3椎体骨质呈膨胀性破坏,软组织密度影大小约为58 mm×46 mm×52 mm,边界清晰,椎体内可见坏死,肿块与骶前血管及直肠分界不清。非增强MRI扫描显示腰骶部肿块呈混杂信号,T1WI呈等信号,T2WI呈不均匀稍高信号,可见囊变坏死,腰骶部肿块呈多房性。MRI增强扫描显示腰骶部多房性肿块强化不均匀,囊变区无强化。左侧骶骨翼骨质破坏,呈大片状不均匀强化。PET/CT显示S1-3椎体及左侧骶骨翼骨质破坏并形成软组织影,侵犯骶管及左侧S1-3椎间孔,FDG代谢明显增高,PET/CT诊断为恶性肿瘤。病理检查:病理诊断为单相型PSSS。经全身化疗及局部放疗后,目前CT检查未见明显复发及转移征象,继续随访治疗。

结论

PSSS发病率极低,其临床及影像表现缺乏特征性,最终诊断仍需依靠病理。PET/CT成像对PSSS的诊断具有一定价值,在术前分期、术后疗效评估及随访中具有重要应用价值。

https://cdn.ncbi.nlm.nih.gov/pmc/blobs/77f1/10803445/de730daa0024/fonc-13-1309123-g004.jpg
https://cdn.ncbi.nlm.nih.gov/pmc/blobs/77f1/10803445/ae5ec3ffce5a/fonc-13-1309123-g001.jpg
https://cdn.ncbi.nlm.nih.gov/pmc/blobs/77f1/10803445/769dad46fc89/fonc-13-1309123-g002.jpg
https://cdn.ncbi.nlm.nih.gov/pmc/blobs/77f1/10803445/38e4aba3db67/fonc-13-1309123-g003.jpg
https://cdn.ncbi.nlm.nih.gov/pmc/blobs/77f1/10803445/de730daa0024/fonc-13-1309123-g004.jpg
https://cdn.ncbi.nlm.nih.gov/pmc/blobs/77f1/10803445/ae5ec3ffce5a/fonc-13-1309123-g001.jpg
https://cdn.ncbi.nlm.nih.gov/pmc/blobs/77f1/10803445/769dad46fc89/fonc-13-1309123-g002.jpg
https://cdn.ncbi.nlm.nih.gov/pmc/blobs/77f1/10803445/38e4aba3db67/fonc-13-1309123-g003.jpg
https://cdn.ncbi.nlm.nih.gov/pmc/blobs/77f1/10803445/de730daa0024/fonc-13-1309123-g004.jpg

相似文献

1
Application value of PET/CT in monophasic primary sacral synovial sarcoma: a case report and review of literature.PET/CT在单相原发性骶骨滑膜肉瘤中的应用价值:一例报告并文献复习
Front Oncol. 2024 Jan 9;13:1309123. doi: 10.3389/fonc.2023.1309123. eCollection 2023.
2
Application value of F-FDG PET/CT in primary spleen angiosarcoma with liver metastasis: a case report and literature review.F-FDG PET/CT在原发性脾血管肉瘤伴肝转移中的应用价值:1例病例报告并文献复习
Front Oncol. 2024 May 24;14:1366560. doi: 10.3389/fonc.2024.1366560. eCollection 2024.
3
More advantages in detecting bone and soft tissue metastases from prostate cancer using F-PSMA PET/CT.使用F-PSMA PET/CT检测前列腺癌骨和软组织转移方面有更多优势。
Hell J Nucl Med. 2019 Jan-Apr;22(1):6-9. doi: 10.1967/s002449910952. Epub 2019 Mar 7.
4
Application of 18F-FDG PET/CT imaging in a primary angiomatoid fibrous histiocytoma of pulmonary bronchus: case report and literature review.18F-FDG PET/CT成像在肺支气管原发性血管瘤样纤维组织细胞瘤中的应用:病例报告及文献复习
Front Med (Lausanne). 2024 Jul 31;11:1415042. doi: 10.3389/fmed.2024.1415042. eCollection 2024.
5
[Clinical research of features of magnetic resonance imaging of high-voltage electrical burns in limbs at early stage].[肢体高压电烧伤早期磁共振成像特征的临床研究]
Zhonghua Shao Shang Za Zhi. 2017 Dec 20;33(12):750-756. doi: 10.3760/cma.j.issn.1009-2587.2017.12.006.
6
[CT and MRI manifestations of the axial area primary peripheral primitive neuroectodermal tumors].[轴区原发性外周原始神经外胚层肿瘤的CT与MRI表现]
Zhongguo Gu Shang. 2016 Mar;29(3):252-7.
7
Primary renal synovial sarcoma: A case report.原发性肾滑膜肉瘤:一例报告。
World J Clin Cases. 2019 Oct 6;7(19):3098-3103. doi: 10.12998/wjcc.v7.i19.3098.
8
Intracranial primary synovial sarcoma mimicking a spontaneous cerebral hematoma-a case report and review of the literature.颅内原发性滑膜肉瘤酷似自发性脑血肿:病例报告及文献复习。
Neurochirurgie. 2022 Jul;68(4):443-446. doi: 10.1016/j.neuchi.2021.08.003. Epub 2021 Aug 31.
9
Primary clear cell sarcoma of soft tissue in the posterior cervical spine invading the medulla oblongata: A case report.颈椎后部软组织原发性透明细胞肉瘤侵犯延髓:一例报告。
World J Clin Cases. 2022 Jul 26;10(21):7571-7576. doi: 10.12998/wjcc.v10.i21.7571.
10
Primary pulmonary artery sarcoma with intrapulmonary metastases based on PET/CT imaging: a case report and literature review.基于 PET/CT 影像学的原发性肺动脉肉瘤伴肺内转移:一例病例报告并文献复习。
Ann Palliat Med. 2021 Jun;10(6):7013-7018. doi: 10.21037/apm-20-630. Epub 2020 Nov 18.

本文引用的文献

1
Case report: skeletal muscle metastasis from follicular thyroid carcinoma presenting as synovial sarcoma.病例报告:以滑膜肉瘤形式表现的滤泡状甲状腺癌骨骼肌转移
Front Oncol. 2023 Feb 10;13:994729. doi: 10.3389/fonc.2023.994729. eCollection 2023.
2
18 F-FDG PET/CT Findings in a Patient With Primary Prostatic Synovial Sarcoma Combined With Adrenocortical Carcinoma.18 F-FDG PET/CT 检查在原发性前列腺滑膜肉瘤合并肾上腺皮质癌患者中的表现。
Clin Nucl Med. 2022 Aug 1;47(8):723-724. doi: 10.1097/RLU.0000000000004138. Epub 2022 Mar 30.
3
Synovial Sarcoma: A Clinical Review.
滑膜肉瘤:临床综述。
Curr Oncol. 2021 May 19;28(3):1909-1920. doi: 10.3390/curroncol28030177.
4
Synovial sarcoma presenting as an intra-articular mass in a pediatric patient: a case report.滑膜肉瘤表现为儿童关节内肿块:病例报告。
BMC Musculoskelet Disord. 2020 May 7;21(1):283. doi: 10.1186/s12891-020-03312-3.
5
Prognostic Factors for Long-Term Survival after Surgical Resection of Primary Cardiac Sarcoma.原发性心脏肉瘤手术切除后长期生存的预后因素
Thorac Cardiovasc Surg. 2019 Dec;67(8):665-671. doi: 10.1055/s-0039-1692409. Epub 2019 Jun 27.
6
Synovial sarcoma of cervicodorsal spine: A case report.颈胸段脊柱滑膜肉瘤:一例报告。
J Pak Med Assoc. 2018 Jul;68(7):1100-1104.
7
Surgical management and outcome of synovial sarcoma in the spine.脊柱滑膜肉瘤的外科治疗和预后。
World J Surg Oncol. 2018 Aug 27;16(1):175. doi: 10.1186/s12957-018-1471-x.
8
Synovial sarcoma mimicking a thoracic dumbell schwannoma- a case report.滑膜肉瘤酷似胸段哑铃形神经鞘瘤——病例报告
Br J Neurosurg. 2020 Feb;34(1):98-101. doi: 10.1080/02688697.2017.1418289. Epub 2018 Feb 15.
9
Abdominal monophasic synovial sarcoma is a morphological and immunohistochemical mimic of gastrointestinal stromal tumour.腹部单相滑膜肉瘤在形态学和免疫组织化学方面易被误诊为胃肠道间质瘤。
Histopathology. 2015 Jun;66(7):974-81. doi: 10.1111/his.12593. Epub 2015 Feb 4.
10
Biphasic synovial sarcoma in the cervical spine: Case report.颈椎双相滑膜肉瘤:病例报告
Chiropr Man Therap. 2011 May 23;19(1):12. doi: 10.1186/2045-709X-19-12.