Suppr超能文献

RsfSR 双组份系统通过监测分枝杆菌呼吸电子传递链的状态来调节 SigF 功能。

The RsfSR two-component system regulates SigF function by monitoring the state of the respiratory electron transport chain in Mycobacterium smegmatis.

机构信息

Department of Integrated Biological Science, Pusan National University, Busan, Korea.

Department of Integrated Biological Science, Pusan National University, Busan, Korea; Microbiological Resource Research Institute, Pusan National University, Busan, Korea.

出版信息

J Biol Chem. 2024 Mar;300(3):105764. doi: 10.1016/j.jbc.2024.105764. Epub 2024 Feb 16.

Abstract

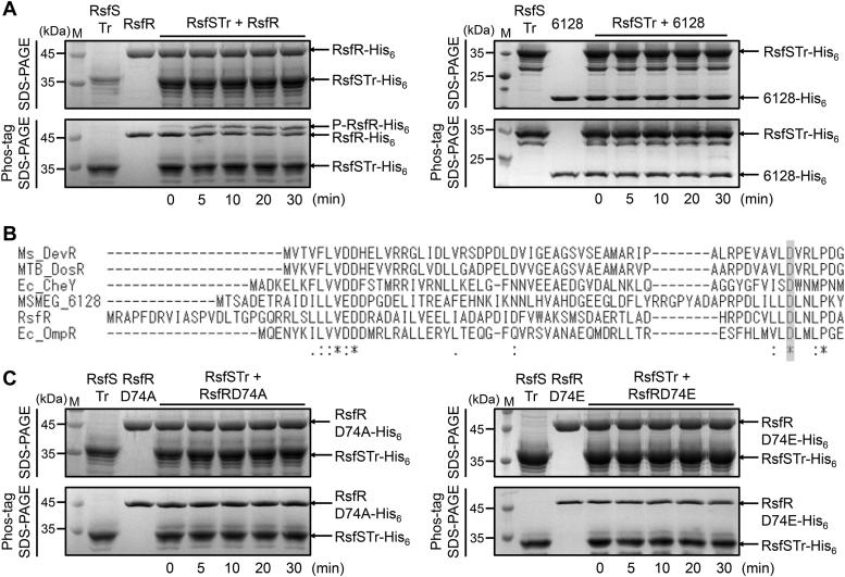
In Mycobacterium smegmatis, the transcriptional activity of the alternative sigma factor SigF is posttranslationally regulated by the partner switching system consisting of SigF, the anti-SigF RsbW1, and three anti-SigF antagonists (RsfA, RsfB, and RsbW3). We previously demonstrated that expression of the SigF regulon is strongly induced in the Δaa mutant of M. smegmatis lacking the aa cytochrome c oxidase, the major terminal oxidase in the respiratory electron transport chain. Here, we identified and characterized the RsfSR two-component system involved in regulating the phosphorylation state of the major anti-SigF antagonist RsfB. RsfS (MSMEG_6130) is a histidine kinase with the cyclase/histidine kinase-associated sensing extracellular 3 domain at its N terminus, and RsfR (MSMEG_6131) is a receiver domain-containing protein phosphatase 2C-type phosphatase that can dephosphorylate phosphorylated RsfB. We demonstrated that phosphorylation of RsfR on Asp74 by RsfS reduces the phosphatase activity of RsfR toward phosphorylated RsfB and that the cellular abundance of the active unphosphorylated RsfB is increased in the Δaa mutant relative to the WT strain. We also demonstrated that the RsfSR two-component system is required for induction of the SigF regulon under respiration-inhibitory conditions such as inactivation of the cytochrome bcc complex and aa cytochrome c oxidase, as well as hypoxia, electron donor-limiting, high ionic strength, and low pH conditions. Collectively, our results reveal a key regulatory element involved in regulating the SigF signaling system by monitoring the state of the respiratory electron transport chain.

摘要

在耻垢分枝杆菌中,替代σ因子 SigF 的转录活性通过由 SigF、反 SigF RsbW1 和三个反 SigF 拮抗剂(RsfA、RsfB 和 RsbW3)组成的伴侣交换系统进行翻译后调节。我们之前证明,在缺乏 aa 细胞色素 c 氧化酶(呼吸电子传递链中的主要末端氧化酶)的 M. smegmatis Δaa 突变体中,SigF 调控子的表达强烈诱导。在这里,我们鉴定并表征了参与调节主要反 SigF 拮抗剂 RsfB 磷酸化状态的 RsfSR 双组分系统。RsfS(MSMEG_6130)是一种组氨酸激酶,其 N 端具有环化酶/组氨酸激酶相关感应细胞外 3 结构域,而 RsfR(MSMEG_6131)是一种含受体结构域的蛋白磷酸酶 2C 型磷酸酶,可使磷酸化的 RsfB 去磷酸化。我们证明,RsfS 对 RsfR 上 Asp74 的磷酸化降低了 RsfR 对磷酸化的 RsfB 的磷酸酶活性,并且在 Δaa 突变体中,活性未磷酸化的 RsfB 的细胞丰度相对于 WT 菌株增加。我们还证明,RsfSR 双组分系统是在呼吸抑制条件下诱导 SigF 调控子所必需的,例如细胞色素 bcc 复合物和 aa 细胞色素 c 氧化酶失活,以及缺氧、电子供体限制、高离子强度和低 pH 条件。总的来说,我们的结果揭示了一个关键的调节元件,通过监测呼吸电子传递链的状态来调节 SigF 信号系统。

https://cdn.ncbi.nlm.nih.gov/pmc/blobs/8c55/10950880/1bbda50d2d37/gr1.jpg

文献AI研究员

20分钟写一篇综述,助力文献阅读效率提升50倍。

立即体验

用中文搜PubMed

大模型驱动的PubMed中文搜索引擎

马上搜索

文档翻译

学术文献翻译模型,支持多种主流文档格式。

立即体验