Center for Molecular Medicine, The University of Georgia, Athens, GA, USA.
Department of Biochemistry and Molecular Biology, The University of Georgia, Athens, GA, USA.
J Cachexia Sarcopenia Muscle. 2024 Apr;15(2):631-645. doi: 10.1002/jcsm.13436. Epub 2024 Feb 9.
Chronic hypoxia and skeletal muscle atrophy commonly coexist in patients with COPD and CHF, yet the underlying physio-pathological mechanisms remain elusive. Muscle regeneration, driven by muscle stem cells (MuSCs), holds therapeutic potential for mitigating muscle atrophy. This study endeavours to investigate the influence of chronic hypoxia on muscle regeneration, unravel key molecular mechanisms, and explore potential therapeutic interventions.
Experimental mice were exposed to prolonged normobaric hypoxic air (15% pO, 1 atm, 2 weeks) to establish a chronic hypoxia model. The impact of chronic hypoxia on body composition, muscle mass, muscle strength, and the expression levels of hypoxia-inducible factors HIF-1α and HIF-2α in MuSC was examined. The influence of chronic hypoxia on muscle regeneration, MuSC proliferation, and the recovery of muscle mass and strength following cardiotoxin-induced injury were assessed. The muscle regeneration capacities under chronic hypoxia were compared between wildtype mice, MuSC-specific HIF-2α knockout mice, and mice treated with HIF-2α inhibitor PT2385, and angiotensin converting enzyme (ACE) inhibitor lisinopril. Transcriptomic analysis was performed to identify hypoxia- and HIF-2α-dependent molecular mechanisms. Statistical significance was determined using analysis of variance (ANOVA) and Mann-Whitney U tests.
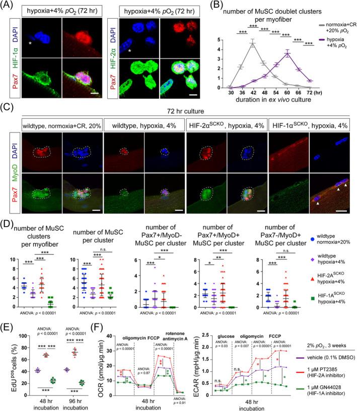
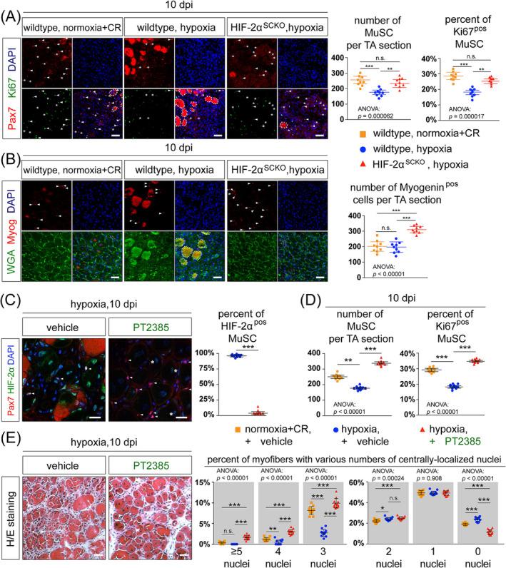
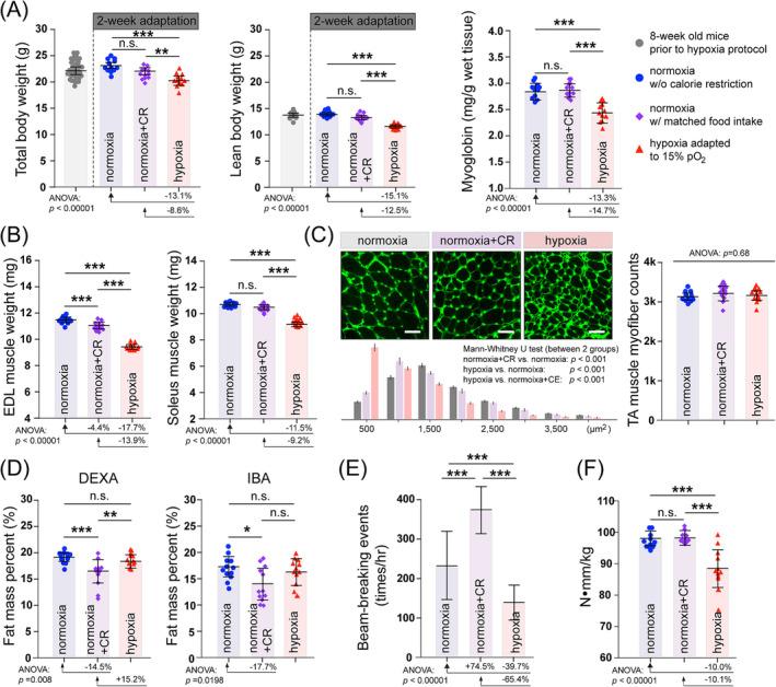
Chronic hypoxia led to limb muscle atrophy (EDL: 17.7%, P < 0.001; Soleus: 11.5% reduction in weight, P < 0.001) and weakness (10.0% reduction in peak-isometric torque, P < 0.001), along with impaired muscle regeneration characterized by diminished myofibre cross-sectional areas, increased fibrosis (P < 0.001), and incomplete strength recovery (92.3% of pre-injury levels, P < 0.05). HIF-2α stabilization in MuSC under chronic hypoxia hindered MuSC proliferation (26.1% reduction of MuSC at 10 dpi, P < 0.01). HIF-2α ablation in MuSC mitigated the adverse effects of chronic hypoxia on muscle regeneration and MuSC proliferation (30.9% increase in MuSC numbers at 10 dpi, P < 0.01), while HIF-1α ablation did not have the same effect. HIF-2α stabilization under chronic hypoxia led to elevated local ACE, a novel direct target of HIF-2α. Notably, pharmacological interventions with PT2385 or lisinopril enhanced muscle regeneration under chronic hypoxia (PT2385: 81.3% increase, P < 0.001; lisinopril: 34.6% increase in MuSC numbers at 10 dpi, P < 0.05), suggesting their therapeutic potential for alleviating chronic hypoxia-associated muscle atrophy.
Chronic hypoxia detrimentally affects skeletal muscle regeneration by stabilizing HIF-2α in MuSC and thereby diminishing MuSC proliferation. HIF-2α increases local ACE levels in skeletal muscle, contributing to hypoxia-induced regenerative deficits. Administration of HIF-2α or ACE inhibitors may prove beneficial to ameliorate chronic hypoxia-associated muscle atrophy and weakness by improving muscle regeneration under chronic hypoxia.
慢性缺氧和骨骼肌萎缩在 COPD 和 CHF 患者中通常同时存在,但潜在的生理病理机制仍不清楚。肌肉干细胞(MuSCs)驱动的肌肉再生具有减轻肌肉萎缩的治疗潜力。本研究旨在探讨慢性缺氧对肌肉再生的影响,揭示关键的分子机制,并探索潜在的治疗干预措施。
将实验小鼠暴露于持续的常压低氧空气中(15% pO,1 个大气压,2 周)以建立慢性缺氧模型。检测慢性缺氧对体成分、肌肉质量、肌肉力量以及 MuSCs 中缺氧诱导因子 HIF-1α和 HIF-2α表达水平的影响。评估慢性缺氧对肌肉再生、MuSCs 增殖以及心脏毒素诱导损伤后肌肉质量和力量恢复的影响。比较野生型小鼠、MuSC 特异性 HIF-2α 敲除小鼠和接受 HIF-2α 抑制剂 PT2385或血管紧张素转换酶(ACE)抑制剂赖诺普利治疗的小鼠在慢性缺氧下的肌肉再生能力。通过转录组分析鉴定缺氧和 HIF-2α 依赖性分子机制。使用方差分析(ANOVA)和曼-惠特尼 U 检验确定统计学意义。
慢性缺氧导致肢体肌肉萎缩(EDL:17.7%,P<0.001;比目鱼肌:重量减少 11.5%,P<0.001)和无力(最大等长扭矩降低 10.0%,P<0.001),同时肌肉再生受损,表现为肌纤维横截面积减小、纤维化增加(P<0.001)以及力量恢复不完全(损伤前水平的 92.3%,P<0.05)。慢性缺氧下 MuSCs 中 HIF-2α 的稳定抑制了 MuSCs 的增殖(10dpi 时 MuSCs 减少 26.1%,P<0.01)。MuSCs 中 HIF-2α 的缺失减轻了慢性缺氧对肌肉再生和 MuSCs 增殖的不良影响(10dpi 时 MuSCs 增加 30.9%,P<0.01),而 HIF-1α 的缺失则没有相同的效果。慢性缺氧下 HIF-2α 的稳定导致局部 ACE 升高,ACE 是 HIF-2α 的一个新的直接靶标。值得注意的是,使用 PT2385 或赖诺普利进行药理学干预可增强慢性缺氧下的肌肉再生(PT2385:增加 81.3%,P<0.001;赖诺普利:10dpi 时 MuSCs 数量增加 34.6%,P<0.05),表明它们具有缓解慢性缺氧相关肌肉萎缩的治疗潜力。
慢性缺氧通过稳定 MuSCs 中的 HIF-2α,从而减少 MuSCs 的增殖,对骨骼肌再生产生不利影响。HIF-2α 增加骨骼肌中的局部 ACE 水平,导致缺氧诱导的再生缺陷。HIF-2α 或 ACE 抑制剂的给药可能通过改善慢性缺氧下的肌肉再生来改善慢性缺氧相关的肌肉萎缩和无力。