• 文献检索
  • 文档翻译
  • 深度研究
  • 学术资讯
  • Suppr Zotero 插件Zotero 插件
  • 邀请有礼
  • 套餐&价格
  • 历史记录
应用&插件
Suppr Zotero 插件Zotero 插件浏览器插件Mac 客户端Windows 客户端微信小程序
定价
高级版会员购买积分包购买API积分包
服务
文献检索文档翻译深度研究API 文档MCP 服务
关于我们
关于 Suppr公司介绍联系我们用户协议隐私条款
关注我们

Suppr 超能文献

核心技术专利:CN118964589B侵权必究
粤ICP备2023148730 号-1Suppr @ 2026

文献检索

告别复杂PubMed语法,用中文像聊天一样搜索,搜遍4000万医学文献。AI智能推荐,让科研检索更轻松。

立即免费搜索

文件翻译

保留排版,准确专业,支持PDF/Word/PPT等文件格式,支持 12+语言互译。

免费翻译文档

深度研究

AI帮你快速写综述,25分钟生成高质量综述,智能提取关键信息,辅助科研写作。

立即免费体验

间质部异位妊娠伴无痛性大量阴道出血:一种罕见的非典型临床表现。

Interstitial Ectopic Pregnancy Associated With Painless and Severe Vaginal Bleeding: A Rare, Atypical Clinical Presentation.

作者信息

Thanasa Anna, Thanasa Efthymia, Grapsidi Vasiliki, Antoniou Ioannis-Rafail, Gerokostas Ektoras-Evangelos, Kamaretsos Evangelos, Chasiotis Athanasios, Thanasas Ioannis

机构信息

Medicine, Department of Health Sciences, School of Medicine, Aristotle University of Thessaloniki, Thessaloniki, GRC.

Obstetrics and Gynecology, General Hospital in Trikala, Trikala, GRC.

出版信息

Cureus. 2024 Jan 30;16(1):e53225. doi: 10.7759/cureus.53225. eCollection 2024 Jan.

DOI:10.7759/cureus.53225
PMID:38425637
原文链接:https://pmc.ncbi.nlm.nih.gov/articles/PMC10903376/
Abstract

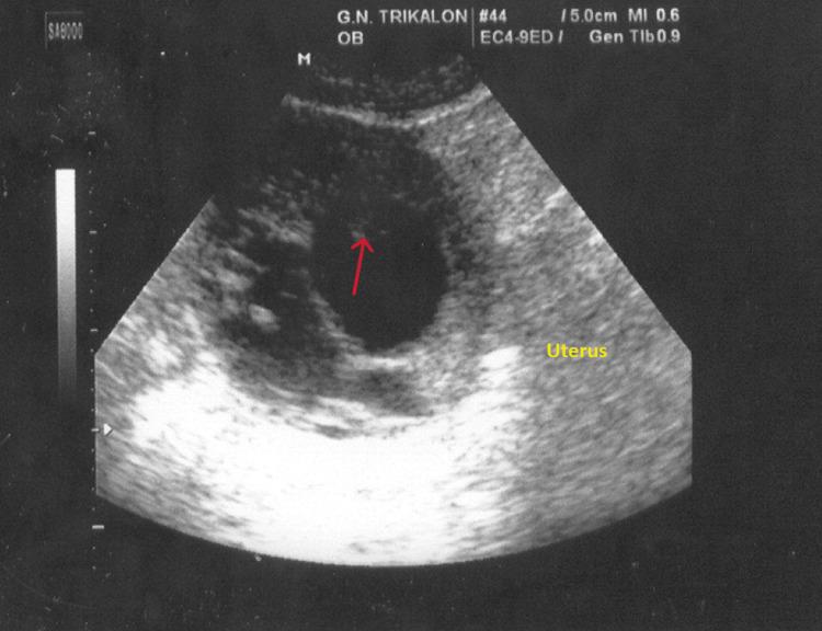
Interstitial ectopic pregnancy is rare (2%-4% of ectopic pregnancies). The atypical clinical presentation of interstitial ectopic pregnancy associated with massive vaginal bleeding is extremely rare and makes early preoperative diagnosis even more difficult. The presentation of our case concerns the early diagnosis and surgical treatment of a patient with an interstitial ectopic pregnancy without rupture, which presented atypically with painless, severe vaginal bleeding. A 27-year-old fourth-term pregnant woman presented with massive painless vaginal bleeding. Secondary amenorrhea was calculated at eight weeks and four days. Transvaginal ultrasound and transvaginal Doppler ultrasound combined with the quantification of beta-chorionic gonadotropin hormone raised the suspicion of interstitial ectopic pregnancy. Intraoperatively, the presence of a large swelling of the right horn of the uterus was established, and a wedge resection was performed with the removal of the corresponding fallopian tube. Three weeks after surgery, the serum beta-chorionic gonadotropin hormone value was zero. In this paper, the rarity of interstitial ectopic pregnancy, the difficulties related to early and correct preoperative diagnosis, and the selection of the appropriate available therapeutic procedures are emphasized, the correct application of which can significantly contribute to reducing the morbidity and mortality of these patients.

摘要

间质部异位妊娠较为罕见(占异位妊娠的2%-4%)。间质部异位妊娠伴有大量阴道出血的非典型临床表现极为罕见,这使得术前早期诊断更加困难。我们病例的呈现涉及一名无间质部异位妊娠破裂患者的早期诊断及手术治疗,该患者表现为无痛性严重阴道出血这一非典型症状。一名27岁的孕晚期妇女出现大量无痛性阴道出血。经计算,继发性闭经为8周零4天。经阴道超声和经阴道多普勒超声检查,结合β-绒毛膜促性腺激素的定量检测,引发了对间质部异位妊娠的怀疑。术中,确定子宫右角有一个大肿块,并进行了楔形切除术,同时切除了相应的输卵管。术后三周,血清β-绒毛膜促性腺激素值为零。本文强调了间质部异位妊娠的罕见性、术前早期正确诊断的困难以及合适可用治疗方法的选择,正确应用这些方法可显著有助于降低这些患者的发病率和死亡率。

https://cdn.ncbi.nlm.nih.gov/pmc/blobs/a91e/10903376/98c1ca96195e/cureus-0016-00000053225-i02.jpg
https://cdn.ncbi.nlm.nih.gov/pmc/blobs/a91e/10903376/7d8e9d14950c/cureus-0016-00000053225-i01.jpg
https://cdn.ncbi.nlm.nih.gov/pmc/blobs/a91e/10903376/98c1ca96195e/cureus-0016-00000053225-i02.jpg
https://cdn.ncbi.nlm.nih.gov/pmc/blobs/a91e/10903376/7d8e9d14950c/cureus-0016-00000053225-i01.jpg
https://cdn.ncbi.nlm.nih.gov/pmc/blobs/a91e/10903376/98c1ca96195e/cureus-0016-00000053225-i02.jpg

相似文献

1
Interstitial Ectopic Pregnancy Associated With Painless and Severe Vaginal Bleeding: A Rare, Atypical Clinical Presentation.间质部异位妊娠伴无痛性大量阴道出血:一种罕见的非典型临床表现。
Cureus. 2024 Jan 30;16(1):e53225. doi: 10.7759/cureus.53225. eCollection 2024 Jan.
2
Interstitial Pregnancy: Case Report of Atypical Ectopic Pregnancy.间质部妊娠:非典型异位妊娠病例报告
Cureus. 2020 May 13;12(5):e8081. doi: 10.7759/cureus.8081.
3
Exophytic interstitial ectopic pregnancy removal: novel use of Endoloop for uterine cavity preservation.外生性间质部异位妊娠切除术:Endoloop在保留子宫腔方面的新应用。
Fertil Steril. 2023 Feb;119(2):336-338. doi: 10.1016/j.fertnstert.2022.10.019. Epub 2022 Nov 18.
4
Interstitial Ectopic Pregnancy: A Rare Diagnosis.间质部异位妊娠:一种罕见的诊断。
Cureus. 2023 Aug 8;15(8):e43107. doi: 10.7759/cureus.43107. eCollection 2023 Aug.
5
Case report: Ectopic pregnancy in the interstitial part of the fallopian tube.病例报告:输卵管间质部异位妊娠
Front Surg. 2023 Jul 3;10:1197036. doi: 10.3389/fsurg.2023.1197036. eCollection 2023.
6
Cornuostomy and Cornuectomy: Laparoscopic Management of Interstitial Ectopic Pregnancies.Cornuostomy 和 Cornuectomy:腹腔镜治疗间质部异位妊娠。
J Minim Invasive Gynecol. 2020 Nov-Dec;27(7):1480-1481. doi: 10.1016/j.jmig.2020.04.008. Epub 2020 Apr 11.
7
Interstitial ectopic pregnancy: A rare case report.间质部异位妊娠:一例罕见病例报告。
Int J Surg Case Rep. 2024 Apr;117:109529. doi: 10.1016/j.ijscr.2024.109529. Epub 2024 Mar 18.
8
A unilateral twin ectopic pregnancy in the fallopian tube: A rare case report.一例单侧输卵管双胎异位妊娠:罕见病例报告
Int J Surg Case Rep. 2023 Oct;111:108833. doi: 10.1016/j.ijscr.2023.108833. Epub 2023 Sep 26.
9
[Interstitial pregnancy: a rare type of ectopic pregnancy].[间质部妊娠:一种罕见的异位妊娠类型]
Ned Tijdschr Geneeskd. 2008 Apr 5;152(14):787-91.
10
Interstitial Ectopic Pregnancy: Laparoscopic Cornuostomy.间质部妊娠:腹腔镜Cornuostomy。
J Minim Invasive Gynecol. 2023 Jun;30(6):439-440. doi: 10.1016/j.jmig.2023.02.016. Epub 2023 Mar 3.

本文引用的文献

1
The Use of Methotrexate and Mifepristone for Treatment of Interstitial Pregnancies: An Overview of Effectiveness and Complications.甲氨蝶呤与米非司酮治疗输卵管间质部妊娠:有效性与并发症概述
J Clin Med. 2023 Nov 29;12(23):7396. doi: 10.3390/jcm12237396.
2
A Case of Ruptured Left Interstitial Ectopic Pregnancy.一例左侧间质部异位妊娠破裂病例。
Cureus. 2023 Sep 21;15(9):e45711. doi: 10.7759/cureus.45711. eCollection 2023 Sep.
3
Interstitial Ectopic Pregnancy: A Rare Diagnosis.间质部异位妊娠:一种罕见的诊断。
Cureus. 2023 Aug 8;15(8):e43107. doi: 10.7759/cureus.43107. eCollection 2023 Aug.
4
Laparoscopic treatment of advanced interstitial pregnancy: key steps for a successful management.腹腔镜治疗晚期间质部妊娠:成功管理的关键步骤。
Fertil Steril. 2023 Aug;120(2):389-391. doi: 10.1016/j.fertnstert.2023.04.017. Epub 2023 Apr 18.
5
Overview of ectopic pregnancy diagnosis, management, and innovation.异位妊娠的诊断、处理和创新概述。
Womens Health (Lond). 2023 Jan-Dec;19:17455057231160349. doi: 10.1177/17455057231160349.
6
Interstitial Ectopic Pregnancy: Laparoscopic Cornuostomy.间质部妊娠:腹腔镜Cornuostomy。
J Minim Invasive Gynecol. 2023 Jun;30(6):439-440. doi: 10.1016/j.jmig.2023.02.016. Epub 2023 Mar 3.
7
Laparoscopically assisted hysteroscopic removal of an interstitial pregnancy.腹腔镜辅助宫腔镜下间质部妊娠物切除术
Fertil Steril. 2023 Apr;119(4):703-704. doi: 10.1016/j.fertnstert.2022.12.030. Epub 2022 Dec 21.
8
Angular and Interstitial Ectopic Pregnancies: A Clarification of Terms and Literature Review.《输卵管间质部异位妊娠:术语澄清与文献回顾》
Curr Probl Diagn Radiol. 2023 Mar-Apr;52(2):84-88. doi: 10.1067/j.cpradiol.2022.11.005. Epub 2022 Nov 17.
9
Heterotopic Interstitial Pregnancy: Early Ultrasound Diagnosis of 179 Cases After In Vitro Fertilization-Embryo Transfer.异位间质部妊娠:179例体外受精-胚胎移植术后的早期超声诊断
J Ultrasound Med. 2023 Apr;42(4):915-922. doi: 10.1002/jum.16103. Epub 2022 Sep 29.
10
The Very First Romanian Unruptured 13-Weeks Gestation Tubal Ectopic Pregnancy.首例罗马尼亚 13 孕周未破裂输卵管妊娠。
Medicina (Kaunas). 2022 Aug 25;58(9):1160. doi: 10.3390/medicina58091160.