Suppr超能文献

Klippel Trenaunay 综合征合并膝关节骨关节炎患者行全膝关节置换术:1 例报告并文献复习

Total knee arthroplasty in patients with Klippel Trenaunay syndrome and knee osteoarthritis: A case report and a literature review.

机构信息

Shandong Wendeng Orthopedic Hospital, Weihai, China.

Shanghai University of Traditional Chinese Medicine, Shanghai, China.

出版信息

Medicine (Baltimore). 2024 Jan 26;103(4):e37000. doi: 10.1097/MD.0000000000037000.

Abstract

INTRODUCTION

Klippel Trenaunay syndrome (KTS) is a rare congenital disorder characterized by wine staining, varicose veins, bone hypertrophy, and soft tissue hyperplasia. KTS usually occurs at birth, early infancy or childhood. The rarity of disease makes it difficult to calculate its incidence rate. However, few studies report the incidence rate of 2 to 5 cases per 100 thousand. Furthermore, evidence demonstrates that KTS is more prevalent among males compared to females.

CASE PRESENTATION

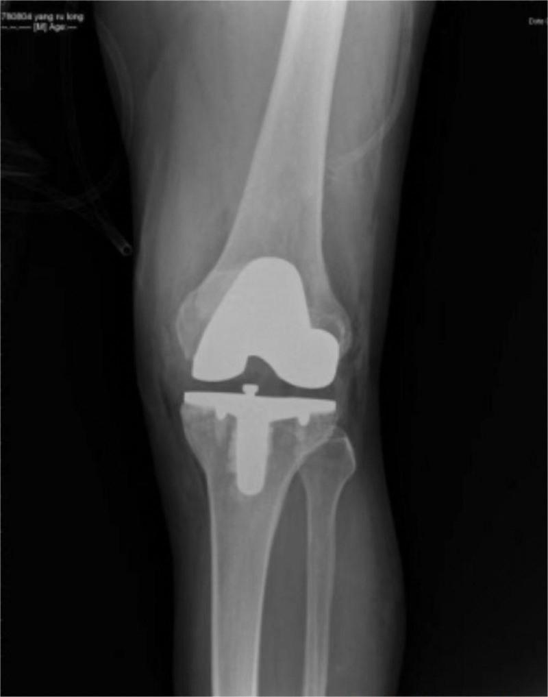
An elderly male aged 67, was admitted to the hospital for chronic pain in his left knee. An outpatient physical examination reveals a significantly thicker left lower limb accompanied by multiple varicose veins. The right lower limb was 2 cm short on the opposite side, and the right foot was stunted with high arch deformity. The entire body was covered in a red grape globus, which faded after pressing. He was diagnosed with KTS. We performed TKA for him after blood coagulation examination. The patient recovered well after the operation. He was followed up for 1 year, The patient is in good condition and satisfied with the operation.

CONCLUSION

For patients with KTS, total knee arthroplasty is an effective surgical procedure to treat arthritis. However, some risks must be considered, and appropriate surgical preparation must be undertaken.

摘要

简介

Klippel Trenaunay 综合征(KTS)是一种罕见的先天性疾病,其特征为葡萄酒色斑、静脉曲张、骨肥大和软组织增生。KTS 通常在出生时、婴儿早期或儿童期出现。由于该病罕见,难以计算其发病率。然而,有少数研究报告发病率为每 10 万人 2 至 5 例。此外,有证据表明 KTS 男性发病率高于女性。

病例介绍

一名 67 岁老年男性,因左膝慢性疼痛入院。门诊体检发现左下肢明显增粗,伴多发静脉曲张。对侧下肢短缩 2cm,右足发育不良,高弓畸形。全身布满红色葡萄样斑,按压后褪色。诊断为 KTS。行凝血检查后为他行 TKA。术后患者恢复良好。随访 1 年,患者情况良好,对手术满意。

结论

对于 KTS 患者,全膝关节置换术是治疗关节炎的有效手术方法。但必须考虑一些风险,并进行适当的手术准备。

https://cdn.ncbi.nlm.nih.gov/pmc/blobs/9e0f/10817098/24285355114a/medi-103-e37000-g001.jpg

文献AI研究员

20分钟写一篇综述,助力文献阅读效率提升50倍。

立即体验

用中文搜PubMed

大模型驱动的PubMed中文搜索引擎

马上搜索

文档翻译

学术文献翻译模型,支持多种主流文档格式。

立即体验