Suppr超能文献

SIN3A 组蛋白去乙酰化酶的作用与 MUS81 相反,可促进停滞的叉稳定。

SIN3A histone deacetylase action counteracts MUS81 to promote stalled fork stability.

机构信息

Centro Andaluz de Biología Molecular y Medicina Regenerativa-CABIMER, Universidad de Sevilla-CSIC-Universidad Pablo de Olavide, 41092 Seville, Spain; Departamento de Genética, Facultad de Biología, Universidad de Sevilla, 41012 Seville, Spain.

Molecular Oncology Programme, Spanish National Cancer Research Centre (CNIO), 28029 Madrid, Spain.

出版信息

Cell Rep. 2024 Feb 27;43(2):113778. doi: 10.1016/j.celrep.2024.113778. Epub 2024 Feb 9.

Abstract

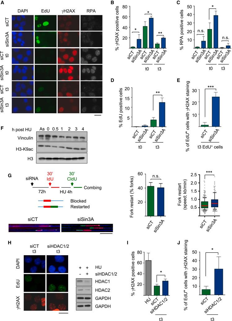
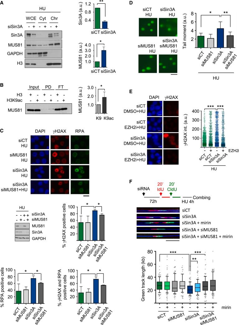
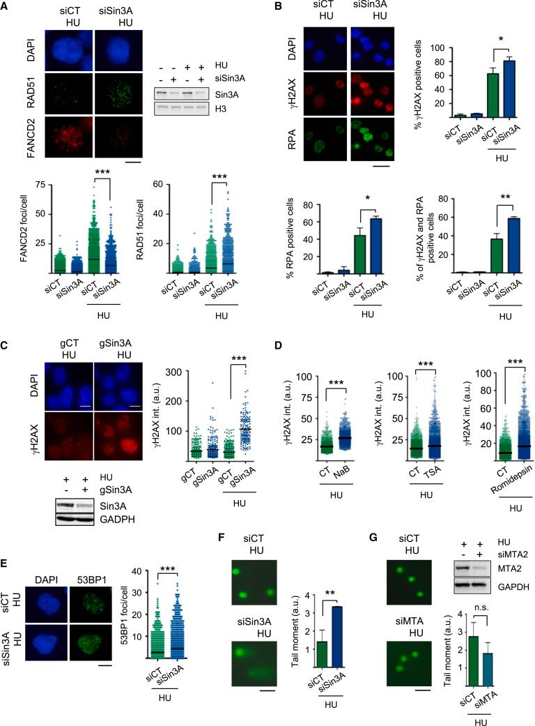
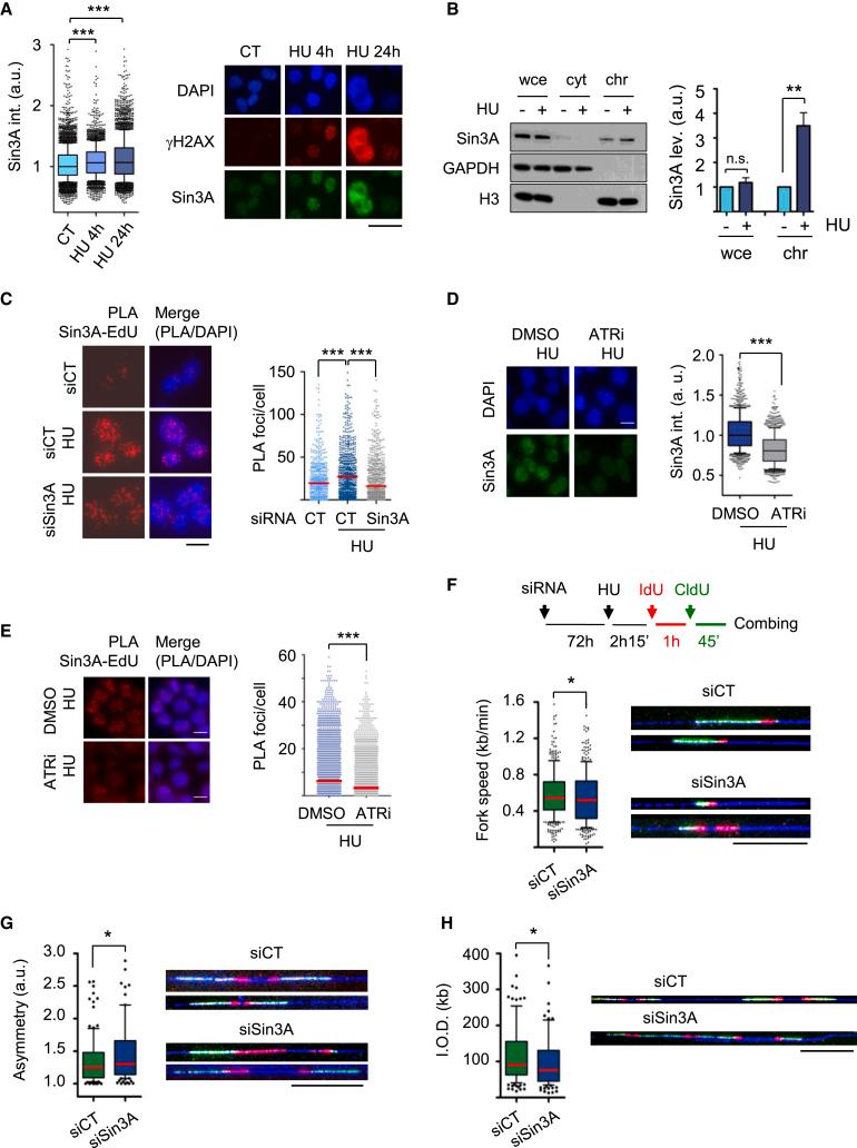
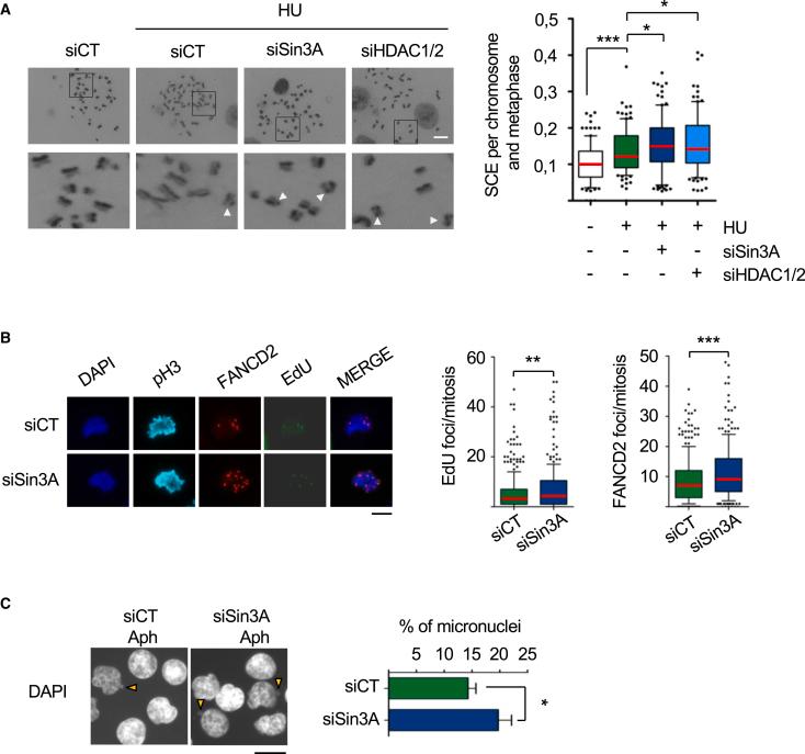
During genome duplication, replication forks (RFs) can be stalled by different obstacles or by depletion of replication factors or nucleotides. A limited number of histone post-translational modifications at stalled RFs are involved in RF protection and restart. Provided the recent observation that the SIN3A histone deacetylase complex reduces transcription-replication conflicts, we explore the role of the SIN3A complex in protecting RFs under stressed conditions. We observe that Sin3A protein is enriched at replicating DNA in the presence of hydroxyurea. In this situation, Sin3A-depleted cells show increased RF stalling, H3 acetylation, and DNA breaks at stalled RFs. Under Sin3A depletion, RF recovery is impaired, and DNA damage accumulates. Importantly, these effects are partially dependent on the MUS81 endonuclease, which promotes DNA breaks and MRE11-dependent DNA degradation of such breaks. We propose that chromatin deacetylation triggered by the SIN3A complex limits MUS81 cleavage of stalled RFs, promoting genome stability when DNA replication is challenged.

摘要

在基因组复制过程中,复制叉(RFs)可能会因不同的障碍或复制因子或核苷酸的耗尽而停滞。在停滞的 RFs 中,有限数量的组蛋白翻译后修饰参与 RF 的保护和重新启动。鉴于最近观察到 SIN3A 组蛋白去乙酰化酶复合物减少转录-复制冲突,我们探讨了 SIN3A 复合物在应激条件下保护 RFs 的作用。我们观察到,在存在羟基脲的情况下,Sin3A 蛋白在复制 DNA 处富集。在这种情况下,Sin3A 耗尽的细胞显示出更多的 RF 停滞、H3 乙酰化和停滞 RF 处的 DNA 断裂。在 Sin3A 耗尽的情况下,RF 恢复受损,DNA 损伤积累。重要的是,这些效应部分依赖于 MUS81 内切酶,它促进 DNA 断裂和 MRE11 依赖性 DNA 对这些断裂的降解。我们提出,由 SIN3A 复合物触发的染色质去乙酰化限制了 MUS81 对停滞 RFs 的切割,从而在 DNA 复制受到挑战时促进基因组稳定性。

https://cdn.ncbi.nlm.nih.gov/pmc/blobs/d66f/10915396/86e36555ee10/fx1.jpg

文献检索

告别复杂PubMed语法,用中文像聊天一样搜索,搜遍4000万医学文献。AI智能推荐,让科研检索更轻松。

立即免费搜索

文件翻译

保留排版,准确专业,支持PDF/Word/PPT等文件格式,支持 12+语言互译。

免费翻译文档

深度研究

AI帮你快速写综述,25分钟生成高质量综述,智能提取关键信息,辅助科研写作。

立即免费体验