Suppr超能文献

一例厄他培南诱发的谵妄病例。

A Case of Ertapenem-Induced Delirium.

作者信息

Aquilina Maria, Galdes Nicole, Spiteri Neville

机构信息

Surgery, Mater Dei Hospital, Msida, MLT.

Colorectal Surgery, Mater Dei Hospital, Msida, MLT.

出版信息

Cureus. 2024 Jan 22;16(1):e52732. doi: 10.7759/cureus.52732. eCollection 2024 Jan.

Abstract

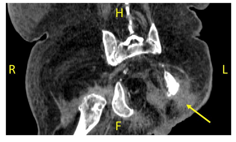
Ertapenem is a carbapenem antibiotic that is typically prescribed in cases of moderate-to-severe infections, especially ones involving abscess formation. We describe the case of an 82-year-old gentleman who presented with osteomyelitis and abscess formation who developed delirium after 15 days of ertapenem treatment. The patient experienced delusions, insomnia, agitation, and disorientation. The patient's mental status improved and returned to his baseline within 48 hours of halting ertapenem treatment. A high index of suspicion is required to identify and treat ertapenem-induced delirium. Withdrawal of ertapenem treatment in such cases usually results in a complete resolution of symptoms.

摘要

厄他培南是一种碳青霉烯类抗生素,通常用于治疗中重度感染,尤其是伴有脓肿形成的感染。我们描述了一位82岁男性患者的病例,该患者患有骨髓炎并伴有脓肿形成,在接受厄他培南治疗15天后出现谵妄。患者出现妄想、失眠、躁动和定向障碍。在停止厄他培南治疗后的48小时内,患者的精神状态有所改善并恢复到基线水平。识别和治疗厄他培南引起的谵妄需要高度的怀疑指数。在此类病例中停用厄他培南治疗通常会使症状完全缓解。

https://cdn.ncbi.nlm.nih.gov/pmc/blobs/076d/10879735/2c99133e1bcb/cureus-0016-00000052732-i01.jpg

文献AI研究员

20分钟写一篇综述,助力文献阅读效率提升50倍。

立即体验

用中文搜PubMed

大模型驱动的PubMed中文搜索引擎

马上搜索

文档翻译

学术文献翻译模型,支持多种主流文档格式。

立即体验