Suppr超能文献

[D-丙氨酸2,D-亮氨酸5]-脑啡肽(DADLE)通过抑制Wnt/β-连环蛋白通路对心肌缺血再灌注损伤起到保护作用。

[D-Ala2, D-Leu5]-enkephalin (DADLE) provides protection against myocardial ischemia reperfusion injury by inhibiting Wnt/β-Catenin pathway.

作者信息

Liu Linwen, Sun Yawu, Wang Yang, Xin Jun, Chen Wei

机构信息

Department of Cardiology, Shanghai Fourth People's Hospital Affiliated to Tongji University, 1279 Sanmen Road, Hongkou District, Shanghai, 200434, China.

Department of Pathology, Shanghai Fourth People's Hospital Affiliated to Tongji University, Shanghai, 200434, China.

出版信息

BMC Cardiovasc Disord. 2024 Feb 19;24(1):115. doi: 10.1186/s12872-024-03790-6.

Abstract

BACKGROUND

Acute myocardial infarction is one of the leading causes of death worldwide. Myocardial ischemia reperfusion (MI/R) injury occurs immediately after the coronary reperfusion and aggravates myocardial ischemia. Whether the Wnt/β-Catenin pathway is involved in the protection against MI/R injury by DADLE has not been evaluated. Therefore, the present study aimed to investigate the protective effect of DADLE against MI/R injury in a mouse model and to further explore the association between DADLE and the Wnt/β-Catenin pathway.

METHODS

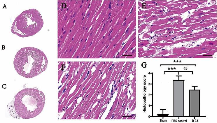
Forty-four mice were randomly allocated to four groups: Group Control (PBS Control), Group D 0.25 (DADLE 0.25 mg/kg), Group D 0.5 (DADLE 0.5 mg/kg), and Group Sham. In the control and DADLE groups, myocardial ischemia injury was induced by occluding the left anterior descending coronary artery (LAD) for 45 min. PBS and DADLE were administrated, respectively, 5 min before reperfusion. The sham group did not go through LAD occlusion. 24 h after reperfusion, functions of the left ventricle were assessed through echocardiography. Myocardial injury was evaluated using TTC double-staining and HE staining. Levels of myocardial enzymes, including CK-MB and LDH, in the serum were determined using ELISA kits. Expression of caspase-3, TCF4, Wnt3a, and β-Catenin was evaluated using the Western blot assay.

RESULTS

The infarct area was significantly smaller in the DADLE groups than in the control group (P < 0.01). The histopathology score and serum levels of myocardial enzymes were significantly lower in the DADLE groups than in the control group (P < 0.01). DADLE significantly improved functions of the left ventricle (P < 0.01), decreased expression of caspase-3 (P < 0.01), TCF4 (P < 0.01), Wnt3a (P < 0.05), and β-Catenin (P < 0.01) compared with PBS.

CONCLUSIONS

The present study showed that DADLE protected the myocardium from MI/R through suppressing the expression of caspase-3, TCF4, Wnt3a, and β-Catenin and consequently improving functions of the left ventricle in I/R model mice. The TCF4/Wnt/β-Catenin signaling pathway might become a therapeutic target for MI/R treatment.

摘要

背景

急性心肌梗死是全球主要的死亡原因之一。心肌缺血再灌注(MI/R)损伤在冠状动脉再灌注后立即发生,并加重心肌缺血。DADLE对MI/R损伤的保护作用是否涉及Wnt/β-连环蛋白途径尚未得到评估。因此,本研究旨在探讨DADLE在小鼠模型中对MI/R损伤的保护作用,并进一步探讨DADLE与Wnt/β-连环蛋白途径之间的关联。

方法

44只小鼠随机分为四组:对照组(PBS对照)、D 0.25组(DADLE 0.25mg/kg)、D 0.5组(DADLE 0.5mg/kg)和假手术组。在对照组和DADLE组中,通过结扎左冠状动脉前降支(LAD)45分钟诱导心肌缺血损伤。在再灌注前5分钟分别给予PBS和DADLE。假手术组未进行LAD结扎。再灌注24小时后,通过超声心动图评估左心室功能。使用TTC双重染色和HE染色评估心肌损伤。使用ELISA试剂盒测定血清中心肌酶(包括CK-MB和LDH)的水平。使用蛋白质免疫印迹法评估caspase-3、TCF4、Wnt3a和β-连环蛋白的表达。

结果

DADLE组的梗死面积明显小于对照组(P<0.01)。DADLE组的组织病理学评分和血清心肌酶水平明显低于对照组(P<0.01)。与PBS相比,DADLE显著改善了左心室功能(P<0.01),降低了caspase-3(P<0.01)、TCF4(P<0.01)、Wnt3a(P<0.05)和β-连环蛋白(P<0.01)的表达。

结论

本研究表明,DADLE通过抑制caspase-3、TCF4、Wnt3a和β-连环蛋白的表达,从而改善I/R模型小鼠的左心室功能,保护心肌免受MI/R损伤。TCF4/Wnt/β-连环蛋白信号通路可能成为MI/R治疗的靶点。

https://cdn.ncbi.nlm.nih.gov/pmc/blobs/7050/10877899/045b92634cfb/12872_2024_3790_Fig1_HTML.jpg

文献AI研究员

20分钟写一篇综述,助力文献阅读效率提升50倍。

立即体验

用中文搜PubMed

大模型驱动的PubMed中文搜索引擎

马上搜索

文档翻译

学术文献翻译模型,支持多种主流文档格式。

立即体验