Suppr超能文献

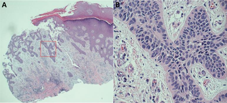
A Rare Case of Primary Cutaneous Basaloid Squamous Cell Carcinoma of the Finger.

作者信息

Kim Ho Sung, Choi Won Gyu, Lee Soo-Kyung, Lee Un Ha, Kim Myoung Shin

机构信息

Department of Dermatology, Inje University Sanggye Paik Hospital, Inje University College of Medicine, Seoul, South Korea.

出版信息

Acta Derm Venereol. 2024 Feb 5;104:adv24071. doi: 10.2340/actadv.v104.24071.

Abstract
摘要
https://cdn.ncbi.nlm.nih.gov/pmc/blobs/1e40/10854226/6845121c350c/ActaDV-104-24071-g001.jpg

文献AI研究员

20分钟写一篇综述,助力文献阅读效率提升50倍。

立即体验

用中文搜PubMed

大模型驱动的PubMed中文搜索引擎

马上搜索

文档翻译

学术文献翻译模型,支持多种主流文档格式。

立即体验