Suppr超能文献

TRIM63 RNA 原位杂交(RNA-ISH)作为肺泡软组织肉瘤(ASPS)潜在标志物的评估。

Evaluation of TRIM63 RNA in situ hybridization (RNA-ISH) as a potential biomarker for alveolar soft-part sarcoma (ASPS).

机构信息

Department of Pathology, University of Michigan Medical School, 2800 Plymouth Road, Building 35, Ann Arbor, MI, 48109, USA.

Michigan Center for Translational Pathology, Ann Arbor, MI, USA.

出版信息

Med Oncol. 2024 Feb 23;41(3):76. doi: 10.1007/s12032-024-02305-9.

Abstract

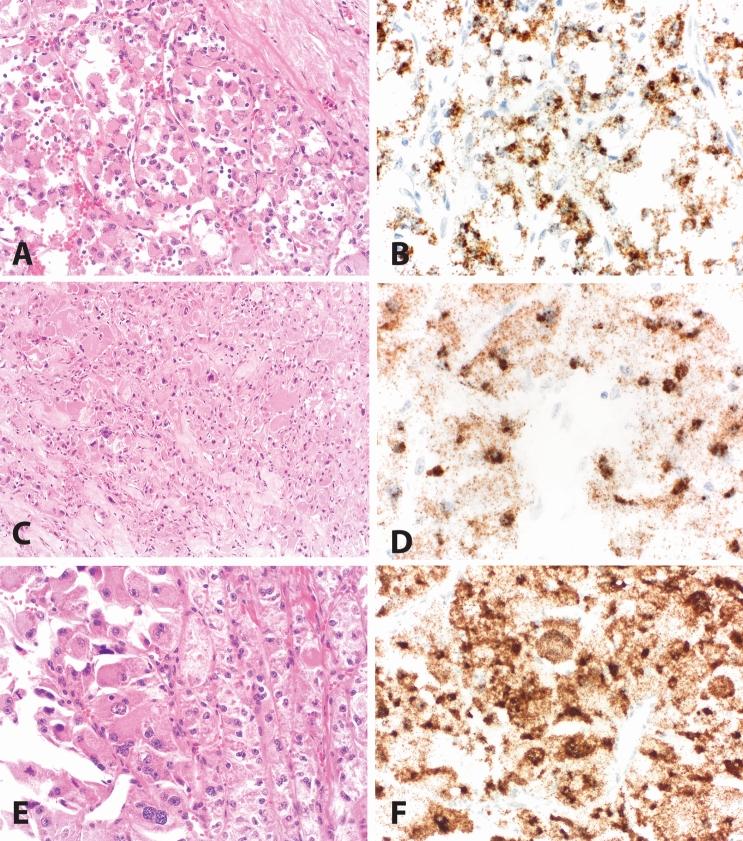
Alveolar soft-part sarcoma (ASPS) is a rare soft tissue tumor with a broad morphologic differential diagnosis. While histology and immunohistochemistry can be suggestive, diagnosis often requires exclusion of other entities followed by confirmatory molecular analysis for its characteristic ASPSCR1-TFE3 fusion. Current stain-based biomarkers (such as immunohistochemistry for cathepsin K and TFE3) show relatively high sensitivity but may lack specificity, often showing staining in multiple other entities under diagnostic consideration. Given the discovery of RNA in situ hybridization (RNA-ISH) for TRIM63 as a sensitive and specific marker of MiTF-family aberration renal cell carcinomas, we sought to evaluate its utility in the workup of ASPS. TRIM63 RNA-ISH demonstrated high levels (H-score greater than 200) of expression in 19/20 (95%) cases of ASPS (average H-score 330) and was weak or negative in cases of paraganglioma, clear cell sarcoma, rhabdomyosarcoma, malignant epithelioid hemangioendothelioma, as well as hepatocellular and adrenal cortical carcinomas. Staining was also identified in tumors with known subsets characterized by TFE3 alterations such as perivascular epithelioid cell neoplasm (PEComa, average H-score 228), while tumors known to exhibit overexpression of TFE3 protein without cytogenetic alterations, such as melanoma and granular cell tumor, generally showed less TRIM63 ISH staining (average H-scores 147 and 96, respectively). Quantitative assessment of TRIM63 staining by RNA-ISH is potentially a helpful biomarker for tumors with molecular TFE3 alterations such as ASPS.

摘要

腺泡状软组织肉瘤 (ASPS) 是一种罕见的软组织肿瘤,具有广泛的形态学鉴别诊断。虽然组织学和免疫组织化学可能具有提示作用,但诊断通常需要排除其他实体,然后进行特征性 ASPSCR1-TFE3 融合的确认性分子分析。目前基于染色的生物标志物(如用于组织蛋白酶 K 和 TFE3 的免疫组织化学)显示出相对较高的敏感性,但可能缺乏特异性,在诊断考虑的其他多个实体中经常显示出染色。鉴于发现 RNA 原位杂交 (RNA-ISH) 作为 MiTF 家族异常肾细胞癌的敏感和特异性标志物 TRIM63,我们试图评估其在 ASPS 检查中的应用。TRIM63 RNA-ISH 在 20 例 ASPS 病例中的 19 例(95%)中显示出高水平(H 评分大于 200)的表达(平均 H 评分 330),在副神经节瘤、透明细胞肉瘤、横纹肌肉瘤、恶性上皮样血管内皮瘤以及肝细胞癌和肾上腺皮质癌中为弱或阴性。在具有 TFE3 改变特征的已知肿瘤亚组中也发现了染色,如血管周上皮样细胞瘤(PEComa,平均 H 评分 228),而在已知 TFE3 蛋白过表达但无细胞遗传学改变的肿瘤中,如黑色素瘤和颗粒细胞瘤,通常显示出较少的 TRIM63 ISH 染色(平均 H 评分分别为 147 和 96)。通过 RNA-ISH 对 TRIM63 染色的定量评估可能是一种有用的生物标志物,可用于具有 TFE3 改变的肿瘤,如 ASPS。

https://cdn.ncbi.nlm.nih.gov/pmc/blobs/d5d4/10891236/2974984f8058/12032_2024_2305_Fig1_HTML.jpg

文献AI研究员

20分钟写一篇综述,助力文献阅读效率提升50倍。

立即体验

用中文搜PubMed

大模型驱动的PubMed中文搜索引擎

马上搜索

文档翻译

学术文献翻译模型,支持多种主流文档格式。

立即体验