Suppr超能文献

高效诱导牛胚胎干细胞和原始生殖细胞样细胞。

Efficient derivation of embryonic stem cells and primordial germ cell-like cells in cattle.

机构信息

Department of Stem Cell Biology and Medicine, Graduate School of Medical Sciences, Kyushu University, Fukuoka 812-8582, Japan.

Zen-noh Embryo Transfer Center, Fukuoka 810-0001, Japan.

出版信息

J Reprod Dev. 2024 Apr 4;70(2):82-95. doi: 10.1262/jrd.2023-087. Epub 2024 Feb 15.

Abstract

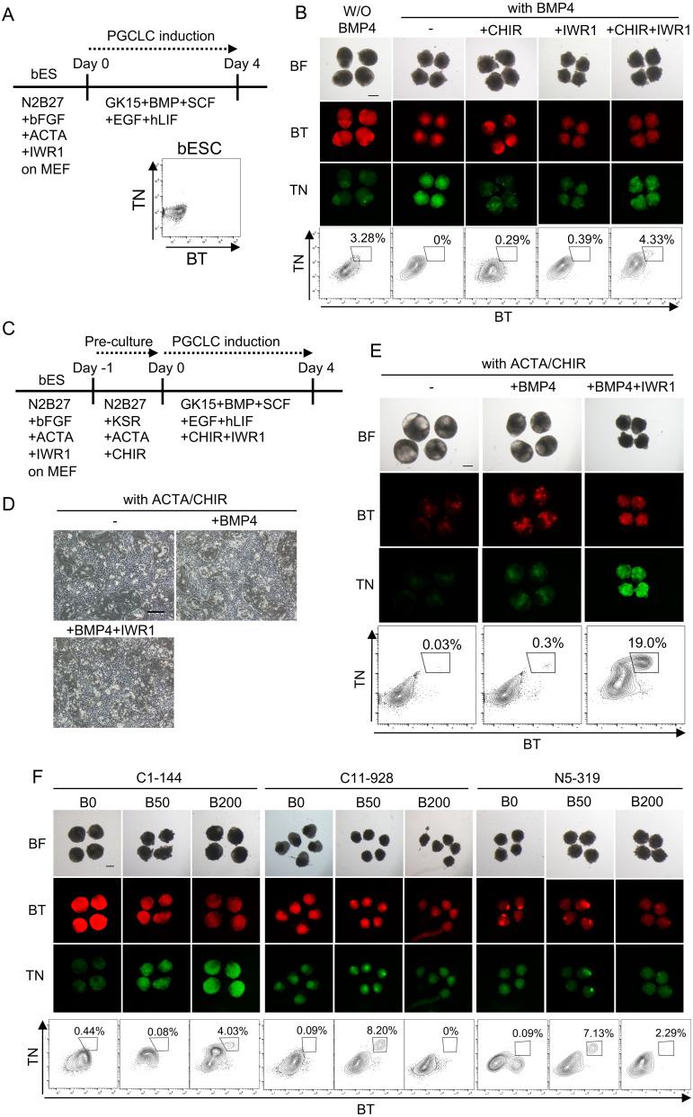
The induction of the germ cell lineage from pluripotent stem cells (in vitro gametogenesis) will help understand the mechanisms underlying germ cell differentiation and provide an alternative source of gametes for reproduction. This technology is especially important for cattle, which are among the most important livestock species for milk and meat production. Here, we developed a new method for robust induction of primordial germ cell-like cells (PGCLCs) from newly established bovine embryonic stem (bES) cells. First, we refined the pluripotent culture conditions for pre-implantation embryos and ES cells. Inhibition of RHO increased the number of epiblast cells in the pre-implantation embryos and dramatically improved the efficiency of ES cell establishment. We then determined suitable culture conditions for PGCLC differentiation using bES cells harboring BLIMP1-tdTomato and TFAP2C-mNeonGreen (BTTN) reporter constructs. After a 24-h culture with bone morphogenetic protein 4 (BMP4), followed by three-dimensional culture with BMP4 and a chemical agonist and WNT signaling chemical antagonist, bES cells became positive for the reporters. A set of primordial germ cells (PGC) marker genes, including PRDM1/BLIMP1, TFAP2C, SOX17, and NANOS3, were expressed in BTTN-positive cells. These bovine PGCLCs (bPGCLCs) were isolated as KIT/CD117-positive and CD44-negative cell populations. We anticipate that this method for the efficient establishment of bES cells and induction of PGCLCs will be useful for stem cell-based reproductive technologies in cattle.

摘要

多能干细胞(体外配子发生)中生殖细胞系的诱导将有助于理解生殖细胞分化的机制,并为生殖提供替代配子来源。这项技术对于牛等在奶和肉生产中最重要的家畜物种尤为重要。在这里,我们开发了一种从新建立的牛胚胎干细胞(bES)中有效诱导原始生殖细胞样细胞(PGCLC)的新方法。首先,我们改进了胚胎和 ES 细胞的多能培养条件。RHO 的抑制增加了胚胎的上胚层细胞数量,并显著提高了 ES 细胞建立的效率。然后,我们使用携带 BLIMP1-tdTomato 和 TFAP2C-mNeonGreen(BTTN)报告基因构建体的 bES 细胞确定了 PGCLC 分化的合适培养条件。在 BMP4 培养 24 小时后,用 BMP4 进行三维培养,并加入 WNT 信号化学拮抗剂和化学激动剂,bES 细胞对报告基因呈阳性。一组原始生殖细胞(PGC)标记基因,包括 PRDM1/BLIMP1、TFAP2C、SOX17 和 NANOS3,在 BTTN 阳性细胞中表达。这些牛 PGCLCs(bPGCLCs)被分离为 KIT/CD117 阳性和 CD44 阴性细胞群。我们预计,这种高效建立 bES 细胞和诱导 PGCLCs 的方法将有助于牛的基于干细胞的生殖技术。

https://cdn.ncbi.nlm.nih.gov/pmc/blobs/dd03/11017101/db96b008c95d/jrd-70-082-g001.jpg

文献检索

告别复杂PubMed语法,用中文像聊天一样搜索,搜遍4000万医学文献。AI智能推荐,让科研检索更轻松。

立即免费搜索

文件翻译

保留排版,准确专业,支持PDF/Word/PPT等文件格式,支持 12+语言互译。

免费翻译文档

深度研究

AI帮你快速写综述,25分钟生成高质量综述,智能提取关键信息,辅助科研写作。

立即免费体验