Suppr超能文献

MRI 在儿童轻度移位外侧髁突骨折中的作用。

MRI contribution in minimally displaced lateral humerus condylar fractures in children.

机构信息

Pediatric orthopedic department, Kassab institute, La manouba, Faculty of Medicine of Tunis, University of Tunis El Manar, Tunisia.

Radiology department, Kassab institute, La manouba, Faculty of Medicine of Tunis, University of Tunis El Manar, Tunisia.

出版信息

Tunis Med. 2023 May 5;101(5):482-485.

Abstract

INTRODUCTION

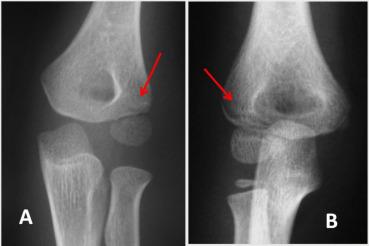
Diagnosis and treatment of displaced humerus lateral condylar fracture is well codified with open reduction and pinning. For non-displaced or minimally displaced lateral condylar (NMDLC) fractures, diagnosis can be challenging because of cartilaginous structures none visualized on radiographs.

AIM

To determine the usefulness of MRI in evaluating articular extension of NMDLC fracture.

METHODS

We reviewed consecutive NMDLC fractures during 6 years including children younger than 15 years old with displacement lesser than 2 mm (Rigault type I) at initial radiographs divided in two groups: only line fracture was viewed (R1a), displacement gap lesser than 2 mm (R1b). After elbow cast immobilization, children have got MRI. Surgery was performed in complete articular fractures. All children were seen after 1 mouth then at 6 month for elbow evaluation.

RESULTS

Thirty-one fracture, including twenty-two (70.97%) boys. Average age was 6.24 years (3 to 11). Fifteen fractures was classified R1a and sixteen R1b .According to MRI, seven fractures (22,6%) were metaphyseal Gp1, eleven (35,5%) were metaphyso-epiphyseal with an intact hinge cartilage Gp2 ,nine (29%) were complete Salter IV Gp3 and MRI reveals a supracondylar fractures in four cases. Fracture was metaphyseal more often in R1a group (40.0%) compared to R1b (6.3%). Gp3 group was significantly higher in R1b (50.0%) compared to R1a group (6.7%). For the sixteen R1b cases, eight presented articular cartilage involvement on MRI (Gp3) with concordant operative findings.

CONCLUSION

MRI is effective in assessing epiphyseal extension fracture providing accurate information for appropriate treatment.

摘要

介绍

肱骨外髁髁间骨折的诊断和治疗已经很好地规范为切开复位和钢针固定。对于无移位或轻度移位的外侧髁(NMDLC)骨折,由于X 线片上无法看到软骨结构,因此诊断具有挑战性。

目的

确定 MRI 在评估 NMDLC 骨折关节面延伸中的作用。

方法

我们回顾了 6 年来连续的 NMDLC 骨折,包括初始 X 线片上小于 2 毫米(Rigault Ⅰ型)的小于 15 岁的儿童,分为两组:仅观察线样骨折(R1a),间隙小于 2 毫米(R1b)。肘部石膏固定后,儿童进行 MRI 检查。对于完全关节骨折进行手术。所有儿童在 1 个月后和 6 个月后进行肘部评估。

结果

31 例骨折,其中 22 例(70.97%)为男孩。平均年龄为 6.24 岁(3 至 11 岁)。15 例骨折分类为 R1a,16 例为 R1b。根据 MRI,7 例(22.6%)为骺板 Gp1,11 例(35.5%)为骺-干骺端伴完整铰链软骨 Gp2,9 例(29%)为完全的 Salter IV Gp3,MRI 显示 4 例有髁上骨折。在 R1a 组中,骺板骨折更为常见(40.0%),而在 R1b 组中(6.3%)则较少见。在 R1b 组中,Gp3 组明显更高(50.0%),而在 R1a 组中(6.7%)则较低。对于 16 例 R1b 病例,有 8 例 MRI 显示存在关节软骨受累(Gp3),与手术结果相符。

结论

MRI 可有效评估骺板延伸骨折,为提供准确的治疗信息。

https://cdn.ncbi.nlm.nih.gov/pmc/blobs/2364/11361302/e021a7533df5/capture1.jpg

文献AI研究员

20分钟写一篇综述,助力文献阅读效率提升50倍。

立即体验

用中文搜PubMed

大模型驱动的PubMed中文搜索引擎

马上搜索

文档翻译

学术文献翻译模型,支持多种主流文档格式。

立即体验