Suppr超能文献

探索颅底骨髓炎:综合病例报告与管理策略

Exploring Skull Base Osteomyelitis: Comprehensive Case Reports and Management Strategies.

作者信息

Rosdi Nur Farahin, Abdullah Asma, Kew Thean Yean, Maktar Juliana Fairuz, Lokman Farah Liana

机构信息

Otolaryngology - Head and Neck Surgery, Universiti Kebangsaan Malaysia Medical Centre, Kuala Lumpur, MYS.

Radiology, Universiti Kebangsaan Malaysia Medical Centre, Kuala Lumpur, MYS.

出版信息

Cureus. 2024 Jan 9;16(1):e51973. doi: 10.7759/cureus.51973. eCollection 2024 Jan.

Abstract

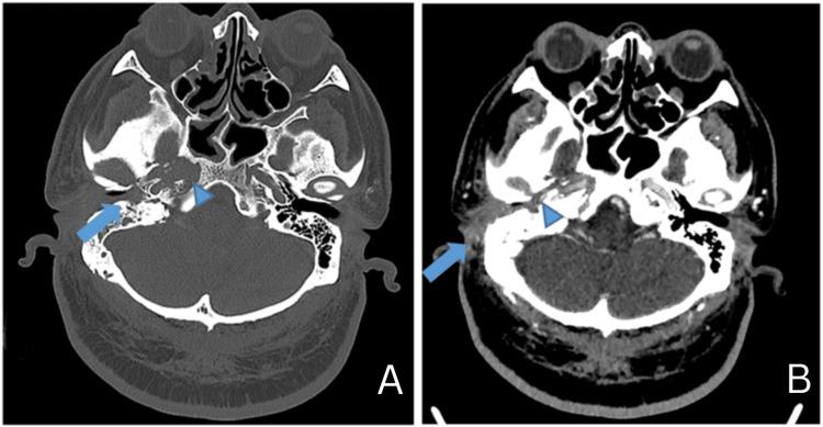
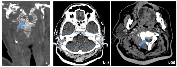
Skull base osteomyelitis is a not commonly encountered but potentially fatal consequence of untreated necrotizing otitis externa. Early recognition and appropriate treatment are crucial to prevent serious complications such as cranial nerve palsies, meningitis, and intracranial abscess formation. The case reports presented in this study provide a rich depiction of the clinical presentation, diagnostic challenges, and interventions employed. Early recognition and appropriate management of skull base osteomyelitis are crucial to prevent complications and improve patient outcomes.

摘要

颅底骨髓炎是未治疗的坏死性外耳道炎一种不常见但可能致命的后果。早期识别和适当治疗对于预防严重并发症如颅神经麻痹、脑膜炎和颅内脓肿形成至关重要。本研究中呈现的病例报告丰富地描述了临床表现、诊断挑战及所采用的干预措施。早期识别和适当处理颅底骨髓炎对于预防并发症和改善患者预后至关重要。

https://cdn.ncbi.nlm.nih.gov/pmc/blobs/efae/10853034/42b37ee9fbe4/cureus-0016-00000051973-i01.jpg

相似文献

1
Exploring Skull Base Osteomyelitis: Comprehensive Case Reports and Management Strategies.
Cureus. 2024 Jan 9;16(1):e51973. doi: 10.7759/cureus.51973. eCollection 2024 Jan.
2
Skull base osteomyelitis: diagnostic and therapeutic challenges in atypical presentation.
Otolaryngol Head Neck Surg. 2005 Jul;133(1):121-5. doi: 10.1016/j.otohns.2005.03.024.
3
[Osteomyelitis of the skull base due to otologic or sinus infections. 5 cases].
Ann Otolaryngol Chir Cervicofac. 2007 Mar;124(1):25-32. doi: 10.1016/j.aorl.2006.11.001.
5
Dysphagia due to necrotizing otitis externa.
Age Ageing. 2021 May 5;50(3):1004-1005. doi: 10.1093/ageing/afab034.
6
A Case of Transient, Isolated Cranial Nerve VI Palsy due to Skull Base Osteomyelitis.
Case Rep Infect Dis. 2014;2014:369867. doi: 10.1155/2014/369867. Epub 2014 Jun 15.
7
Internal carotid artery aneurysm in skull base osteomyelitis: does the pattern of cranial nerve involvement matter?
J Laryngol Otol. 2018 Oct;132(10):929-931. doi: 10.1017/S0022215118001202. Epub 2018 Jul 12.
8
The challenging diagnosis and follow-up of skull base osteomyelitis in clinical practice.
Eur Arch Otorhinolaryngol. 2021 Dec;278(12):4681-4688. doi: 10.1007/s00405-020-06576-6. Epub 2021 Jan 28.
9
An emergency medicine-focused review of malignant otitis externa.
Am J Emerg Med. 2020 Aug;38(8):1671-1678. doi: 10.1016/j.ajem.2020.04.083. Epub 2020 Apr 29.
10
Osteomyelitis of the skull base: the role of high resolution CT in diagnosis.
Clin Radiol. 1994 Jun;49(6):408-11. doi: 10.1016/s0009-9260(05)81827-6.

本文引用的文献

1
Skull Base Osteomyelitis: A Comprehensive Imaging Review.
AJNR Am J Neuroradiol. 2021 Mar;42(3):404-413. doi: 10.3174/ajnr.A7015. Epub 2021 Jan 21.
3
Extensive Skull Base Osteomyelitis Secondary to Malignant Otitis Externa.
J Int Adv Otol. 2019 Dec;15(3):463-465. doi: 10.5152/iao.2019.5406.
5
Skull base osteomyelitis: the effect of comorbid disease on hospitalization.
Laryngoscope. 2008 Nov;118(11):1917-24. doi: 10.1097/MLG.0b013e31817fae0d.
6
Skull base osteomyelitis: diagnostic and therapeutic challenges in atypical presentation.
Otolaryngol Head Neck Surg. 2005 Jul;133(1):121-5. doi: 10.1016/j.otohns.2005.03.024.

文献AI研究员

20分钟写一篇综述,助力文献阅读效率提升50倍。

立即体验

用中文搜PubMed

大模型驱动的PubMed中文搜索引擎

马上搜索

文档翻译

学术文献翻译模型,支持多种主流文档格式。

立即体验