Suppr超能文献

invasive syndrome with pneumocephalus and extensive cerebral infarction: Case report.

作者信息

Wu Liangzhe, Mo Changhong, Xiong Yihan, Chen Yanhui, Jin Meng, Han Kunning, Fu Xuejun

机构信息

The Second Clinical Medical College, Jinan University, 518020, Shenzhen, China.

Department of Intensive Care Unit, Shenzhen People's Hospital, 518020, Shenzhen, China.

出版信息

Heliyon. 2024 Feb 8;10(4):e25745. doi: 10.1016/j.heliyon.2024.e25745. eCollection 2024 Feb 29.

Abstract

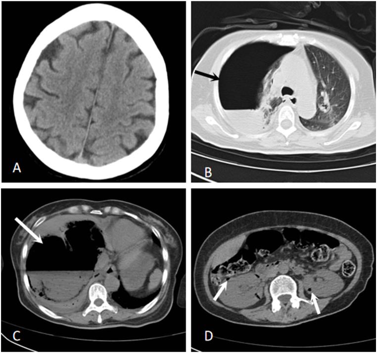
A 54-year-old female with diabetes was admitted with fever and altered consciousness. Laboratory tests revealed venous blood glucose level of 43.79 mmol/L. Computed tomography (CT) scans of the head, chest, and abdomen showed a right-sided pneumothorax, consolidation, and atelectasis in the right lung; a large heterogeneous density lesion with fluid and gas-fluid levels in the liver; and scattered gas shadows in both kidneys, respectively. Blood and puncture fluid cultures indicated infection with . Based on the susceptibility profiles of the isolates, imipenem was administered intravenously to treat the infection. On the third day of hospitalization, the patient's condition worsened, with head CT showing an extensive cerebral infarction and multiple gas accumulations in the right cerebral hemisphere, as well as a large-area cerebral infarction in the left parietal and occipital lobes. Ultimately, the patient died of multiple organ dysfunction on the fourth day after initial presentation. Although the isolates from the patient showed sensitivity to imipenem, this antibiotic shows poor entry into the central nervous system. The death of the patient indicates that the selection of antibiotics that can cross the blood-brain barrier may be crucial in the outcome of this type of case. Therefore, antibiotics that can penetrate the blood-brain barrier should be selected as soon as possible, and empirical treatment must be initiated immediately after clinical suspicion of invasive , even if the diagnosis has not been determined.

摘要
https://cdn.ncbi.nlm.nih.gov/pmc/blobs/1bb5/10877252/41b18a65839b/gr1.jpg

相似文献

1
invasive syndrome with pneumocephalus and extensive cerebral infarction: Case report.
Heliyon. 2024 Feb 8;10(4):e25745. doi: 10.1016/j.heliyon.2024.e25745. eCollection 2024 Feb 29.
6
Extensive Pneumocephalus Caused by Multidrug-Resistant Klebsiella pneumoniae.
World Neurosurg. 2020 May;137:29-30. doi: 10.1016/j.wneu.2020.01.213. Epub 2020 Feb 4.
8
Two unusual cases of successful treatment of hypermucoviscous Klebsiella pneumoniae invasive syndrome.
BMC Infect Dis. 2016 Nov 16;16(1):680. doi: 10.1186/s12879-016-2011-3.
10
Invasive Syndrome.
Eur J Case Rep Intern Med. 2018 Mar 21;5(3):000800. doi: 10.12890/2018_000800. eCollection 2018.

本文引用的文献

1
ESCMID guideline: diagnosis and treatment of acute bacterial meningitis.
Clin Microbiol Infect. 2016 May;22 Suppl 3:S37-62. doi: 10.1016/j.cmi.2016.01.007. Epub 2016 Apr 7.
2
Clinical significance and mechanism of gas formation of pyogenic liver abscess due to Klebsiella pneumoniae.
J Clin Microbiol. 2004 Jun;42(6):2783-5. doi: 10.1128/JCM.42.6.2783-2785.2004.
3
Klebsiella brain abscess in adults.
Infection. 2001 Mar-Apr;29(2):81-6. doi: 10.1007/s15010-001-0069-2.

文献AI研究员

20分钟写一篇综述,助力文献阅读效率提升50倍。

立即体验

用中文搜PubMed

大模型驱动的PubMed中文搜索引擎

马上搜索

文档翻译

学术文献翻译模型,支持多种主流文档格式。

立即体验