Hundarova Kristina, Geraldes Fernanda, Águas Fernanda, Rodrigues Ângela
Gynecology Department, Coimbra Hospital and University Center, Coimbra, Portugal.
Am J Case Rep. 2024 Feb 20;25:e942748. doi: 10.12659/AJCR.942748.
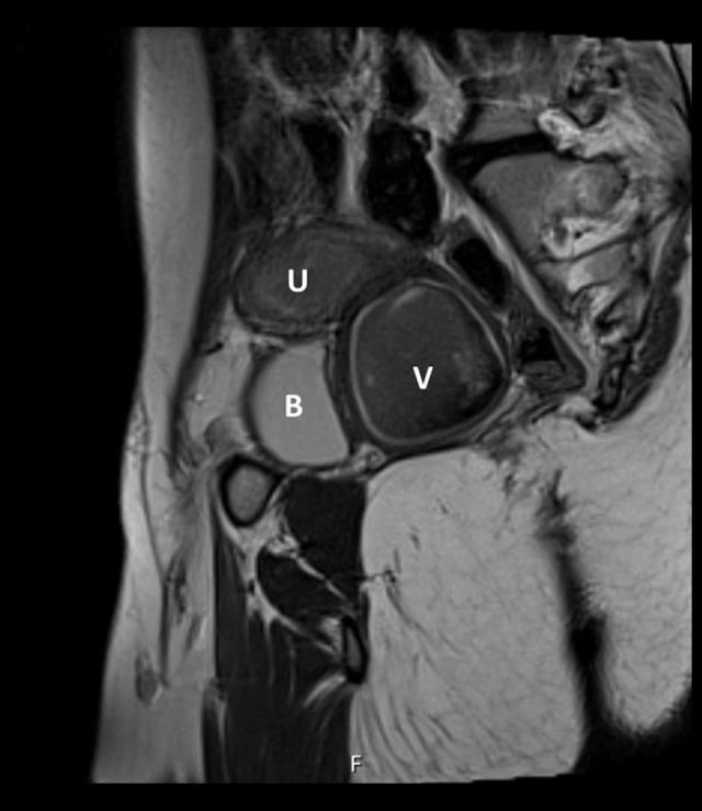
BACKGROUND Caudal regression syndrome (CRS) is a rare anomaly characterized by maldevelopment of the caudal half of the body and can involve the genitourinary system. This report presents the case of a 13-year-old girl diagnosed with CRS and previously unknown distal vaginal atresia, presenting with monthly pelvic pain. CASE REPORT A 13-year-old pre-menarcheal patient with CRS sought emergency care due to debilitating monthly pelvic pain persisting for 3 months. Pelvic examination revealed the absence of a vaginal opening, and a rectal exam showed a 5-cm large bulge anteriorly, along with a 2-cm fibrous septum in the distal portion of the vagina. Pelvic ultrasound and magnetic resonance imaging confirmed the presence of hematometrocolpus and hematosalpinx on the right adnexa, while the left ovary was not identified. Treatment commenced with fixed analgesia and combined continuous oral contraception. Due to the persistent pain and uncertainty regarding the anatomy of the internal reproductive organs, diagnostic laparoscopy with drainage of the hematocolpus was performed 2 weeks later. Six months later, after multidisciplinary discussion, definitive surgery (pull-through vaginoplasty) was carried out, allowing for emotional preparation for postoperative dilation. One year after the definitive surgery, the patient remains asymptomatic, experiencing regular withdrawal bleeding with no signs of obstruction. CONCLUSIONS Patients with musculoskeletal anomalies should undergo urogenital tract evaluation. Timely identification of distal vaginal atresia is pivotal for devising appropriate treatment and averting complications. During the acute phase, laparoscopic drainage can alleviate symptoms and clarify anatomy, without compromising the success of subsequent definitive surgery.
尾椎退化综合征(CRS)是一种罕见的异常情况,其特征是身体下半部发育不良,可累及泌尿生殖系统。本报告介绍了一名13岁女孩的病例,该女孩被诊断为CRS,此前未知远端阴道闭锁,每月出现盆腔疼痛。
一名13岁月经初潮前患有CRS的患者因持续3个月的严重盆腔疼痛寻求急诊治疗。盆腔检查发现没有阴道口,直肠检查显示阴道远端有一个5厘米大的前凸,伴有一个2厘米的纤维隔膜。盆腔超声和磁共振成像证实右侧附件有积血积脓和输卵管积血,而未发现左侧卵巢。治疗开始时采用固定镇痛和联合口服短效避孕药。由于持续疼痛以及内部生殖器官解剖结构的不确定性,两周后进行了诊断性腹腔镜检查并引流积血积脓。六个月后,经过多学科讨论,进行了确定性手术(拖出式阴道成形术),为术后扩张做好心理准备。确定性手术后一年,患者无症状,有规律的撤退性出血,无梗阻迹象。
患有肌肉骨骼异常的患者应进行泌尿生殖道评估。及时识别远端阴道闭锁对于制定适当的治疗方案和避免并发症至关重要。在急性期,腹腔镜引流可以缓解症状并明确解剖结构,而不会影响后续确定性手术的成功率。