Suppr超能文献

各种腹部和盆腔器官黄色肉芽肿性炎症性疾病的影像学与临床发现:图文综述

Imaging and Clinical Findings of Xanthogranulomatous Inflammatory Disease of Various Abdominal and Pelvic Organs: A Pictorial Essay.

作者信息

Lee Se Jin, Yang Dal Mo, Kim Hyun Cheol, Kim Sang Won, Won Kyu Yeoun, Park So Hyun, Jeong Woo Kyoung

出版信息

J Korean Soc Radiol. 2024 Jan;85(1):109-123. doi: 10.3348/jksr.2023.0026. Epub 2023 Dec 9.

Abstract

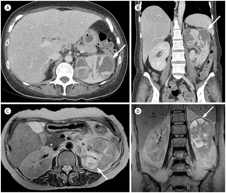
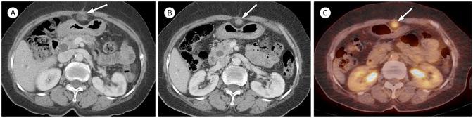
Xanthogranulomatous (XG) inflammatory disease is a rare benign disease involving various organs, including the gallbladder, bile duct, pancreas, spleen, stomach, small bowel, colon, appendix, kidney, adrenal gland, urachus, urinary bladder, retroperitoneum, and female genital organs. The imaging features of XG inflammatory disease are nonspecific, usually presenting as a heterogeneous solid or cystic mass. The disease may also extend to adjacent structures. Due to its aggressive nature, it is occasionally misdiagnosed as a malignant neoplasm. Herein, we review the radiological features and clinical manifestations of XG inflammatory diseases in various organs of the abdomen and pelvis.

摘要

黄色肉芽肿性(XG)炎性疾病是一种罕见的良性疾病,可累及包括胆囊、胆管、胰腺、脾脏、胃、小肠、结肠、阑尾、肾脏、肾上腺、脐尿管、膀胱、腹膜后间隙及女性生殖器官在内的多个器官。XG炎性疾病的影像学特征不具有特异性,通常表现为不均匀的实性或囊性肿块。该疾病也可能蔓延至相邻结构。因其具有侵袭性,偶尔会被误诊为恶性肿瘤。在此,我们回顾腹部和盆腔各器官XG炎性疾病的放射学特征及临床表现。

https://cdn.ncbi.nlm.nih.gov/pmc/blobs/7f18/10864145/4600501ff5e2/jksr-85-109-g001.jpg

文献AI研究员

20分钟写一篇综述,助力文献阅读效率提升50倍。

立即体验

用中文搜PubMed

大模型驱动的PubMed中文搜索引擎

马上搜索

文档翻译

学术文献翻译模型,支持多种主流文档格式。

立即体验