Suppr超能文献

使用板状骨替代物进行鼻窦底提升后 5 年的骨量变化的定量分析:一项前瞻性观察研究。

Quantitative analysis of change in bone volume 5 years after sinus floor elevation using plate-shaped bone substitutes: a prospective observational study.

机构信息

Department of Prosthodontics and Oral Implantology School of Dentistry, Iwate Medical University, 19-1 Uchimaru, Morioka, 020-8505, Japan.

Department of Fixed Prosthodontics and Oral Implantology, Aichi Gakuin University, Nagoya, Japan.

出版信息

Int J Implant Dent. 2024 Feb 19;10(1):9. doi: 10.1186/s40729-023-00501-2.

Abstract

PURPOSE

Tricalcium phosphate (TCP) has osteoconductive ability and reportedly offers similar clinical results as autogenous bone grafts in dental implant treatment. However, few reports quantify temporal changes in augmented bone volume after sinus augmentation. We aimed to establish a three-dimensional (3D) quantification method to assess bone volume after sinus augmentation and to evaluate biocompatibility of the TCP plate.

METHODS

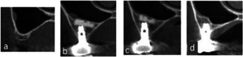
Maxillary sinus floor augmentation was performed employing the lateral window technique, and plate-shaped β-TCP (TCP plate) was used instead of granular bone grafting materials. After lifting the sinus membrane, the TCP plate was inserted and supported by dental implants or micro-screws. The changes in bone volumes in the maxillary sinus before and after surgery were recorded using cone-beam computed tomography, saved as Digital Imaging and Communications in Medicine-formatted files, and transformed to Standard Triangle Language (STL)-formatted files. Pre- and post-operative STL data of bone volume were superimposed, and the augmented bone volume was calculated. Moreover, changes in bone volumes, TCP plate resorption rates, and bone heights surrounding the implants were three dimensionally quantified.

RESULTS

Fifteen implants in nine subjects were included in this study. TCP plates secured long-term space making, with results similar to those of granular bone substitutes. Newly formed bone was identified around the implant without bone graft material. TCP plate was absorbed and gradually disappeared.

CONCLUSIONS

A novel 3D quantification method was established to evaluate changes in bone volume. Clinical application of TCP plate in sinus augmentation could be a better procedure in terms of prognosis and safety.

摘要

目的

磷酸三钙(TCP)具有骨诱导能力,据报道,在牙种植体治疗中,其临床效果与自体骨移植物相似。然而,很少有报道定量分析窦腔增高后增加的骨量的时间变化。我们旨在建立一种三维(3D)定量方法来评估窦腔增高后的骨量,并评估 TCP 板的生物相容性。

方法

采用外侧窗技术进行上颌窦底增高术,并用板状β-TCP(TCP 板)代替颗粒状骨移植材料。提起窦膜后,将 TCP 板插入并用牙种植体或微螺钉支撑。使用锥形束计算机断层扫描(CBCT)记录手术前后上颌窦内骨量的变化,将其保存为数字成像和通信在医学格式的文件,并转换为标准三角形语言(STL)格式的文件。对术前和术后的 STL 数据进行骨量叠加,计算增加的骨量。此外,还对骨量、TCP 板吸收率和种植体周围骨高度的变化进行了三维定量分析。

结果

本研究共纳入 9 名受试者的 15 个种植体。TCP 板可长期保持空间,结果与颗粒状骨替代物相似。在没有骨移植材料的情况下,在植入物周围发现了新形成的骨。TCP 板被吸收并逐渐消失。

结论

建立了一种新的 3D 定量方法来评估骨量的变化。在窦腔增高术中应用 TCP 板在预后和安全性方面可能是一种更好的方法。

https://cdn.ncbi.nlm.nih.gov/pmc/blobs/243e/10876503/90dfd58a8709/40729_2023_501_Fig1_HTML.jpg

文献AI研究员

20分钟写一篇综述,助力文献阅读效率提升50倍。

立即体验

用中文搜PubMed

大模型驱动的PubMed中文搜索引擎

马上搜索

文档翻译

学术文献翻译模型,支持多种主流文档格式。

立即体验