Suppr超能文献

“竹节支撑”结构异体骨移植技术治疗肱骨假体周围骨折翻修术——全肩关节置换术后假体周围骨折萎缩性骨不连:1例报告

The Treatment of Periprosthetic Fracture Revision of the Humerus with "Bamboo Support" Structural Allograft Technique-Atrophic Non-Union of a Post-Operative Periprosthetic Fracture after Reverse Total Shoulder Arthroplasty: A Case Report.

作者信息

Chang Hsien-Hao, Lim Joon-Ryul, Yoon Tae-Hwan, Chun Yong-Min, Kim Hyoung-Sik

机构信息

Department of Orthopaedic Surgery, Yongin Severance Hospital, Yonsei University College of Medicine, Seoul 03722, Republic of Korea.

Department of Orthopaedic Surgery, Arthroscopy and Joint Research Institute, Severance Hospital, Yonsei University College of Medicine, Seoul 03722, Republic of Korea.

出版信息

J Clin Med. 2024 Jan 31;13(3):825. doi: 10.3390/jcm13030825.

Abstract

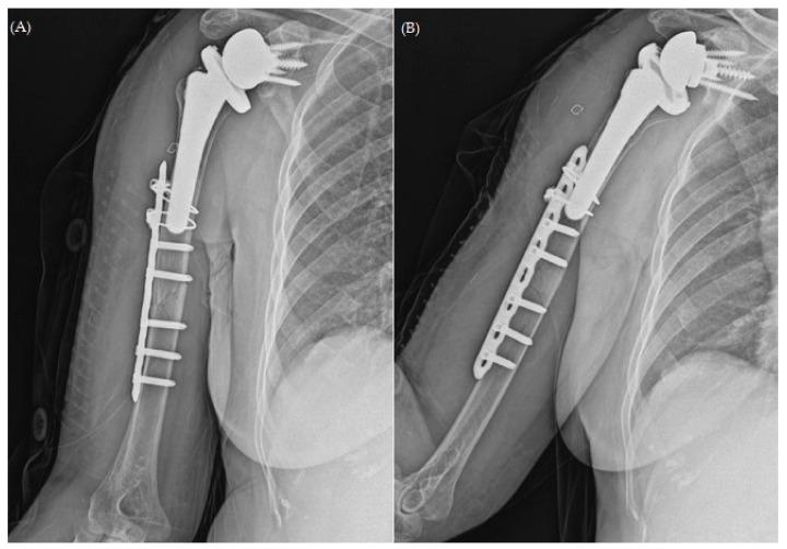
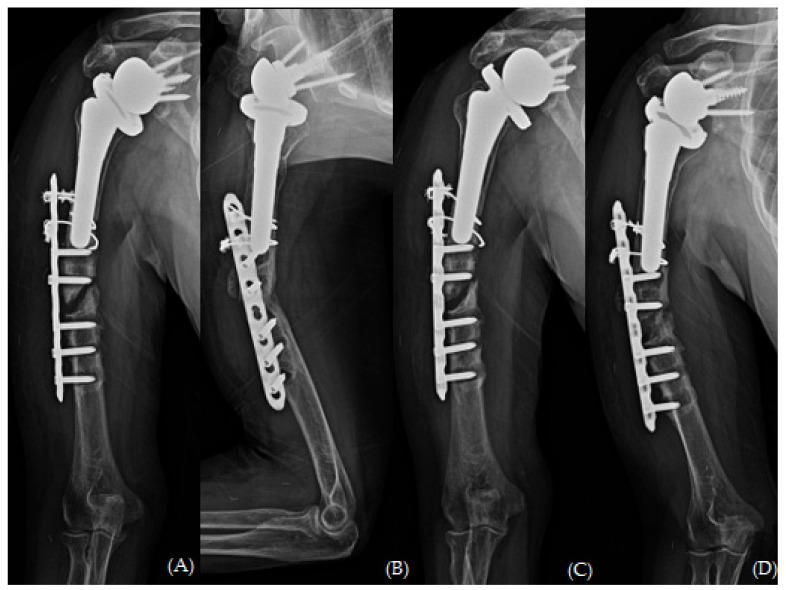
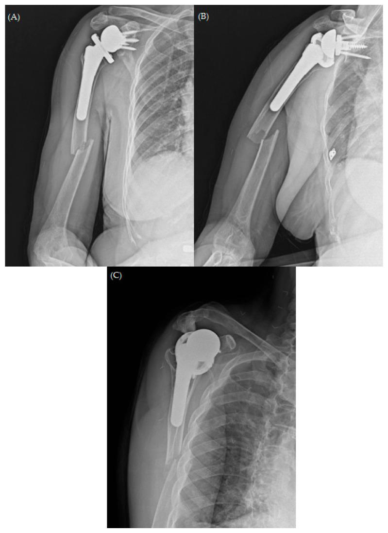
Periprosthetic fractures are a serious complication of joint replacement surgery. With the growing prevalence of reverse total shoulder arthroplasty (RTSA), the incidence of relatively uncommon periprosthetic humeral fractures has increased. Here, we present the unique case of a 74-year-old woman who developed atrophic non-union after plate osteosynthesis for a periprosthetic fracture associated with RTSA. Fixation failure was evident 3 months after the surgical intervention; the patient underwent a 3-month course of arm sling immobilization. However, bone resorption continued, and varus angulation of the fracture developed. In this case, surgical strategy involved the use of long proximal humerus internal locked system plate (DePuy Synthes, Paoli, PA, USA), augmented with autologous iliac bone graft and allogenic humerus structural bone graft with the "bamboo support technique", fixed with Cable System (DePuy Synthes, Paoli, PA, USA). No reports have addressed the management of failed periprosthetic fractures using allogeneic humeral strut bone grafts. This report aims to fill the gap by presenting a novel surgical technique for the management of periprosthetic fractures associated with RTSA in case of treatment failure.

摘要

假体周围骨折是关节置换手术的一种严重并发症。随着反式全肩关节置换术(RTSA)的日益普及,相对罕见的假体周围肱骨骨折的发生率有所增加。在此,我们报告一例独特病例,一名74岁女性在因与RTSA相关的假体周围骨折行钢板内固定术后发生萎缩性骨不连。手术干预3个月后固定失败;患者接受了为期3个月的手臂吊带固定治疗。然而,骨吸收仍在继续,骨折出现内翻成角。在该病例中,手术策略包括使用肱骨近端加长锁定系统钢板(美国宾夕法尼亚州波利市DePuy Synthes公司),采用“竹节支撑技术”辅以自体髂骨移植和同种异体肱骨结构性骨移植,并使用线缆系统(美国宾夕法尼亚州波利市DePuy Synthes公司)进行固定。尚无关于使用同种异体肱骨支撑骨移植治疗失败的假体周围骨折的报道。本报告旨在通过介绍一种治疗失败情况下处理与RTSA相关的假体周围骨折的新颖手术技术来填补这一空白。

https://cdn.ncbi.nlm.nih.gov/pmc/blobs/06c7/10856593/d89fceb43f9e/jcm-13-00825-g001.jpg

文献AI研究员

20分钟写一篇综述,助力文献阅读效率提升50倍。

立即体验

用中文搜PubMed

大模型驱动的PubMed中文搜索引擎

马上搜索

文档翻译

学术文献翻译模型,支持多种主流文档格式。

立即体验