Suppr超能文献

耐甲氧西林金黄色葡萄球菌所致软组织感染后发生类坏疽性脓毒症综合征:病例报告及文献复习。

Lemierre-like syndrome after soft tissue infection due to methicillin-resistant Staphylococcus aureus: A case report and literature review.

机构信息

School of Medicine, Universidad Peruana de Ciencias Aplicadas, Lima, Peru.

Department of Medicine, Hamilton Medical Center, Dalton, GA 30720.

出版信息

Medicine (Baltimore). 2024 Feb 16;103(7):e37006. doi: 10.1097/MD.0000000000037006.

Abstract

RATIONALE

Lemierre-like syndrome (LLS) is characterized by bacteremia, septic thrombophlebitis of the internal jugular vein, and metastatic abscesses. In contrast to classic Lemierre syndrome, sources of infection are not related to oropharyngeal infections, as are frequent soft tissue infections. In recent years, Staphylococcus aureus has been identified as an emergent pathogen that causes this syndrome. The mortality rate of LLS caused by this pathogen is approximately 16%. Timely diagnosis, antibiotic treatment, and infection control are the cornerstones to treat LLS. Anticoagulant therapy as adjuvant treatment remains controversial.

PATIENT CONCERNS

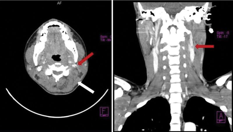
A 31-year-old woman from California, United States (US), was admitted to the emergency room with a history of 2 days of fever and severe throbbing pain in the left cervical region. Thorax and neck CT tomography revealed confluent cavities suggestive of septic embolism in the lungs and a filiform thrombus in the lumen of the left internal jugular vein, with moderate swelling of the soft and muscular tissues. Methicillin-resistant Staphylococcus aureus (MRSA) was isolated from the blood culture.

DIAGNOSIS

The thrombus in the internal jugular vein associated with cellulitis in the neck and multiple cavitary lesions in the lungs support the diagnosis of LLS caused by MRSA with septic embolization.

INTERVENTIONS

During treatment, the patient received vancomycin IV for 25 days and returned to the US with linezolid orally. In addition, assisted video-thoracoscopy and bilateral mini-thoracotomy with pleural decortication were performed for infectious source control, where 1700cc of purulent pleural fluid was drained.

OUTCOMES

The patient was discharged with optimal evolution.

LESSONS

LLS should be suspected in patients with skin and soft tissue infections who develop thrombosis or metastatic infections. MRSA infections should be considered in patients from areas where this pathogen is prevalent.

摘要

背景

勒米埃雷氏综合征(LLS)的特征为菌血症、颈内静脉化脓性血栓性静脉炎和转移性脓肿。与经典的勒米埃雷氏综合征不同,感染源与口咽感染无关,常伴有软组织感染。近年来,金黄色葡萄球菌已被确定为引起这种综合征的一种新兴病原体。由这种病原体引起的 LLS 的死亡率约为 16%。及时诊断、抗生素治疗和感染控制是治疗 LLS 的基石。抗凝治疗作为辅助治疗仍存在争议。

病例报告

一位来自美国加利福尼亚州的 31 岁女性,因发热和左侧颈部剧烈搏动性疼痛 2 天就诊于急诊室。胸部和颈部 CT 体层摄影术显示肺部有融合性空洞,提示有脓毒性栓子形成,左颈内静脉管腔内有丝状血栓,伴有软组织和肌肉组织中度肿胀。从血液培养中分离出耐甲氧西林金黄色葡萄球菌(MRSA)。

诊断

颈内静脉血栓形成伴颈部蜂窝织炎和肺部多个腔隙性病变支持 MRSA 引起的伴有脓毒性栓塞的 LLS 诊断。

干预措施

在治疗过程中,患者接受了 25 天的静脉万古霉素治疗,然后返回美国口服利奈唑胺。此外,还进行了辅助电视胸腔镜检查和双侧小开胸胸廓切开术以控制感染源,共引流了 1700cc 脓性胸腔积液。

结果

患者出院时病情最佳。

教训

对于发生血栓或转移性感染的皮肤和软组织感染患者,应怀疑 LLS。在该病原体流行的地区,应考虑 MRSA 感染。

https://cdn.ncbi.nlm.nih.gov/pmc/blobs/251c/10869080/350b2a379cca/medi-103-e37006-g001.jpg

文献AI研究员

20分钟写一篇综述,助力文献阅读效率提升50倍。

立即体验

用中文搜PubMed

大模型驱动的PubMed中文搜索引擎

马上搜索

文档翻译

学术文献翻译模型,支持多种主流文档格式。

立即体验