Suppr超能文献

一位 50 岁男性,多处骨骼病变,诊断为股骨磷酸盐间充质肿瘤。

A 50-Year-Old Man Presenting with Multiple Bone Lesions and a Diagnosis of Phosphaturic Mesenchymal Tumor of the Femur.

机构信息

Department of Pathology, University of California Irvine Medical Center, Orange, CA, USA.

Department of Laboratory Medicine, University of California Irvine Medical Center, Orange, CA, USA.

出版信息

Am J Case Rep. 2024 Feb 16;25:e942810. doi: 10.12659/AJCR.942810.

Abstract

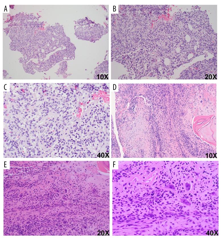
BACKGROUND Phosphaturic mesenchymal tumor (PMT) is an extremely rare mesenchymal neoplasm that is commonly seen in bone and soft tissue. It is associated with a paraneoplastic syndrome, oncogenic osteomalacia, due to tumor-induced urinary phosphate wasting. It is demonstrated to be predominantly mediated by fibroblast growth factor 23 (FGF23)/fibroblast growth factor receptor 1 (FGFR1) axis. Clinically, PMT usually presents as a solitary lesion in the bone. The diagnosis of PMT is challenging due to its non-specific clinical manifestation, radiologic findings, and morphological features. CASE REPORT We report the case of a 50-year-old man presenting with multiple lytic bone lesions and associated pathologic fracture of the right femur, clinically suspicious for multiple myeloma or other metastatic malignant process. Resection from the right femur showed a hypercellular lesion composed of oval-to-spindled cells infiltrating the native trabecular bone with admixed multinucleated giant cells. Immunohistochemical (IHC) staining and in situ hybridization (ISH) demonstrated the tumor cells were positive for SATB2, ERG, FGFR1, and FGF23 ISH. DNA and RNA next-generation sequencing showed marked increases in mRNA levels of FGF23 and FGFR1. The constellation of clinicoradiologic, histomorphologic, IHC, and molecular findings supported a diagnosis of primary benign PMT. CONCLUSIONS This case report discusses a patient with PMT presenting with multifocal lesions due to tumor-induced osteomalacia at initial presentation. We hope that this report will increase the awareness of clinician and pathologists of PMT as a differential diagnosis in patients presenting with multifocal lytic bone lesions. In turn, this will prevent misdiagnosis and overtreatment of a typically benign process.

摘要

背景

磷状黏液样肿瘤(PMT)是一种极其罕见的间叶性肿瘤,常见于骨和软组织。它与副肿瘤综合征、骨肿瘤性佝偻病有关,这是由于肿瘤诱导的尿磷丢失所致。现已证实,其主要由成纤维细胞生长因子 23(FGF23)/成纤维细胞生长因子受体 1(FGFR1)轴介导。临床上,PMT 通常表现为单一骨病变。由于其非特异性临床表现、影像学表现和形态学特征,PMT 的诊断具有挑战性。

病例报告

我们报告了一名 50 岁男性的病例,其表现为多处溶骨性骨病变,伴右侧股骨病理性骨折,临床上疑似多发性骨髓瘤或其他转移性恶性肿瘤。取自右侧股骨的标本显示,由椭圆形至梭形细胞组成的增生性病变浸润了固有小梁骨,伴混合性多核巨细胞。免疫组织化学(IHC)染色和原位杂交(ISH)显示肿瘤细胞 SATB2、ERG、FGFR1 和 FGF23 ISH 阳性。DNA 和 RNA 下一代测序显示 FGF23 和 FGFR1 的 mRNA 水平明显升高。临床、影像学、组织形态学、免疫组化和分子学发现的综合结果支持原发性良性 PMT 的诊断。

结论

本病例报告讨论了一名患者,其最初表现为多发性溶骨性骨病变,伴肿瘤诱导性佝偻病,导致多灶性病变。我们希望本报告将提高临床医生和病理学家对 PMT 的认识,将其作为多发性溶骨性骨病变患者的鉴别诊断。反过来,这将防止对典型良性过程的误诊和过度治疗。

https://cdn.ncbi.nlm.nih.gov/pmc/blobs/49e1/10877641/7ce60383cdec/amjcaserep-25-e942810-g001.jpg

文献AI研究员

20分钟写一篇综述,助力文献阅读效率提升50倍。

立即体验

用中文搜PubMed

大模型驱动的PubMed中文搜索引擎

马上搜索

文档翻译

学术文献翻译模型,支持多种主流文档格式。

立即体验