Suppr超能文献

考芬·西里尔氏综合征的口腔和牙齿异常:一例新病例报告。

Oral and dental abnormalities in Coffin Siris syndrome : A new case report.

机构信息

Dentofacial Orthopedics Department, Faculty of Dental Medicine of Rabat, Mohammed V University in Rabat, Morocco.

Pediatric Dentistry Department, Faculty of Dental Medicine of Rabat, Mohammed V University in Rabat, Morocco.

出版信息

Tunis Med. 2023 Apr 5;101(4):456-459.

Abstract

INTRODUCTION

Coffin-Siris Syndrome (CSS) is a rare genetic disorder of unknown etiology. It combines digital-ungual abnormalities, facial dysmorphism, developmental and intellectual delay, and other organ-system abnormalities. Oral and dental anomalies are rarer.

CASE REPORT

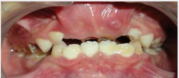
8-year-old boy with clinical diagnosis of CSS presented facial dysmorphism, sparse hair, a flat and wide nose, absence of nails on 3rd and 5th fingers of the right hand and 3rd and 4th fingers of the left hand, malformation of the feet, toes with nail hypoplasia. Oral and dental anomalies included : bilateral complete cleft lip and palate, delayed eruption of permanent teeth, presence of supernumerary tooth and taurodontism in the first permanent molars.

CONCLUSION

Early diagnosis of oral problems and regular follow-up in dentist are necessary to promote good oral health and improve the patient's quality of life.

摘要

简介

卡芬综合征(CSS)是一种病因不明的罕见遗传性疾病。它结合了数字-指甲异常、面部畸形、发育和智力迟缓以及其他器官系统异常。口腔和牙齿异常则更为罕见。

病例报告

一名 8 岁男孩被临床诊断为 CSS,表现为面部畸形、稀疏的头发、扁平而宽的鼻子、右手第三和第五指以及左手第三和第四指无指甲、足部畸形、脚趾指甲发育不全。口腔和牙齿异常包括:双侧完全唇腭裂、恒牙萌出延迟、存在多生牙和第一恒磨牙尖牙畸形。

结论

早期诊断口腔问题并定期在牙医处随访对于促进良好的口腔健康和提高患者的生活质量是必要的。

https://cdn.ncbi.nlm.nih.gov/pmc/blobs/efc3/11217953/fca1cf54a01d/capture1.jpg

文献AI研究员

20分钟写一篇综述,助力文献阅读效率提升50倍。

立即体验

用中文搜PubMed

大模型驱动的PubMed中文搜索引擎

马上搜索

文档翻译

学术文献翻译模型,支持多种主流文档格式。

立即体验