Cossu Alessia Maria, Melisi Federica, Noviello Teresa Maria Rosaria, Pasquale Lucia Stefania, Grisolia Piera, Reale Carla, Bocchetti Marco, Falco Michela, Tammaro Chiara, Accardo Nunzio, Longo Francesco, Allosso Salvatore, Mesolella Massimo, Addeo Raffaele, Perri Francesco, Ottaiano Alessandro, Ricciardiello Filippo, Amler Evzen, Ambrosino Concetta, Misso Gabriella, Ceccarelli Michele, Caraglia Michele, Scrima Marianna
Department of Precision Medicine, University of Campania "Luigi Vanvitelli", 80138 Naples, Italy.
Biogem Scarl, Institute of Genetic Research, 83031 Ariano Irpino, Italy.
Mol Ther Nucleic Acids. 2024 Feb 6;35(1):102140. doi: 10.1016/j.omtn.2024.102140. eCollection 2024 Mar 12.
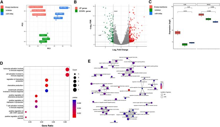
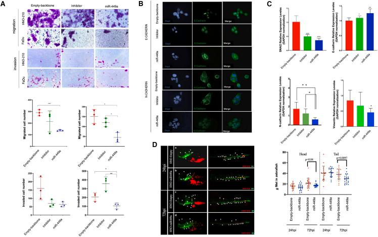
MicroRNAs (miRNAs) are involved in post-transcriptional gene expression regulation and in mechanisms of cancer growth and metastases. In this light, miRNAs could be promising therapeutic targets and biomarkers in clinical practice. Therefore, we investigated if specific miRNAs and their target genes contribute to laryngeal squamous cell carcinoma (LSCC) development. We found a significant decrease of miR-449a in LSCC patients with nodal metastases (63.3%) compared with patients without nodal involvement (44%). The AmpliSeq Transcriptome of HNO-210 miR-449a-transfected cell lines allowed the identification of IL6-R as a potential target. Moreover, the downregulation of IL6-R and the phosphorylation reduction of the downstream signaling effectors, suggested the inhibition of the IL-6 -signaling pathway. These biochemical effects were paralleled by a significant inhibition of invasion and migration and , supporting an involvement of epithelial-mesenchymal transition. These findings indicate that miR-449a contributes to suppress the metastasization of LSCC by the IL-6 -signaling block and affects sensitivity to external stimuli that mimic pro-inflammatory conditions.
微小RNA(miRNA)参与转录后基因表达调控以及癌症生长和转移机制。鉴于此,miRNA在临床实践中可能是有前景的治疗靶点和生物标志物。因此,我们研究了特定miRNA及其靶基因是否参与喉鳞状细胞癌(LSCC)的发生发展。我们发现,伴有淋巴结转移的LSCC患者中miR-449a显著降低(63.3%),而无淋巴结受累的患者中该比例为44%。对转染了miR-449a的HNO-210细胞系进行全转录组扩增子测序,确定白细胞介素6受体(IL6-R)为潜在靶点。此外,IL6-R的下调以及下游信号效应器磷酸化的降低,提示白细胞介素6信号通路受到抑制。这些生化效应伴随着侵袭和迁移的显著抑制,支持上皮-间质转化的参与。这些发现表明,miR-449a通过阻断白细胞介素6信号通路抑制LSCC的转移,并影响对模拟促炎条件的外部刺激的敏感性。